CHRNA1 Antibody
- 
								中文名稱:CHRNA1兔多克隆抗體
- 
								貨號:CSB-PA169699
- 
								規格:¥1100
- 
								圖片:- 
														
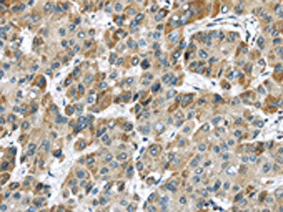
														The image on the left is immunohistochemistry of paraffin-embedded Human liver cancer tissue using CSB-PA169699(CHRNA1 Antibody) at dilution 1/20, on the right is treated with synthetic peptide. (Original magnification: ×200)
- 
														
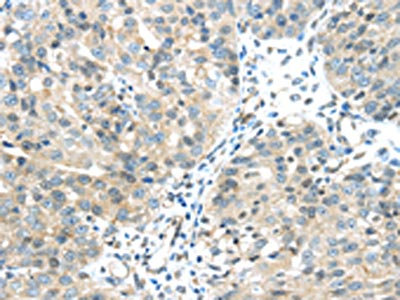
														The image on the left is immunohistochemistry of paraffin-embedded Human breast cancer tissue using CSB-PA169699(CHRNA1 Antibody) at dilution 1/20, on the right is treated with synthetic peptide. (Original magnification: ×200)
- 
														
														Gel: 8%SDS-PAGE, Lysate: 60 μg, Lane: Mouse heart tissue, Primary antibody: CSB-PA169699(CHRNA1 Antibody) at dilution 1/200 dilution, Secondary antibody: Goat anti rabbit IgG at 1/8000 dilution, Exposure time: 3 minutes
 
- 
														
														
- 
								其他:
產品詳情
- 
											Uniprot No.:
- 
											基因名:
- 
											別名:Acetylcholine receptor subunit alpha antibody; ACHA_HUMAN antibody; AChR antibody; ACHRA antibody; ACHRD antibody; CHNRA antibody; Cholinergic receptor nicotinic alpha 1 subunit antibody; Cholinergic receptor nicotinic alpha polypeptide 1 antibody; Cholinergic receptor; nicotinic; alpha polypeptide 1 (muscle) antibody; Chrna1 antibody; CMS1A antibody; CMS1B antibody; CMS2A antibody; FCCMS antibody; Nicotinic cholinergic receptor alpha 1 antibody; SCCMS antibody; Schizophrenia neurophysiologic defect candidate antibody
- 
											宿主:Rabbit
- 
											反應種屬:Human,Mouse,Rat
- 
											免疫原:Synthetic peptide of Human CHRNA1
- 
											免疫原種屬:Homo sapiens (Human)
- 
											標記方式:Non-conjugated
- 
											抗體亞型:IgG
- 
											純化方式:Antigen affinity purification
- 
											濃度:It differs from different batches. Please contact us to confirm it.
- 
											保存緩沖液:-20°C, pH7.4 PBS, 0.05% NaN3, 40% Glycerol
- 
											產品提供形式:Liquid
- 
											應用范圍:ELISA,WB,IHC
- 
											推薦稀釋比:Application Recommended Dilution ELISA 1:1000-1:2000 WB 1:200-1:1000 IHC 1:25-1:100 
- 
											Protocols:
- 
											儲存條件:Upon receipt, store at -20°C or -80°C. Avoid repeated freeze.
- 
											貨期:Basically, we can dispatch the products out in 1-3 working days after receiving your orders. Delivery time maybe differs from different purchasing way or location, please kindly consult your local distributors for specific delivery time.
- 
											用途:For Research Use Only. Not for use in diagnostic or therapeutic procedures.
相關產品
靶點詳情
- 
											功能:After binding acetylcholine, the AChR responds by an extensive change in conformation that affects all subunits and leads to opening of an ion-conducting channel across the plasma membrane.
- 
											基因功能參考文獻:- In our analysis, we found one pair of SNPs in CHRNA1 and CHRNA7, plus one pair of SNPs in CHRNA2 and CHRNA3 reached corrected significance in tests for GxG interaction. Our study suggested evidence of interactions between CHRNs in controlling the risk of NSCL/P. PMID: 29688589
- This study shown that the genetic analysis revealed that the very early onset JMG had a more prominent genetic predisposition in an autoantigen gene (CHRNA1). PMID: 28364296
- Data suggest that the mutations made the cholinergic receptor nicotinic alpha 1 subunit channel (CHRNA1) resistant to the antagonists, not by impairing antagonist binding, but rather by producing a gain-of-function phenotype, e.g. increased agonist sensitivity. PMID: 27649498
- Study indicated that nicotinic acetylcholine receptor alpha 1-subunit peptides may act as receptor decoy molecules and inhibit the binding of virus to the native host cell receptors and hence may reduce viral infection. PMID: 26656837
- ChRnA1 gene variants did not affect the pharmacodynamics of rocuronium. PMID: 25279974
- nicotine contributes to the progression and erlotinib-resistance of the NSCLC xenograft model via the cooperation between nAChR and EGFR. PMID: 25670150
- show that AON complementary to the 5' splice site of the exon was the most effective at exon skipping of the minigene with causative mutations, as well as endogenous wild-type CHRNA1 PMID: 25888793
- The CHRNA1 extracellular domain is an improved protein for use in antigen-specific Myasthenia Gravis therapeutic strategies. PMID: 24376846
- HnRNP L and hnRNP LL antagonistically modulate PTB-mediated splicing suppression of CHRNA1 pre-mRNA. PMID: 24121633
- High expression of CHRNA1 is associated with lung adenocarcinoma after complete resection. PMID: 23775407
- No mutations were found in CHRNG, CHRND and CHRNA1 genes of Indian families with Escobar syndrome. PMID: 23448903
- Findings identify a novel lung cancer risk locus on 2q31.1 which correlates with CHRNA1 expression and replicate previous associations on 15q25.1 in African-Americans. PMID: 23232035
- V188 is functionally linked to Y190 in the C-loop and to D200 in beta-strand 10 of the acetylcholine receptor alpha subunit, which connects to the M1 transmembrane domain PMID: 22728938
- Studies suggest that the receptor nAChRalpha1 is an important regulator of calpain-1 activation and inflammation in the chronic hypercholesterolemic nephropathy. PMID: 20661225
- expression of extracellular domain of human muscle acetylcholine receptor alpha subunit in yeast Pichia pastoris PMID: 12015305
- DNA analysis of a father and son with dominant fast channel congenital myasthenic syndrome revealed an AChR alpha-subunit F256L missense mutation affecting channel gating PMID: 15079006
- A good correlation was found between the expression of PAX3/7-FKHR and AChR, while MyoD1 was more sensitive but less specific. PMID: 16435141
- the interaction between alpha AChR M1 and M2 domains plays a key role in channel gating PMID: 17028140
- growth factor-induced HMVEC migration, a key angiogenesis event, requires nAChR activation--an effect mediated in part by nAChR-dependent regulation of thioredoxin activity. PMID: 17082486
- Here we describe a mechanism controlling thymic transcription of a prototypic tissue-restricted human auto-antigen gene, CHRNA1 PMID: 17687331
- No CHRNA1, CHRNB1, or CHRND mutations were detected, but a homozygous RAPSN frameshift mutation, c.1177-1178delAA, was identified in a family with three children affected with lethal fetal akinesia sequence. PMID: 18179903
- study reports homozygous nonsense mutations in CHRNA1 and CHRND and shows that they were lethal PMID: 18252226
- Presence of heterogeneous nuclear ribonucleoprotein H-binding motif in CHRNA1 close to the 3' end of an intron is an essential but underestimated splicing regulator of the downstream exon. PMID: 18806275
 顯示更多 收起更多 
- 
											相關疾病:Multiple pterygium syndrome, lethal type (LMPS); Myasthenic syndrome, congenital, 1A, slow-channel (CMS1A); Myasthenic syndrome, congenital, 1B, fast-channel (CMS1B)
- 
											亞細胞定位:Cell junction, synapse, postsynaptic cell membrane; Multi-pass membrane protein. Cell membrane; Multi-pass membrane protein.
- 
											蛋白家族:Ligand-gated ion channel (TC 1.A.9) family, Acetylcholine receptor (TC 1.A.9.1) subfamily, Alpha-1/CHRNA1 sub-subfamily
- 
											組織特異性:Isoform 1 is only expressed in skeletal muscle. Isoform 2 is constitutively expressed in skeletal muscle, brain, heart, kidney, liver, lung and thymus.
- 
											數據庫鏈接:
Most popular with customers
- 
                                            Phospho-YAP1 (S127) Recombinant Monoclonal Antibody Applications: ELISA, WB, IHC Species Reactivity: Human 
- 
                                            
- 
                                            
- 
                                            
- 
                                            
- 
                                            
- 
                                            VDAC1 Recombinant Monoclonal Antibody Applications: ELISA, WB, IHC Species Reactivity: Human, Mouse, Rat 
- 
                                            
 
  
  
  
 














 
         
           
  
          
