CD34 Monoclonal Antibody
-
中文名稱:CD34鼠單克隆抗體
-
貨號:CSB-MA918107
-
規格:¥1320
-
圖片:
-
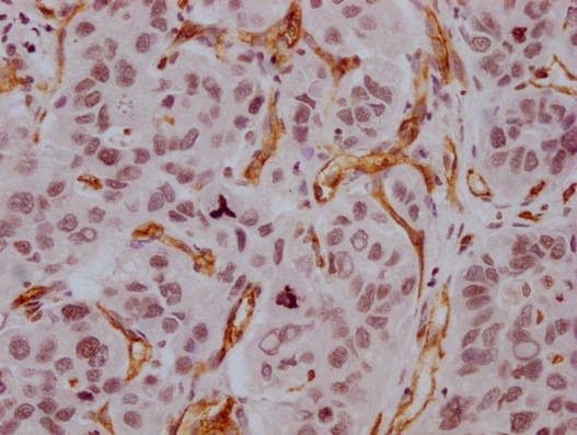
IHC image of CSB-MA918107 diluted at 1:100 and staining in paraffin-embedded human liver cancer performed on a Leica BondTM system. After dewaxing and hydration, antigen retrieval was mediated by high pressure in a citrate buffer (pH 6.0). Section was blocked with 10% normal goat serum 30min at RT. Then primary antibody (1% BSA) was incubated at 4°C overnight. The primary is detected by a Goat anti-mouse IgG polymer labeled by HRP and visualized using 0.05% DAB.
-
-
其他:
產品詳情
-
產品描述:CD34單克隆抗體(CUSABIO貨號:CSB-MA918107)是針對人源CD34抗原研發的高特異性科研試劑,適用于ELISA和免疫組化(IHC)實驗。CD34作為跨膜糖蛋白,是公認的造血干細胞和祖細胞表面標志物,在造血系統發育中呈階段性表達特征,同時作為血管內皮標記物參與血管生成調控。該抗體通過雜交瘤技術制備,具備嚴格的種屬特異性,可精準識別人源組織樣本中的CD34抗原表位,適用于干細胞分離鑒定、血管生成機制研究、腫瘤微環境分析等科研場景。其優異的抗原結合能力可清晰呈現造血組織或血管內皮中的靶標分布特征,為探索干細胞分化、血管新生及腫瘤相關病理機制提供可靠工具。產品嚴格遵循質量控制標準,確保批次間穩定性,滿足基礎研究及轉化醫學中對CD34標記物的檢測需求。
-
產品名稱:Mouse anti-Homo sapiens (Human) CD34 Monoclonal antibody
-
Uniprot No.:
-
基因名:
-
別名:CD34; Hematopoietic progenitor cell antigen CD34; CD antigen CD34
-
宿主:Mouse
-
反應種屬:Human
-
免疫原:Synthesized peptide derived from human CD34
-
免疫原種屬:Homo sapiens (Human)
-
標記方式:Non-conjugated
-
克隆類型:Monoclonal
-
抗體亞型:IgG1, Kappa
-
純化方式:The antibody was affinity-purified from mouse ascites by affinity-chromatography using specific immunogen.
-
克隆號:8E3
-
濃度:It differs from different batches. Please contact us to confirm it.
-
保存緩沖液:Liquid in PBS containing 50% glycerol, 0.5% BSA and 0.02% sodium azide.
-
產品提供形式:Liquid
-
應用范圍:ELISA, IHC
-
推薦稀釋比:
Application Recommended Dilution IHC 1:20-1:200 -
Protocols:
-
儲存條件:Upon receipt, store at -20°C or -80°C. Avoid repeated freeze.
-
貨期:Basically, we can dispatch the products out in 1-3 working days after receiving your orders. Delivery time maybe differs from different purchasing way or location, please kindly consult your local distributors for specific delivery time.
-
用途:For Research Use Only. Not for use in diagnostic or therapeutic procedures.
相關產品
靶點詳情
-
功能:Possible adhesion molecule with a role in early hematopoiesis by mediating the attachment of stem cells to the bone marrow extracellular matrix or directly to stromal cells. Could act as a scaffold for the attachment of lineage specific glycans, allowing stem cells to bind to lectins expressed by stromal cells or other marrow components. Presents carbohydrate ligands to selectins.
-
基因功能參考文獻:
- This study aimed to confirm and analyze lymphovascular invasion (LVI) detected by hematoxylin and eosin (H and E) using IHC with CD34 and D2-40 and its correlation with other biologic and morphologic prognostic markers. D2-40 is a promising marker for lymphatic endothelium. LVI is a poor prognostic marker hence should be evaluated imperatively in all cases of carcinoma breast. PMID: 29567882
- The role of CD34 in determining the premalignant nature of ral submucous fibrosis (OSF) could not be ascertained, since all endothelial cells were positive for CD34, whereas CD105 appeared to be more specific as it is associated with hypoxia-induced angiogenesis which is occurring in OSF due to hyalinization suggesting, CD105 to be more specific marker to determine neoangiogenesis in OSF PMID: 30197335
- EZH2, ET-1, and CD34 may act as biomarkers of aggressive cervical squamous cell carcinoma PMID: 29630085
- The effects of Platelet-rich plasma on vascular endothelial growth factor receptor-2 (VEGFR2) and CD34 expression were evaluated using real-time PCR, flow cytometry, western blot, immunocytochemistry and pathological study, as were carried out in both human umbilical endothelial cell culture and rat skin PMID: 28948378
- Disruption of GFI1B non-DNA-binding zinc-finger 1 is associated with mild to moderate thrombocytopenia without alpha-granule deficiency or bleeding symptomatology, indicating that the site of GFI1B mutation has important phenotypic implications. Platelet CD34 expression appears to be a common feature of perturbed GFI1B function. PMID: 28880435
- The endometrial expression of LIF and CD34 in the pathogenesis of non-developing pregnancy can be used for evaluating the pregnancy prognosis in women of young and old reproductive age. PMID: 29063331
- In summary, this study shows that CD34 plays a role during cell cycle progression of head and neck squamous cell carcinoma and additionally is involved in irradiation resistance and differentiation of malignant oral keratinocytes. PMID: 27837456
- Report CD34 expression in dermatofibromas and dermatofibrosarcoma protuberans. PMID: 28832078
- CD34+ clusters showed more important prognostic impact on survival and progression to leukaemia. PMID: 28669578
- Our findings showed that increased expression of CD34 and CD117 markers confer tumor progression and aggressiveness on prostate cancer. PMID: 28552539
- CD34(+) and CD34(-) cells are different phenotypes of similar cells, and CD34 (1) can be regulated in endothelial colony-forming cells ECFC; (2) is positively involved in capillary-like sprout formation; (3) is associated but not causally related to tip-cell gene expression; and (4) can affect endothelial barrier function. PMID: 27043316
- Studied levels of peripheral blood CD34(+ )cells in women who subsequently had a spontaneous miscarriage (SM). Found CD34 positive B cells were significantly lower in SM group compared to control group. PMID: 28110587
- The number of platelets and circulating CD34-positive cells acts as an indicator of the activity of the vicious cycle that exists between hypertension and endothelial dysfunction in elderly Japanese men. PMID: 28282559
- ESAT-6, an essential virulence factor of Mycobacterium tuberculosis, may contribute to the abnormal hematopoiesis of tuberculosis patients by inhibiting the proliferation and differentiation of CD34-positive hematopoietic cells via apoptosis. PMID: 27745787
- Intramyocardial autologous CD34(+) cell administration improved exercise tolerance in patients with refractory angina. PMID: 27491607
- Increased gene expression linked to the proinflammatory TGFbeta and MAPK signaling pathways were detected in CD34(+) cells of myeloproliferative neoplasm patients. PMID: 27341002
- CD34 stem cell exosomes mediate ischemic tissue repair via beneficial angiogenesis. Exosome-shuttled proangiogenic miRNAs may amplify stem cell function. PMID: 28298297
- miR-378 regulates the angiogenic capacity of CD34(+) progenitor cells in STEMI patients. PMID: 28062497
- CD34 and IL-8 are associated with poor prognosis of melanoma, metastasis, and neoangiogenesis PMID: 27175552
- The results showed that transfection of CD34(+) cells with SiRNA targeting TGF-bRII and their co-culture with human bone marrow mesenchymal stromal cells (MSCs) could considerably increase the number of progenitors PMID: 27344285
- Expression of CD34 and MMP-9 accurately predicts clinical behavior detection and prognosis of GCTBs. PMID: 27384731
- Expression of VEGF and CD34 was critically correlated with perioperative hemorrhage in gastric cancer patients. PMID: 27503021
- There was significant correlation between age and tumor size with CD34 expression in oral SCC samples and no significant correlation between sex and tumor differentiation level. Also, there was no significant correlation between age, sex, tumor size and tumor differentiation level (grading) with CD34 expression in esophagus SCC samples. PMID: 26323448
- Normal FLT3 and negative expression of CD34 and cMPL may predict a longer overall survival in aute myeloid leukemia. PMID: 27993871
- High VEGF expression was subsequently correlated with a short overall survival rate for patients exhibiting lymph node metastasis (P=0.0128); however, there was no significant difference in overall survival rate regarding the expression levels of TP and CD34 PMID: 26676225
- Metformin simultaneously increases VEGFA and reduces CXCL10 and TIMP1 in CD34(+) cells in a model of the diabetic state combined with hypoxia to stimulate angiogenesis. PMID: 26861446
- Immunohistochemistry results indicate that combination with ALDH1 and STAT6 can improve the diagnostic value of CD34 for solitary fibrous tumors. PMID: 26617768
- CD34(+) cells lowering expression of TET2 may play an oncogenic role on myeloid tumor and CD3(+) T cells of myelodysplastic syndrome patients may be derived from the malignant clone. PMID: 26617797
- ICAM-1, VCAM-1 and CD34 are useful biomarkers in evaluation of vascular and inflammatory lesions such as gingival pyogenic granuloma and the results indicate the role of these biomarkers in pathogenesis of oral pyogenic granuloma. PMID: 26625754
- Studied the relationship between serum alkaline phosphatase, circulating CD34-positive cells and body mass index. PMID: 26769093
- Autophagy in CD34+ cells from aplastic anemia patients is impaired; autophagy is required for the survival of CD34+ cells; impaired autophagy in CD34+ hematopoietic progenitor cells may play an important role in the pathogenesis of aplastic anemia. PMID: 26930650
- overexpression in glioma tissues associated closely with higher WHO grade (III + IV) [review] PMID: 26886640
- Asthmatics with reduced lung function had a higher frequency of Lin(-) CD34(hi) CD117(int/hi) Fc epsilon RI(+) blood mast cell progenitors than asthmatics with normal lung function. PMID: 26626992
- Our results suggest that the CD34/CD25/CD123/CD99(+) LAIP is strictly associated with FLT3-ITD-positive cells. PMID: 25957287
- Data indicate only the glycoproteins CD34+/CD71low population showed statistically significant differences between Diamond-Blackfan Anaemia (DBA) patients and controls. PMID: 26394034
- We here identify CD49f and CD34 as markers to permit selection of the stem/progenitor cell-like population from human myometrium PMID: 26108791
- CD34 expression in the placental endothelial cells was stable throughout pregnancy. PMID: 25043745
- Autologous CD 34(+) cell infusion is safe and effectively improves liver function in the short term and may serve as a bridge to liver transplantation. PMID: 26109814
- Higher percentages of CD34 + CD38- cells in apheresis products reflect inadequate in vivo purging and reliably distinguish samples enriched in LSCs from those involving mainly normal cells. PMID: 24884314
- The number of CD34/144 positive circulating endothelial cells was high in patients with large artery atherosclerosis who experienced chronic ischemic stroke. And this number may reflect severity of carotid atherosclerosis. PMID: 25542764
- The evaluation of both CD34-CD105 showed the role of angiogenesis in the cancer proliferation and local spread, the angiogenesis level being maintained high even in the advanced stages of the disease. PMID: 26193208
- There were significant differences in CD34 expression between papillary thyroid hyperplasia, papillary thyroid carcinoma, and papillary thyroid lesions of uncertain malignant potential. PMID: 25921136
- lack of predictive factors for CD34(+) cells and total nucleated cell concentrations in umbilical cord blood samples before processing PMID: 25446160
- The number of CD34(+) cells in bone marrow was significantly higher compared to the number of CD34(+) cells in peripheral blood cells and increased with the acquisition of leukemic cells the resistance to imatinib. PMID: 25804236
- CD34 and CD49b are cell surface markers that can be used to enrich a subpopulation of leiomyoma cells possessing stem/progenitor cell properties. PMID: 25658015
- no difference in expression between normal and pathologically immature placentas PMID: 25149387
- Report CD34/MMP7 expression and invasiveness in early colorectal neoplasms using narrow band imaging and immunohistochemistry. PMID: 25357219
- Angiogenic factors VEGF, HIF-1alpha and CD34 are important in breast cancer progression and their abundance in breast tumors has prognostic and predictive value. PMID: 23899963
- Combinatorial expression of NKX2-5, SIRPA, VCAM1 and CD34 can be used to define discrete stages of cardiovascular cell lineage differentiation. PMID: 24968096
- In MLL-AF4 patients, CD34(+)CD38(+)CD19(+) and CD34(-)CD19(+) cells initiated leukemia. PMID: 25538041
顯示更多
收起更多
-
亞細胞定位:Membrane; Single-pass type I membrane protein.
-
蛋白家族:CD34 family
-
組織特異性:Selectively expressed on hematopoietic progenitor cells and the small vessel endothelium of a variety of tissues.
-
數據庫鏈接:
Most popular with customers
-
-
YWHAB Recombinant Monoclonal Antibody
Applications: ELISA, WB, IHC, IF, FC
Species Reactivity: Human, Mouse, Rat
-
Phospho-YAP1 (S127) Recombinant Monoclonal Antibody
Applications: ELISA, WB, IHC
Species Reactivity: Human
-
-
-
-
-















