KCNJ5 Antibody
-
中文名稱:KCNJ5兔多克隆抗體
-
貨號:CSB-PA012058LA01HU
-
規格:¥440
-
圖片:
-
Western Blot
Positive WB detected in: Mouse heart tissue
All lanes: KCNJ5 antibody at 4.85μg/ml
Secondary
Goat polyclonal to rabbit IgG at 1/50000 dilution
Predicted band size: 48 kDa
Observed band size: 48 kDa -
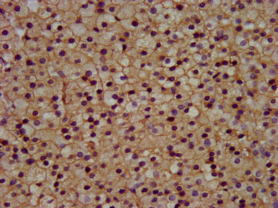
IHC image of CSB-PA012058LA01HU diluted at 1:300 and staining in paraffin-embedded human adrenal gland tissue performed on a Leica BondTM system. After dewaxing and hydration, antigen retrieval was mediated by high pressure in a citrate buffer (pH 6.0). Section was blocked with 10% normal goat serum 30min at RT. Then primary antibody (1% BSA) was incubated at 4°C overnight. The primary is detected by a biotinylated secondary antibody and visualized using an HRP conjugated SP system.
-
Immunofluorescence staining of A549 cells with CSB-PA012058LA01HU at 1:100, counter-stained with DAPI. The cells were fixed in 4% formaldehyde, permeabilized using 0.2% Triton X-100 and blocked in 10% normal Goat Serum. The cells were then incubated with the antibody overnight at 4°C. The secondary antibody was Alexa Fluor 488-congugated AffiniPure Goat Anti-Rabbit IgG(H+L).
-
-
其他:
產品詳情
-
產品名稱:Rabbit anti-Homo sapiens (Human) KCNJ5 Polyclonal antibody
-
Uniprot No.:
-
基因名:
-
別名:KCNJ5; GIRK4; G protein-activated inward rectifier potassium channel 4; GIRK-4; Cardiac inward rectifier; CIR; Heart KATP channel; Inward rectifier K(+ channel Kir3.4; IRK-4; KATP-1; Potassium channel, inwardly rectifying subfamily J member 5
-
宿主:Rabbit
-
反應種屬:Human, Mouse
-
免疫原:Recombinant Human G protein-activated inward rectifier potassium channel 4 protein (348-419AA)
-
免疫原種屬:Homo sapiens (Human)
-
標記方式:Non-conjugated
本頁面中的產品,KCNJ5 Antibody (CSB-PA012058LA01HU),的標記方式是Non-conjugated。對于KCNJ5 Antibody,我們還提供其他標記。見下表:
-
克隆類型:Polyclonal
-
抗體亞型:IgG
-
純化方式:>95%, Protein G purified
-
濃度:It differs from different batches. Please contact us to confirm it.
-
保存緩沖液:Preservative: 0.03% Proclin 300
Constituents: 50% Glycerol, 0.01M PBS, pH 7.4 -
產品提供形式:Liquid
-
應用范圍:ELISA, WB, IHC, IF
-
推薦稀釋比:
Application Recommended Dilution WB 1:500-1:5000 IHC 1:200-1:500 IF 1:50-1:200 -
Protocols:
-
儲存條件:Upon receipt, store at -20°C or -80°C. Avoid repeated freeze.
-
貨期:Basically, we can dispatch the products out in 1-3 working days after receiving your orders. Delivery time maybe differs from different purchasing way or location, please kindly consult your local distributors for specific delivery time.
-
用途:For Research Use Only. Not for use in diagnostic or therapeutic procedures.
相關產品
靶點詳情
-
功能:This potassium channel is controlled by G proteins. Inward rectifier potassium channels are characterized by a greater tendency to allow potassium to flow into the cell rather than out of it. Their voltage dependence is regulated by the concentration of extracellular potassium; as external potassium is raised, the voltage range of the channel opening shifts to more positive voltages. The inward rectification is mainly due to the blockage of outward current by internal magnesium. Can be blocked by external barium.
-
基因功能參考文獻:
- Macrolides for KCNJ5-mutated aldosterone-producing adenoma (MAPA): design of a study for personalized diagnosis of primary aldosteronism. PMID: 29409357
- Recurrent KCNJ5 mutations have subsequently been demonstrated in large series of Aldosterone-producing Adenomas worldwide. PMID: 27864865
- germline mutations cause familial hyperaldosteronism type III [revew] PMID: 28447626
- DNA hypomethylation and gene expression changes in Wnt signaling and inflammatory response pathways were characteristic of APAs with KCNJ5 mutations. PMID: 28747387
- rs2604204 polymorphism related to increased plasma aldosterone level, but also plasma renin, angiotensin I and II levels in newly diagnosed, never-treated hypertension patients PMID: 28102195
- our results provide evidence that during 12 months of follow-up of APA patients after adrenalectomy, KCNJ5 mutational status was not associated with the improvement of arterial stiffness. Clinically, patients who are younger tend to have an advantage in being cured of hypertension after adrenalectomy. PMID: 28415786
- An aldosterone-driving KCNJ5 mutation was detected in juvenile primary aldosteronism, but not in the histologically normal cortex. PMID: 27514282
- By proving the principle that the oversecretion of aldosterone can be specifically blunted in APA cells ex vivo with G151R and L168R mutations, these results provide compelling evidence of the possibility of specifically correcting aldosterone excess in patients with APA carrying the 2 most common KCNJ5 somatic mutations. PMID: 28993452
- KCNJ5(T158A)increases CYP11B2 expression and production of aldosterone, corticosterone and hybrid steroids by upregulating both acute and chronic regulatory events in aldosterone production, and verapamil blocks KCNJ5(T158A)-mediated pathways leading to aldosterone production. PMID: 27099398
- These findings expand on the clinical spectrum of phenotypes associated with KCNJ5 mutations and implicate these mutations in the pathogenesis of hypertension associated with increased aldosterone response to ACTH stimulation. PMID: 27293068
- KCNJ5 mutations predominate in large zona fasciculata (ZF)-like Aldosterone-producing Adenomas. PMID: 28584012
- Mutations in KCNJ5 cause the excessive autonomous aldosterone secretion of Aldosterone-producing Adenomas. PMID: 28584016
- KCNJ5 genetic mutation plays a role in the development of primary aldosteronism in aldosterone producing adenomas. PMID: 27777363
- Study provides new evidence, indicating that some glutamate receptor ionotropic kainate 4 variants modulate the response to electroconvulsive therapy in patients with depression resistant to treatment, suggesting a role for kainate receptor modulation. PMID: 27222927
- documented for the first time the expression of inflammation-related genes in aldosterone-producing adenomas (APAs) and the correlation of their expression levels with the KCNJ5 mutation status and mRNA expression levels of steroidogenic enzymes, indicating the pathophysiological relevance of inflammation-related genes in APAs PMID: 27282482
- japanese Aldosterone-Producing Adenoma patients may have distinct features including a higher prevalence of KCNJ5 mutations, no gender difference in the frequency of these mutations, and characteristics similar to the zona glomerulosa. PMID: 27681703
- Novel somatic KCNJ5 variants likely cause adenomas by loss of potassium selectivity, similar to previously described mutations. PMID: 26252618
- KCNJ5 mutations in aldosterone-producing adenomas are more frequent in women; however, this gender dimorphism is a reported phenomenon of Western but not East Asian populations (review). PMID: 26566104
- The present study demonstrated the high prevalence of somatic KCNJ5 mutations in Korean patients with aldosterone-secreting adenoma. Carriers of somatic KCNJ5 mutations were more likely to be female. PMID: 26807823
- This study confirms the frequency of somatic KCNJ5 mutations in aldosterone production by adenomas. PMID: 26340408
- In aldosterone-producing cells of an in vitro model of hyperaldosteronism GIRK4 does not form functional channels. PMID: 25998841
- Serum adiponectin level was an independent predictor of early atherosclerosis in smokers. Nicotine might decrease adiponectin in part through altering KATP channels in adipocytes. PMID: 26059367
- Different mutations (KCNJ5, ATP1A1, ATP2B3, and CACNA1D) are found in different aldosterone-producing nodules from the same adrenal, suggesting that somatic mutations are independent events triggered by mechanisms that remain to be identified. PMID: 26351028
- GIRK4 immunohistochemistry might be used for initial screening of the somatic mutation status of aldosterone producing adenoma. PMID: 25617716
- Findings in a large Australian cohort show that patients with mutations in KCNJ5 present earlier with the signs and symptoms of primary hyperaldosteronism and benefit from surgical intervention. PMID: 24274318
- KCNJ5 gene mutations are associated with aldosterone-producing adenomas. PMID: 25253161
- Meta-analysis showed that more pronounced hyperaldosteronism, young age, female gender, and larger tumors are the phenotypic features of APA patients with KCNJ5 mutations.[meta-analysis; review] PMID: 26066531
- Besides Na(+)-leak mutations, novel KCNJ5 mutations causing a reduction of surface and total abundance of Kir3.4 are also associated with sporadic aldosterone-producing adenoma. PMID: 25347571
- KCNJ5-mutated patients benefit more from surgical resection of ALDOSTERONE-PRODUCING ADENOMA than nonmutated patients PMID: 25906099
- Missense mutations of KCNJ5 gene may be associated with unilateral adrenal hyperplasia (UAH). PMID: 25636093
- Compared to wild-type aldosterone-producing adenoma patients, those with KCNJ5 mutations showed more prominent cardiovascular damage. PMID: 24759126
- Diverse clinical severity in FH-III cannot be defined solely by KCNJ5 genotype. PMID: 24819081
- Biased transmission of the same haplotypes for TS and ADHD was identified in independent samples, supporting this gene as a possible susceptibility locus for both disorders. PMID: 24840790
- A novel KCNJ5 channelopathy located after the pore alpha-helix preceding the selectivity filter causes constitutive secretion of aldosterone with ensuing resistant hypertension in a patient with a small adenoma. PMID: 25057880
- Patients with aldosterone-producing adenomas that had KCNJ5 mutations were more frequently female, diagnosed younger, and with higher minimal plasma potassium concentrations compared with CACNA1D mutation carriers or noncarriers. PMID: 24866132
- Somatic mutations found in KCNJ5, ATP1A1, and ATP2B3 appear to be the driving forces for a higher aldosterone production and proliferations of glomerulosa cells. PMID: 24179102
- heterogeneously expressed across human ventricular wall PMID: 24148898
- Kir3.4 potassium channel is expressed in the zona glomerulosa cell membrane and regulates aldosterone biosynthesis[review]. PMID: 23829355
- data suggest that QTpeak intervals and T-wave morphology combination score may be the better parameters than the corrected QT interval to predict the phenotype-genotype relationship in patients with type 13 long QT syndrome with mutation in KCNJ5. PMID: 23872692
- Rs3740835(C/A) polymorphism may be associated with unilateral primary aldosteronism(PA) not with bilateral PA. PMID: 24711039
- Germline variation in the KCNJ5 gene has a role to play in the common sporadic form as well as the much rarer syndromic forms of primary aldosteronism. PMID: 24420545
- KCNJ5 is a second gene causing Andersen-Tawil syndrome: the inhibitory effects of mutant Kir3.4 on inwardly rectifying potassium channels may account for the clinical presentation in both skeletal and heart muscles. PMID: 24574546
- Overexpression of mutant KCNJ5 in adrenocortical NCI-H295R cells increased intracellular Ca2+ at resting conditions and impaired Ca2+ export by Na+/Ca2+ exchangers. PMID: 24506072
- KCNJ5 mutations are present in aldosterone producing adenomas that result in an increase in CYP11B2 gene expression and may account for the dysregulated aldosterone production in a subset of patients with sporadic primary aldosteronism. PMID: 24082052
- The rs11221497 SNP of the GIRK4 gene is associated with essential hypertension. PMID: 24510572
- KCNJ5 mutations are associated with better surgical outcome in patients diagnosed with adrenal gland neoplasms. PMID: 23778974
- We describe a new germline mutation in KCNJ5 responsible for familial hyperaldosteronism-III. PMID: 24037882
- KCNJ5 mutations are not correlated with adrenal cortex remodeling in aldosterone producing adenoma PMID: 23376008
- The genetic variant rs2604204 of KCNJ5 is associated with sporadic PA in Chinese males, suggesting that KCNJ5 may be involved in the pathogenesis of sporadic PA in these particular patients PMID: 23382865
- new insight into the pathogenesis of aldosterone-producing adenomas (APAs) and inherited primary aldosteronism; the role of mutations in the potassium channel KCNJ5 in these disorders (Review) PMID: 23318698
顯示更多
收起更多
-
相關疾病:Long QT syndrome 13 (LQT13); Hyperaldosteronism, familial, 3 (HALD3)
-
亞細胞定位:Membrane; Multi-pass membrane protein.
-
蛋白家族:Inward rectifier-type potassium channel (TC 1.A.2.1) family, KCNJ5 subfamily
-
組織特異性:Islets, exocrine pancreas and heart. Expressed in the adrenal cortex, particularly the zona glomerulosa.
-
數據庫鏈接:
Most popular with customers
-
-
YWHAB Recombinant Monoclonal Antibody
Applications: ELISA, WB, IHC, IF, FC
Species Reactivity: Human, Mouse, Rat
-
Phospho-YAP1 (S127) Recombinant Monoclonal Antibody
Applications: ELISA, WB, IHC
Species Reactivity: Human
-
-
-
-
-















