ATF2 (Ab-62 or 44) Antibody
- 
								中文名稱:ATF2 (Ab-62 or 44)兔多克隆抗體
- 
								貨號:CSB-PA437430
- 
								規格:¥2024
- 
								圖片:- 
														
														Western blot analysis of extracts from 293 and 3T3 cells using ATF2(Ab-62 or 44) Antibody.
- 
														
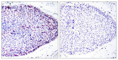
														Immunohistochemical analysis of paraffin-embedded human breast carcinoma tissue using ATF2(Ab-62 or 44) Antibody(left) or the same antibody preincubated with blocking peptide(right).
- 
														
														Immunofluorescence staining of methanol-fixed Hela cells using ATF2(Ab-62 or 44) Antibody.
 
- 
														
														
- 
								其他:
產品詳情
- 
											產品名稱:Rabbit anti-Homo sapiens (Human) ATF2 Polyclonal antibody
- 
											Uniprot No.:
- 
											基因名:
- 
											宿主:Rabbit
- 
											反應種屬:Human,Mouse,Rat
- 
											免疫原:Peptide sequence around aa.serine 60~64 or 42~46 (N-D-S-V-I) derived from Human ATF2.
- 
											免疫原種屬:Homo sapiens (Human)
- 
											克隆類型:Polyclonal
- 
											純化方式:Antibodies were produced by immunizing rabbits with synthetic peptide and KLH conjugates. Antibodies were purified by affinity-chromatography using epitope-specific peptide.
- 
											濃度:It differs from different batches. Please contact us to confirm it.
- 
											產品提供形式:Liquid
- 
											應用范圍:ELISA,WB,IHC,IF
- 
											推薦稀釋比:Application Recommended Dilution WB 1:500-1:1000 IHC 1:50-1:200 IF 1:100-1:200 
- 
											Protocols:
- 
											儲存條件:Upon receipt, store at -20°C or -80°C. Avoid repeated freeze.
- 
											貨期:Basically, we can dispatch the products out in 1-3 working days after receiving your orders. Delivery time maybe differs from different purchasing way or location, please kindly consult your local distributors for specific delivery time.
- 
											用途:For Research Use Only. Not for use in diagnostic or therapeutic procedures.
相關產品
靶點詳情
- 
											功能:Transcriptional activator which regulates the transcription of various genes, including those involved in anti-apoptosis, cell growth, and DNA damage response. Dependent on its binding partner, binds to CRE (cAMP response element) consensus sequences (5'-TGACGTCA-3') or to AP-1 (activator protein 1) consensus sequences (5'-TGACTCA-3'). In the nucleus, contributes to global transcription and the DNA damage response, in addition to specific transcriptional activities that are related to cell development, proliferation and death. In the cytoplasm, interacts with and perturbs HK1- and VDAC1-containing complexes at the mitochondrial outer membrane, thereby impairing mitochondrial membrane potential, inducing mitochondrial leakage and promoting cell death. The phosphorylated form (mediated by ATM) plays a role in the DNA damage response and is involved in the ionizing radiation (IR)-induced S phase checkpoint control and in the recruitment of the MRN complex into the IR-induced foci (IRIF). Exhibits histone acetyltransferase (HAT) activity which specifically acetylates histones H2B and H4 in vitro. In concert with CUL3 and RBX1, promotes the degradation of KAT5 thereby attenuating its ability to acetylate and activate ATM. Can elicit oncogenic or tumor suppressor activities depending on the tissue or cell type.
- 
											基因功能參考文獻:- Our study found that miR-451 regulates the drug resistance of renal cell carcinoma by targeting ATF-2 PMID: 28429654
- deregulation of the miR-144-5p/ATF2 axis plays an important role in non-small-cell lung cancer cell radiosensitivity. PMID: 29850528
- p38alpha and ATF2 expression play a crucial role in the malignant phenotypes of ovarian tumor cells and are a markers of poor prognosis in patients with ovarian serous adenocarcinomas. PMID: 28916425
- activation of JNK was found to be dependent on muscarinic acid receptor induced Ca(2+)/CAMKII as well as ROS. JNK dependent phosphorylation of ATF2/c-Jun transcription factors resulted in TGF-beta transcription and its signaling. PMID: 27708346
- ATF2 regulated by miR-204 might also play an important role in the regulation of malignant behavior of glioblastoma. PMID: 27588402
- We further demonstrated the suppressive function of lncRNA#32 in hepatitis B virus and hepatitis C virus infection. lncRNA#32 bound to activating transcription factor 2 (ATF2) and regulated ISG expression. Our results reveal a role for lncRNA#32 in host antiviral responses. PMID: 27582466
- Results show that ATF2 is highly expressed in renal cell carcinoma (RCC) tissues and promotes RCC cell proliferation, migration and invasion. The study suggests that ATF2 exerts an oncogenic role in RCC. PMID: 27377902
- These findings point to an oncogenic function for ATF2 in melanoma development that appears to be independent of its transcriptional activity. PMID: 27210757
- this study demonstrates that CPEB2 alternative splicing is a major regulator of key cellular pathways linked to anoikis resistance and metastasis. PMID: 28904175
- Noxin facilitated the expression of Cyclin D1 and Cyclin E1 through activating P38-activating transcription factor 2 signaling pathway, thus enhanced cell growth of breast cancer PMID: 28618963
- these observations suggest that CD99 is involved in the regulation of CD1a transcription and expression by increasing ATF-2. PMID: 27094031
- This review provides an overview of the currently known upstream regulators and downstream targets of ATF2. [review] PMID: 28212892
- TNF induces the binding of ATF2 to the TNF-responsive element. PMID: 27821620
- miR-204 may act as a tumor suppressor by directly targeting ATF2 in non-small cell lung cancer PMID: 26935060
- the variant alleles of TSG101 rs2292179 and ATF2 rs3845744 were associated with a reduced risk of breast cancer, particularly for subjects with BMI <24 (kg/m(2)) and postmenopausal women, respectively PMID: 26729199
- Results reveal that mitochondrial ATF2 is associated with the induction of apoptosis and BRAF inhibitor resistance through Bim activation. PMID: 26462148
- Neisseria meningitidis caused a high level of E-selectin expression elicited by the activity of phosphorylated ATF2 transcription factor on the E-selectin promoter. PMID: 26153406
- increased expression of the gene encoding PKCepsilon and abundance of phosphorylated, transcriptionally active ATF2 were observed in advanced-stage melanomas and correlated with decreased FUK expression PMID: 26645581
- CARMA1- and MyD88-dependent activation of Jun/ATF-type AP-1 complexes is a hallmark of ABC diffuse large B-cell lymphomas. PMID: 26747248
- More terminally differentiated human odontoblasts was ATF-2 positive, as compared to pulpal fibroblasts at various stages of differentiation: ATF-2 is more associated with cell survival rather than cell proliferation. PMID: 25417007
- Study identified a potential target of miR-451, ATF2, and revealed a novel role of miR-451 in the inhibition of the migratory ability of hepatoma cell lines. PMID: 24968707
- ATF-2 knockdown blocked VEGF-A-stimulated VCAM-1 expression and endothelial-leukocyte interactions. ATF-2 was also required for other endothelial cell outputs, such as cell migration and tubulogenesis. PMID: 24966171
- Study demonstrates the role of miR-622 in suppressing glioma invasion and migration mediated by ATF2, and shows that miR-622 expression inversely correlates with ATF2 in glioma patients PMID: 25258251
- suppression of tumorigenesis by JNK requires ATF2. PMID: 25456131
- study revealed that, autocrine soluble factors regulate dual but differential role of ATF-2 as a transcription factor or DNA repair protein, which collectively culminate in radioresistance of A549 cells. PMID: 25041846
- While expression of ATF-2 is not associated with outcome. PMID: 25141981
- The expression of ATF2 in chondrocytes is involved in apoptosis in Kashin-Beck disease. PMID: 23866832
- in human HCC tissues, SPTBN1 expression correlated negatively with expression levels of STAT3, ATF3, and CREB2; SMAD3 expression correlated negatively with STAT3 expression PMID: 25096061
- zymosan-induced il23a mRNA expression is best explained through coordinated kappaB- and ATF2-dependent transcription; and (iii) il23a expression relies on complementary phosphorylation of ATF2 on Thr-69 and Thr-71 dependent on PKC and MAPK activities. PMID: 24982422
- Data show that salvianolic acid B protects endothelial progenitor cells against oxidative stress by modulating Akt/mTOR/4EBP1, p38 MAPK/ATF2, and ERK1/2 signaling pathways. PMID: 24780446
- There is synergism between developmental stage-specific recruitments of the ATF2 protein complex and expression of gamma-globin during erythropoiesis. PMID: 24223142
- An association between ATF2 polymorphisms and heavy alcohol consumption is only weakly supported. PMID: 24338393
- ATF2 knockdown revealed ATF2-triggered p21(WAF1) protein expression, suggesting p21(WAF1) transactivation through ATF2. PMID: 23800081
- results therefore suggest that c-MYC induces stress-mediated activation of ATF2 and ATF7 and that these transcription factors regulate apoptosis in response to oncogenic transformation of B cells PMID: 23416976
- we establish that ATF2 family members physically and functionally interact with TCF1/LEF1 factors to promote target gene expression and hematopoietic tumor cell growth PMID: 23966864
- Cytoplasmic ATF2 expression was less frequently seen than nuclear expression in malignant mesenchymal tumors. Benign mesenchymal tumors mostly showed much lower nuclear and cytoplasmic ATF2 expression. PMID: 24289970
- Data indicate that small molecules that block the oncogenic addiction to PKCepsilon signaling by promoting ATF2 nuclear export, resulting in mitochondrial membrane leakage and melanoma cell death. PMID: 23589174
- Increasing of ATF2 expression is mediated via oxidative stress induced by arsenic in SV-HUC-1 cells, and MAPK pathways are involved. PMID: 23591579
- these studies show that the IL-1beta-induced increase in intestinal tight junction permeability was regulated by p38 kinase activation of ATF-2 and by ATF-2 regulation of MLCK gene activity PMID: 23656735
- Phosphorylation of ATF2 by PKCepsilon is the master switch that controls its subcellular localization and function. PMID: 22685333
- ATF2-Jun heterodimers bind IFNb in both orientations alone and in association with IRF3 and HMGI PMID: 22843696
- we report the kinetic mechanism for JNK1beta1 with transcription factors ATF2 and c-Jun along with interaction kinetics for these substrates. PMID: 22351776
- ATF2 subcellular localization is probably modulated by multiple mechanisms PMID: 22275354
- Data concluded that IR-induced up-regulation of ATF2 was coordinately enhanced by suppression of miR-26b in lung cancer cells, which may enhance the effect of IR in the MAPK signaling pathway. PMID: 21901137
- The ability of ATF2 to reach the mitochondria is determined by PKCepsilon, which directs ATF2 nuclear localization. Genotoxic stress attenuates PKCepsilon effect on ATF2; enables ATF2 nuclear export and localization at the mitochondria. PMID: 22304920
- Data show that ATF7-4 is an important cytoplasmic negative regulator of ATF7 and ATF2 transcription factors. PMID: 21858082
- Our data suggest regulatory roles for ATF2 in TNF-related mechanisms of Head and Neck Squamous Cell Carcinoma. Its perturbation and nuclear activation are associated with significant effects on survival and cytokine production. PMID: 21990224
- Data suggest that competition between GSTpi and active JNK for the substrate ATF2 may be responsible for the inhibition of JNK catalysis by GSTpi. PMID: 21384452
- ATF2 interacts with beta-cell-enriched transcription factors, MafA, Pdx1, and beta2, and activates insulin gene transcription. PMID: 21278380
- MITF is downregulated by ATF2 in the skin of Atf2-/- mice, in primary human melanocytes, and in melanoma cell lines. PMID: 21203491
 顯示更多 收起更多 
- 
											亞細胞定位:Nucleus. Cytoplasm. Mitochondrion outer membrane. Note=Shuttles between the cytoplasm and the nucleus and heterodimerization with JUN is essential for the nuclear localization. Localization to the cytoplasm is observed under conditions of cellular stress and in disease states. Localizes at the mitochondrial outer membrane in response to genotoxic stress. Phosphorylation at Thr-52 is required for its nuclear localization and negatively regulates its mitochondrial localization. Co-localizes with the MRN complex in the IR-induced foci (IRIF).
- 
											蛋白家族:BZIP family, ATF subfamily
- 
											組織特異性:Ubiquitously expressed, with more abundant expression in the brain.
- 
											數據庫鏈接:
Most popular with customers
- 
                                            YWHAB Recombinant Monoclonal Antibody Applications: ELISA, WB, IHC, IF, FC Species Reactivity: Human, Mouse, Rat 
- 
                                            Phospho-YAP1 (S127) Recombinant Monoclonal Antibody Applications: ELISA, WB, IHC Species Reactivity: Human 
- 
                                            
- 
                                            
- 
                                            
- 
                                            
- 
                                            
- 
                                            
 
  
  
  
 














 
         
           
  
          
