FSCN1 Monoclonal Antibody
-
中文名稱:FSCN1鼠單克隆抗體
-
貨號:CSB-MA179751
-
規格:¥1320
-
圖片:
-
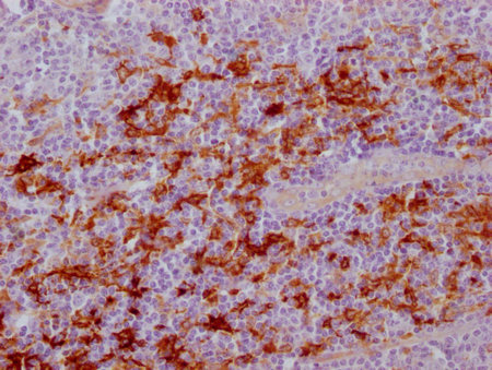
IHC image of CSB-MA179751 diluted at 1:100 and staining in paraffin-embedded human tonsil tissue performed on a Leica BondTM system. After dewaxing and hydration, antigen retrieval was mediated by high pressure in a citrate buffer (pH 6.0). Section was blocked with 10% normal goat serum 30min at RT. Then primary antibody (1% BSA) was incubated at 4°C overnight. The primary is detected by a Goat anti-mouse IgG polymer labeled by HRP and visualized using 0.05% DAB.
-
-
其他:
產品詳情
-
產品描述:CUSABIO貨號:CSB-MA179751是針對人源FSCN1靶點研發的高特異性單克隆抗體,該抗體通過雜交瘤技術制備,可精準識別FSCN1(Fascin同源蛋白1)分子,該蛋白作為細胞骨架調節蛋白在細胞偽足形成、細胞遷移及腫瘤侵襲轉移過程中發揮關鍵作用,是腫瘤微環境研究和細胞運動機制探索的重要靶點。本產品經ELISA和免疫組化(IHC)雙重技術驗證,抗體效價穩定且批次一致性嚴格質控,適用于腫瘤組織切片染色、細胞遷移相關蛋白互作研究及生物標志物篩選等科研場景。其優越的抗原結合能力可滿足低豐度蛋白檢測需求,配套的緩沖體系經過優化適配多種實驗條件,為癌癥轉移機制研究、藥物靶點發現及細胞生物學功能分析提供可靠工具。關鍵詞:FSCN1單克隆抗體、人源FSCN1檢測、ELISA/IHC專用抗體、腫瘤遷移研究試劑、細胞骨架蛋白抗體,適用于科研機構開展腫瘤生物學、分子病理學及細胞動力學等領域的創新性研究。
-
產品名稱:Mouse anti-Homo sapiens (Human) FSCN1 Monoclonal antibody
-
Uniprot No.:
-
基因名:FSCN1
-
別名:55 kDa actin bundling protein antibody; 55 kDa actin-bundling protein antibody; Actin bundling protein antibody; actin bundling protein; 55-KD antibody; FAN 1 antibody; FAN1 antibody; Fascin 1 antibody; Fascin actin bundling protein 1 antibody; Fascin antibody; Fascin homolog 1 actin bundling protein (Strongylocentrotus purpuratus) antibody; Fascin homolog 1 antibody; Fascin; sea urchin; homolog of; 1 antibody; Fascin1 antibody; FLJ38511 antibody; FSCN 1 antibody; FSCN1 antibody; FSCN1_HUMAN antibody; HSN antibody; p55 antibody; Singed (Drosophila) like (sea urchin fascin homolog like) antibody; Singed drosophila homolog like antibody; Singed like (fascin homolog sea urchin) (Drosophila) antibody; Singed like (fascin homolog sea urchin) antibody; Singed like protein antibody; Singed; drosophila; homolog of antibody; Singed-like protein antibody; SNL antibody; Strongylocentrotus purpuratus antibody
-
宿主:Mouse
-
反應種屬:Human
-
免疫原:Synthesized peptide derived from human Fascin
-
免疫原種屬:Homo sapiens (Human)
-
標記方式:Non-conjugated
-
克隆類型:Monoclonal
-
抗體亞型:IgG1, Kappa
-
純化方式:The antibody was affinity-purified from mouse ascites by affinity-chromatography using specific immunogen.
-
克隆號:9C9
-
濃度:It differs from different batches. Please contact us to confirm it.
-
保存緩沖液:Liquid in PBS containing 50% glycerol, 0.5% BSA and 0.02% sodium azide.
-
產品提供形式:Liquid
-
應用范圍:ELISA, IHC
-
推薦稀釋比:
Application Recommended Dilution IHC 1:20-1:200 -
Protocols:
-
儲存條件:Upon receipt, store at -20°C or -80°C. Avoid repeated freeze.
-
貨期:Basically, we can dispatch the products out in 1-3 working days after receiving your orders. Delivery time maybe differs from different purchasing way or location, please kindly consult your local distributors for specific delivery time.
-
用途:For Research Use Only. Not for use in diagnostic or therapeutic procedures.
相關產品
靶點詳情
-
功能:Actin-binding protein that contains 2 major actin binding sites. Organizes filamentous actin into parallel bundles. Plays a role in the organization of actin filament bundles and the formation of microspikes, membrane ruffles, and stress fibers. Important for the formation of a diverse set of cell protrusions, such as filopodia, and for cell motility and migration. Mediates reorganization of the actin cytoskeleton and axon growth cone collapse in response to NGF.
-
基因功能參考文獻:
- fascin1 constitutively interacts with IkappaB kinase (IKK) in the RIG-I signaling pathway. In summary, we have identified fascin1 as a suppressor of the RIG-I signaling pathway associating with IkappaB kinase in DLD-1 colon cancer cells to suppress immune responses to viral infection. PMID: 29496994
- fascin protein accumulation, caused by reduced proteasomal activity, contributes to the acquisition of cancer stemness in chronic inflammation-related colon carcinogenesis. PMID: 30056535
- Fascin1 is related with clinicopathologic parameters of gastric cancer and overexpressed both in gastric cell lines and gastric tumor tissue PMID: 30060981
- the expression of Fascin_1 protein differed between cancer tissue and paracarcinoma tissues in NSCLC patients and it was also correlated with poor prognosis. PMID: 29970665
- FSCN1 physiologically interacted with and increased the levels of snail1 to promote ovarian cancer cell epithelial-mesenchymal transition . PMID: 30231243
- fascin1 is an important mediator of TGF-beta1-induced invasion and migration of kidney carcinoma cells through ERK and JNK signal pathways. PMID: 29772238
- findings demonstrate that fascin is required for migration and invasion induced by LA in MDA-MB-231 breast cancer cells. PMID: 29052029
- PCAT-1 accelerated prostate cancer cell proliferation, migration, invasion and suppressed apoptosis by up-regulating FSCN1 mediated via miR-145-5p. PMID: 28922730
- Lentivirus-mediated fascin-1 knockdown significantly decreased the proliferation of non-small cell lung cancer cells. Furthermore, fascin-1 silencing partly inhibited cell invasion and migration. Inhibition of fascin-1 decreased the activity of the MAPK pathway. PMID: 29458026
- Study shows that Fascin 1 has a nuclear function in the regulation of the amino-acid transporter SLC3A2. PMID: 27819326
- SNAI2 overexpression significantly increased FSCN1 expression at both mRNA and protein level. FSCN1 overexpression reduced the expression of E-cadherin and Claudin 1, but increased the expression of Vimentin and N-cadherin in SCC9 and SCC-15 cells. It is inferred that FSCN1 is a downstream effector of SNAI2 in promoting EMT in HNSC cells. PMID: 28488774
- MYC-nick, fascin, and Cdc42 are frequently up-regulated in cells present at the invasive front of human colorectal tumors, suggesting a coordinated role for these proteins in tumor migration. PMID: 27566402
- The prognostic importance of TGF-beta, TGF-beta receptor, and fascin in childhood solid tumors PMID: 29065267
- The results reveal that phosphorylation at FSCN1 amino acids Y23, S38, S39 and S274, in combination, downregulates the extent of anchorage-independent growth, cell migration and filopodia formation in esophageal squamous cancer cells. PMID: 28251354
- Fascin and alpha-actinin intrinsically segregate to discrete bundled domains that are specifically recognized by other actin-binding proteins. PMID: 27666967
- This study showed that fascin expression intensity may be correlated with clinical outcomes of a newly diagnosed primary glioblastoma. PMID: 27406586
- These data demonstrated fascin as a critical regulator of breast cancer stem cell pool at least partially via activation of the Notch self-renewal signaling pathway. PMID: 27502039
- These results suggest that strong positive fascin-1 expression can be used as a diagnostic marker of TNBC. PMID: 27184764
- Authors demonstrated that one miRNA, miR-29a-5p, can bind to both the XIAP and FSCN1 3'UTRs and play an important role in that interactions. We showed that the 3'UTR of XIAP was able to antagonize miR-29a-5p, and resulted in the increased translation of XIAP and FSCN1. PMID: 28186968
- The expression of fascin-1 and lanminin-5 and the serum levels of fascin-1 and laminin-5 were related to the relapse of patients with non-small cell lung cancer. PMID: 28653739
- The results uncover a role for fascin that operates independently of filopodia assembly to promote efficient cell migration and invasion. PMID: 27554857
- FSCN1 is a direct target of miR-539.MiR-539 inhibits FSCN1 expression and suppresses hepatocellular carcinoma migration and invasion. PMID: 28393215
- we show for the first time that HTLV-1 usurps the host cell factor Fascin to foster virus release and cell-to-cell transmission. PMID: 27776189
- Results show that BMI1 and FSCN1 are highly expressed in colorectal neoplasm and correlate with poor prognosis. PMID: 27488323
- miR-200b serves a suppressive role in the mediation of NSCLC cell migration and invasion, partly at least, via targeting FSCN1. PMID: 27356635
- LRIG1 and Fascin-1 were differently expressed in cancer and normal lung tissue in patients with NSCLC, which could be a biomarker for mediastinal lymph node metastasis in NSCLC patients. PMID: 28230028
- The increase in fascin1 expression may be the key point of this impact of TGF-beta1. PMID: 27350089
- Fascin 1 plays an oncogenic role in non-small cell lung cancer PMID: 26886283
- fascin expression promotes cholangiocarcinoma RBE cell proliferation, migration, and invasion. PMID: 25882880
- TGF-beta1 could induce the expressions of Fascin1 mRNA and protein and thus improve the invasive and metastatic ability of human renal carcinoma cells. PMID: 26749573
- elevated L-plastin expression promotes elongation and reduces protrusion density in cells with relatively lower L-plastin than fascin levels. PMID: 26945069
- Study demonstrates that FSCN1 is associated with increased risk of recurrence in pituitary adenomas and invasion, partially through modifying the expression of Notch/DLL pathway. PMID: 26522130
- The present study revealed an antioncogenic role of miR145 in gastric carcinoma via inhibition of FSCN1, and suggested that miR145 may be used for the treatment of gastric carcinoma. PMID: 26647829
- miR-145 negatively regulates the protein expression of its target FSCN1 in the NSCLC cell line H129. PMID: 26238532
- MiR-24 functions as a tumor suppressor in nasopharyngeal carcinoma through targeting FSCN1 PMID: 26503504
- Strong fascin-1 expression was found in 14.3% of borderline epithelial tumors of the ovary and linked to features related to elevated risk of recurrence. PMID: 26362828
- FSCN1 plays an important role in non-small cell lung cancer progression and prognosis. PMID: 26211585
- Alterations in nuclear Fascin levels result in defects in nucleolar morphology in both Drosophila follicles and cultured mammalian cells, suggesting that nuclear Fascin plays an important role in nucleolar architecture. PMID: 25808493
- miR-145 regulates cell migration and invasion in gastric cancer primarily by directly targeting FSCN1. PMID: 26010149
- regulates translation through miR-155 and miR-125b, which target 3' UTR in TNF-alpha mRNA PMID: 25831081
- the anti-oncogenic activity of miR-133a may involve the inhibition of the target gene FSCN1. The present study suggested that miR-133a may be a potential therapeutic target in the treatment of gastric cancer. PMID: 25815687
- The up-regulation of FSCN1 is a prognostic factor in patients diagnosed with hepatocellular liver cancer. PMID: 26173501
- Upregulated fascin expression was detected in melanoma metastases, but was not correlated to patient outcome. PMID: 25535872
- miR-133b directly targeted FSCN1 which functioned as an oncogenic gene in gastric cancer cells. PMID: 25433493
- Fascin-1 and paxillin were expressed in 58% and 43% of infiltrating duct carcinoma cases. There was a significant correlation between fascin-1 and paxillin expression and tumor grade, clinical stage, lymph-node metastasis grade, and HER2 expression. PMID: 26349603
- The cortactin SH3 domain contributes to podosome assembly while fascin actin bundling is a master regulator of podosome disassembly in THP-1 macrophages and dendritic cells. PMID: 25601713
- In ovarian primary mucinous tumors, fascin and EMMPRIN may play an important role in tumor progression from benign tumor to carcinoma. PMID: 25155376
- miR-133a functions as a tumor suppressor and directly targets FSCN1 in pancreatic cancer. PMID: 25198665
- LMP1-mediated upregulation of Fascin depends on NF-kappaB and both NF-kappaB and Fascin contribute to invasive migration of LMP1-expressing lymphocytes. PMID: 25105941
- Fascin plays a role in stress fiber organization and focal adhesion disassembly. PMID: 24930964
顯示更多
收起更多
-
亞細胞定位:Cytoplasm, cytosol. Cytoplasm, cell cortex. Cytoplasm, cytoskeleton. Cytoplasm, cytoskeleton, stress fiber. Cell projection, filopodium. Cell projection, invadopodium. Cell projection, microvillus. Cell junction.
-
蛋白家族:Fascin family
-
組織特異性:Ubiquitous.
-
數據庫鏈接:
Most popular with customers
-
-
Phospho-YAP1 (S127) Recombinant Monoclonal Antibody
Applications: ELISA, WB, IHC
Species Reactivity: Human
-
-
-
-
-
-















