IFNL3 Antibody
-
中文名稱:IFNL3兔多克隆抗體
-
貨號:CSB-PA810313ESR1HU
-
規格:¥440
-
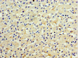
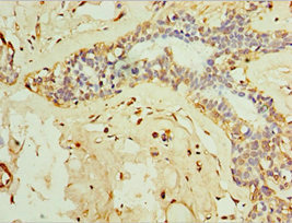
圖片:
-
其他:
產品詳情
-
產品名稱:Rabbit anti-Homo sapiens (Human) IFNL3 Polyclonal antibody
-
Uniprot No.:
-
基因名:
-
別名:Cytokine ZCYTO22 antibody; IFN-lambda-3 antibody; IFN-lambda-4 antibody; IL-28B antibody; IL-28C antibody; IL28B antibody; IL28B_HUMAN antibody; IL28C antibody; Interferon lambda-3 antibody; Interferon lambda-4 antibody; interleukin 28B (interferon; lambda 3) antibody; Interleukin 28C antibody; Interleukin-28B antibody; Interleukin-28C antibody
-
宿主:Rabbit
-
反應種屬:Human
-
免疫原:Recombinant Human Interferon lambda-3 protein (22-196AA)
-
免疫原種屬:Homo sapiens (Human)
-
標記方式:Non-conjugated
-
克隆類型:Polyclonal
-
抗體亞型:IgG
-
純化方式:Antigen Affinity Purified
-
濃度:It differs from different batches. Please contact us to confirm it.
-
保存緩沖液:PBS with 0.02% sodium azide, 50% glycerol, pH7.3.
-
產品提供形式:Liquid
-
應用范圍:ELISA, IHC
-
推薦稀釋比:
Application Recommended Dilution IHC 1:20-1:200 -
Protocols:
-
儲存條件:Upon receipt, store at -20°C or -80°C. Avoid repeated freeze.
-
貨期:Basically, we can dispatch the products out in 1-3 working days after receiving your orders. Delivery time maybe differs from different purchasing way or location, please kindly consult your local distributors for specific delivery time.
-
用途:For Research Use Only. Not for use in diagnostic or therapeutic procedures.
相關產品
靶點詳情
-
功能:Cytokine with antiviral, antitumour and immunomodulatory activities. Plays a critical role in the antiviral host defense, predominantly in the epithelial tissues. Acts as a ligand for the heterodimeric class II cytokine receptor composed of IL10RB and IFNLR1, and receptor engagement leads to the activation of the JAK/STAT signaling pathway resulting in the expression of IFN-stimulated genes (ISG), which mediate the antiviral state. Has a restricted receptor distribution and therefore restricted targets: is primarily active in epithelial cells and this cell type-selective action is because of the epithelial cell-specific expression of its receptor IFNLR1. Seems not to be essential for early virus-activated host defense in vaginal infection, but plays an important role in Toll-like receptor (TLR)-induced antiviral defense. Plays a significant role in the antiviral immune defense in the intestinal epithelium. Exerts an immunomodulatory effect by up-regulating MHC class I antigen expression.
-
基因功能參考文獻:
- No association between IFNL3 genotype and response to peginterferon alfa-2a in HBeAg-positive or -negative chronic hepatitis B patients was found. PMID: 30016335
- When analyzing the frequency of occurrence of a polymorphic variant T>G [rs8099917] IL-28B gene in children with chronic hepatitis C and healthy children revealed no differences in the distribution of alleles. PMID: 30284423
- zinc can act as a potent and specific inhibitor of IFN-lambda3 signaling. PMID: 28513591
- IL28B and MxA gene genotypes were detected among 231 chronic hepatitis C (CHC) carriers, 428 subjects with hepatitis C virus spontaneous clearance and 662 CHC patients with pegylated IFN-alpha and ribavirin (pegIFN-alpha/RBV) treatment. PMID: 29271328
- Single nucleotide polymorphisms (SNPs) rs12979860 and rs8099917 (IL28B) and rs1800896, rs1800871, and rs1800872 (IL10) are related to treatment outcome, but previous studies clustered nonresponse and relapse patients.Frequency of rs12979860 and rs8099917 is different between relapsers and nonresponders, but similar between relapsers and responders PMID: 29888255
- only IL28B rs12979860-CT and TT genotypes seem to contribute to the occurrence of chronic HCV infection in the cohort of Uruguayan population studied. Considering that a trend towards a higher frequency of "good" response genotypes was observed in responder patients, we believe that IL28B rs12979860 genotyping could be a useful tool for predicting different therapies outcome, including in the DAA era. PMID: 29499724
- our data show a significant association between rs12979860 polymorphism and hematologic response to IFN-alpha in PV and in the combined cohort of PV and ET. These findings imply that inborn variations in the genes involved in inflammation are related to the outcome of IFN-alpha treatment in MPNs. PMID: 29369421
- The selected donor with a predictable and favourable IL-28B genotype will not confer a benefit on the recipient in the living donor liver transplantation setting. PMID: 29686997
- IL-28B polymorphisms may be useful predictive factors for chronic periodontitis (CP) and correlated to the susceptibility to CP infection. PMID: 28655358
- IL28B rs12979860 polymorphism does not influence the susceptibility to HIV-1 and the AIDS development in Moroccan patients, however, this polymorphism may affect the response to HAART treatment as measured by CD4+ T cell counts PMID: 29080719
- This is the first report on a diagnostic test for simultaneous genotyping of IFNL3, ABCB11, and RNF7 in Chronic hepatitis C (CHC) patients. Reliable and inexpensive, the assay should provide useful information for the clinical management of CHC, like identification of patients at risk of rapid disease progression or with high chances of response to classic therapy. PMID: 28860020
- Results showed that INF-lambda serum concentration was increased in Alzheimer's disease (AD) and mild cognitive impairment (MCI) carrying the IFNL3 T allele compared to healthy controls (HC). Anti-HSV-1 Ab titers were higher in AD and MCI individuals carrying the IRF7 AA genotype compared to HC. IFNL3 rs12979860 and IRF7 rs6598008 polymorphisms may modulate immune responses against HSV-1 via their effect on the IFN-lam... PMID: 28984602
- Regardless of viral genotype we found no association between IL28B genotype and the risk of vertical transmission of HCV. The IL28B genotype CC, which has been shown to be favourable in other settings, was not protective of vertical transmission of HCV. PMID: 28820758
- The authors concluded that in the Chinese population, HLA-A*02:01 and DRB1*11:01 might be associated with the host capacity to clear hepatitis C virus independent of IL28B, which suggests that the innate and adaptive immune responses both play an important role in the control of hepatitis C virus. PMID: 27511600
- In a cohort of patients affected by HCV chronic hepatitis with genotypes 1 and 4, the prevalence of interleukin 28B (IL28B) genotypes, the possible association between IL28B polymorphism and severity of liver damage, the role of IL28B CC as a predictor of outcome were investigated PMID: 27271956
- Fine-tuned by RETN SNPs, intrahepatic, multi-cellular resistin reinforced IFNL3 in eliminating HCV via immunomodulation to counteract pro-inflammation. PMID: 27477870
- Investigated the associations of IL-28B rs12979860 and TBX21 rs17250932, rs4794067 polymorphisms with the susceptibility to, and outcomes of, hepatitis C virus (HCV) infection; results showed no significant associations for rs12979860 polymorphisms with HCV clearance and sustained virological response PMID: 29399747
- IFNL3 rs4803217 SNP is a strong, independent and superior predictor of sustained virological response and relapse in HCV genotype 1 infected chronic hepatitis C patients treated with pegylated interferon alpha and ribavirin. PMID: 28638221
- IL-28B single nucleotide polymorphism rs8099917TT is the most frequent genotype in Cuban chronic hepatitis C patients and is associated with treatment outcome as well. PMID: 28058039
- Liver stiffness progression in patients with chronic hepatitis C virus correlated with the IL28B TT/CC and IL28B GG/TT genotypes. PMID: 28579527
- IL28B (rs8099917 and rs12979860) and IL10 (rs1800896) polymorphisms alone, or in combination, are good predictors of therapeutic response in hepatitis C virus-3a patients. PMID: 29340806
- In this study, limit of detection (LD), costs and turnaround time of these methods were compared in 350 subjects. As for IL28B rs12979860 polymorphisms, 348/350 (99.4%) samples were consistent among the five methods, while results for 2/350 (0.57%) samples were concordant by ZNAs and PCR-sequencing, and discordant by other methods PMID: 28281380
- Of the 1084 patients with the IL-28 genotype, 59.4% had hepatitis C virus genotype 1 (HCV-1) infection; 85.6% had the TT genotype. Patients with advanced liver fibrosis had an older age, a lower platelet count, a higher [alpha]-fetoprotein level, a higher alanine aminotransferase level, a higher incidence of diabetes, and a higher frequency of rs8099917 non-TT genotype carriage. PMID: 29517696
- The SNP distribution of gene IL28 with fixed prognostic value in the population of patients with chronic hepatitis C is different from the general population, and shows the need to evaluate polymorphisms prior to treatment. PMID: 29264884
- Polymorphisms of IFNL3 rs8099917 and IL12A rs568408 contribute to survival of HD patients, but not as independent factors. PMID: 28525983
- Both hepatitis C virus-specific T cell responses and IL28B rs12979860 single-nucleotide polymorphism genotype influence anti-hepatitis C virus treatment outcome in patients with chronic hepatitis C. PMID: 28440692
- IFNL3 SNPs are strongly associated with treatment responses in Iranian patients with chronic hepatitis C. PMID: 28703131
- TLR2 and IL28B polymorphisms in combination showed a role in the control of HCV viral load and different HCV disease progression. PMID: 27183918
- These findings indicate that serum IFNL3 levels at baseline are higher in acute hepatitis C patients regardless of the rs8099917 polymorphism, and primary hepatitis C virus infection triggers the production of IFNL3. PMID: 29040985
- The association between IFNL3/4 genotypes with elevated HCV VL observed in HCV g6-infected individuals may have implications for the progression of liver disease in Southeast Asian countries where this viral genotype predominates and therefore warrants further studies. PMID: 29022122
- In summary, the current study did not find a significant association between IL28B rs12979860 polymorphism and hepatocarcinogenesis. PMID: 27083168
- Interferon lambda polymorphisms influence regulatory pathways of cellular response to interferon and affect body iron balance in chronic hepatitis C virus infection. PMID: 27125837
- IL-28B rs12979860 SNP could be used as an independent predictor for treatment response among HCV patients. PMID: 28502145
- In hemodialysis patients, circulating IFN-lambda3 strongly correlates with anti-HBs antibody production after HBV vaccination and infection. IFNL3 rs8099917 polymorphisms seem to be associated with IFN-lambda3 plasma levels in hemodialysis subjects. PMID: 27595449
- Results demonstrated genetic variations of IL-28B might impact liver function recovery after transplantation by influencing peripheral platelet counts and reducing liver inflammation, but weak association with transplant etiologies. PMID: 29095252
- The results obtained suggest that both studied IL28B gene SNPs (single nucleotide polymorphisms), as well as the IL10 gene rs1800872 SNP are associated with predisposition to tick-borne encephalitis in Russian population. PMID: 27068548
- IL-28B genotyping may be useful for directing patients towards lower cost therapies, and rationing use of costly direct antivirals for use in those individuals showing genetic risk. PMID: 28877177
- the IFNL3 rs 12979860 CC genotype may be negatively associated with hepatic steatosis in Asian chronic hepatitis C patients. PMID: 28797039
- IL-28B rs12979860 genotype was significantly related to severe necroinflammatory activity (NIA) grade of chronic hepatitis C patients. PMID: 28704535
- Data show that the genotype distributions of IFNL3 and IFNL4 variants (rs4803217, rs368234815, rs117648444, and rs12979860) were in Hardy-Weinberg equilibrium. PMID: 28394349
- In summary, the data suggested that the protective effect attributed to the rs12979860 single nucleotide polymorphism minor T allele could be mediated, at least in part, by eliciting robust cytomegalovirus-specific T-cell responses. PMID: 27591738
- The data confirm our new IFN-lambda3 binding assay can be used to quantify IFN-lambda receptor surface expression on a variety of cell types and reflects IFN-lambda3 responsiveness. PMID: 28274837
- In Taiwan, chronic hepatitis C (CHC) patients have a lower frequency of favorable IL28B TT genotype than healthy controls. Among patients with CHC, the frequency of TT genotype is higher in HCV genotype 2 patients than in HCV genotype 1 patients. In addition, CHC patients with TT genotype, particularly females, have a lower likelihood of advanced fibrosis. PMID: 27751759
- IFNL3 SNPs genotyped have shown no association with ribavirin treatment in hepatitis C patients with genotype 3. PMID: 27498543
- in influenza A/H3N2 virus infection, IL-28 (rs8099917) genotypes GG and TG were associated with reduced risk of influenza like illness (ILI) symptoms while genotype TT was associated with increased risk of ILI symptom PMID: 27155288
- monocytes from carriers of an IL-28B T/T genotype display a reduced ability to stimulate NK cell activity PMID: 27583440
- alterations in IL28B SNP genotype may occur after living donor liver transplantation, leading to modifications in the host genome or donor proteome by HCV. PMID: 27275739
- Results show that detection of SNPs in IL28B combined with increased IP-10 levels increase predictability of sustained virological Response in patients treated with pegylated interferon 2alpha a plus ribavirin. PMID: 26470765
- In patients infected with HCV-3 [hepatitis-C virus genotype-3], IFNlambda3 [interferon lambda-3] rs12979860, SNP[ single nucleotide polymorphisms ] has less impact on SVR [sustained virologic response ]. PMID: 27353984
- the association of amino acid substitutions in the HCV core protein and the IFNL3 and IFNL4 polymorphisms with the severity of liver disease, particularly in hepatocellular carcinoma development PMID: 27035616
顯示更多
收起更多
-
亞細胞定位:Secreted.
-
蛋白家族:Lambda interferon family
-
數據庫鏈接:
Most popular with customers
-
-
YWHAB Recombinant Monoclonal Antibody
Applications: ELISA, WB, IHC, IF, FC
Species Reactivity: Human, Mouse, Rat
-
Phospho-YAP1 (S127) Recombinant Monoclonal Antibody
Applications: ELISA, WB, IHC
Species Reactivity: Human
-
-
-
-
-















