FZD8 Antibody
- 
								中文名稱:FZD8兔多克隆抗體
- 
								貨號:CSB-PA360153
- 
								規格:¥1100
- 
								圖片:- 
														
														The image on the left is immunohistochemistry of paraffin-embedded Human esophagus cancer tissue using CSB-PA360153(FZD8 Antibody) at dilution 1/50, on the right is treated with synthetic peptide. (Original magnification: ×200)
- 
														
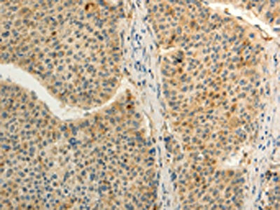
														The image on the left is immunohistochemistry of paraffin-embedded Human liver cancer tissue using CSB-PA360153(FZD8 Antibody) at dilution 1/50, on the right is treated with synthetic peptide. (Original magnification: ×200)
 
- 
														
														
- 
								其他:
產品詳情
- 
											Uniprot No.:
- 
											基因名:
- 
											別名:FZD8; Frizzled-8; Fz-8; hFz8
- 
											宿主:Rabbit
- 
											反應種屬:Human,Mouse,Rat
- 
											免疫原:Synthetic peptide of Human FZD8
- 
											免疫原種屬:Homo sapiens (Human)
- 
											標記方式:Non-conjugated
- 
											抗體亞型:IgG
- 
											純化方式:Antigen affinity purification
- 
											濃度:It differs from different batches. Please contact us to confirm it.
- 
											保存緩沖液:-20°C, pH7.4 PBS, 0.05% NaN3, 40% Glycerol
- 
											產品提供形式:Liquid
- 
											應用范圍:ELISA,IHC
- 
											推薦稀釋比:Application Recommended Dilution ELISA 1:2000-1:10000 IHC 1:50-1:200 
- 
											Protocols:
- 
											儲存條件:Upon receipt, store at -20°C or -80°C. Avoid repeated freeze.
- 
											貨期:Basically, we can dispatch the products out in 1-3 working days after receiving your orders. Delivery time maybe differs from different purchasing way or location, please kindly consult your local distributors for specific delivery time.
- 
											用途:For Research Use Only. Not for use in diagnostic or therapeutic procedures.
相關產品
靶點詳情
- 
											功能:Receptor for Wnt proteins. Component of the Wnt-Fzd-LRP5-LRP6 complex that triggers beta-catenin signaling through inducing aggregation of receptor-ligand complexes into ribosome-sized signalosomes. The beta-catenin canonical signaling pathway leads to the activation of disheveled proteins, inhibition of GSK-3 kinase, nuclear accumulation of beta-catenin and activation of Wnt target genes. A second signaling pathway involving PKC and calcium fluxes has been seen for some family members, but it is not yet clear if it represents a distinct pathway or if it can be integrated in the canonical pathway, as PKC seems to be required for Wnt-mediated inactivation of GSK-3 kinase. Both pathways seem to involve interactions with G-proteins. May be involved in transduction and intercellular transmission of polarity information during tissue morphogenesis and/or in differentiated tissues. Coreceptor along with RYK of Wnt proteins, such as WNT1.
- 
											基因功能參考文獻:- FZD8 forms a TGF-beta-regulated complex with TGF-beta receptors that is mediated by the extracellular domains of FZD8 and TGFBR1 PMID: 29717114
- In OS tissues, miR-520b was inversely correlated with FZD8 expression. FZD8 was upregulated in human spinal OS tissues and cell lines. PMID: 28247840
- miR-375 functions as a tumor-suppressive microRNA by directly acting upon FZD8, which may serve as a new therapeutic target to inhibit tumor metastasis in colorectal cancer PMID: 27276676
- Elevated expression of TP53 target FZD8 promoted prostate cancer bone metastasis by activating the canonical Wnt/beta-catenin signaling pathway. PMID: 28602974
- these findings suggest that miR-100 suppresses the migration and invasion of breast cancer cells by targeting FZD-8 and inhibiting Wnt/b-catenin signaling pathway and manipulation of miR-100 may provide a promoting therapeutic strategy for cancer breast treatment. PMID: 26537584
- Frizzled-8 has an important pro-inflammatory role and suggest that its expression is related to chronic bronchitis. PMID: 26797711
- report the discovery of a human-accelerated regulatory enhancer (HARE5) of FZD8, a receptor of the Wnt pathway implicated in brain development and size PMID: 25702574
- Study concludes that expression of Fzd8 is repressed in multiple cancers and suggest it may have a role as a tumor suppressor. PMID: 26590425
- c-Met upregulated FZD8 through the ERK/c-Fos cascade in HN-CSC. Taken together, our results offer a preclinical proof-of-concept for targeting the c-Met/FZD8 signaling axis as a CSC-directed therapy to improve HNSCC treatment PMID: 25320014
- These observations suggest that c-Jun is involved in APF-mediated inhibition for bladder tumor cell growth PMID: 21872498
- APF has been shown to be a nine-residue frizzled-8 protein-related sialoglycopeptide. Subsequent research has gradually clarified the molecular mechanisms underlying the profound antiproliferative effect of APF. PMID: 22738385
- analysis of the frizzled8.Wnt3a.LRP6 signaling complex reveals multiple Wnt and Dkk1 binding sites on LRP6 PMID: 20093360
- molecular model of the Wnt protein binding site on the surface of dimeric CRD domain of the Fzd8 receptor PMID: 18505162
 顯示更多 收起更多 
- 
											亞細胞定位:Membrane; Multi-pass membrane protein. Golgi apparatus. Cell membrane; Multi-pass membrane protein.
- 
											蛋白家族:G-protein coupled receptor Fz/Smo family
- 
											組織特異性:Most abundant in fetal kidney, followed by brain and lung. In adult tissues, expressed in kidney, heart, pancreas and skeletal muscle.
- 
											數據庫鏈接:
Most popular with customers
- 
                                            
- 
                                            YWHAB Recombinant Monoclonal Antibody Applications: ELISA, WB, IHC, IF, FC Species Reactivity: Human, Mouse, Rat 
- 
                                            Phospho-YAP1 (S127) Recombinant Monoclonal Antibody Applications: ELISA, WB, IHC Species Reactivity: Human 
- 
                                            
- 
                                            
- 
                                            
- 
                                            
- 
                                            
 
  
  
 














 
         
           
  
          
