MUC7 Antibody
- 
								中文名稱:MUC7兔多克隆抗體
- 
								貨號:CSB-PA780399
- 
								規格:¥1100
- 
								圖片:- 
														
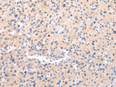
														The image on the left is immunohistochemistry of paraffin-embedded Human liver cancer tissue using CSB-PA780399(MUC7 Antibody) at dilution 1/20, on the right is treated with synthetic peptide. (Original magnification: ×200)
- 
														
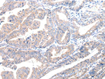
														The image on the left is immunohistochemistry of paraffin-embedded Human esophagus cancer tissue using CSB-PA780399(MUC7 Antibody) at dilution 1/20, on the right is treated with synthetic peptide. (Original magnification: ×200)
 
- 
														
														
- 
								其他:
產品詳情
- 
											Uniprot No.:
- 
											基因名:MUC7
- 
											宿主:Rabbit
- 
											反應種屬:Human
- 
											免疫原:Synthetic peptide of Human MUC7
- 
											免疫原種屬:Homo sapiens (Human)
- 
											標記方式:Non-conjugated
- 
											抗體亞型:IgG
- 
											純化方式:Antigen affinity purification
- 
											濃度:It differs from different batches. Please contact us to confirm it.
- 
											保存緩沖液:-20°C, pH7.4 PBS, 0.05% NaN3, 40% Glycerol
- 
											產品提供形式:Liquid
- 
											應用范圍:ELISA,IHC
- 
											推薦稀釋比:Application Recommended Dilution ELISA 1:2000-1:5000 IHC 1:20-1:100 
- 
											Protocols:
- 
											儲存條件:Upon receipt, store at -20°C or -80°C. Avoid repeated freeze.
- 
											貨期:Basically, we can dispatch the products out in 1-3 working days after receiving your orders. Delivery time maybe differs from different purchasing way or location, please kindly consult your local distributors for specific delivery time.
- 
											用途:For Research Use Only. Not for use in diagnostic or therapeutic procedures.
相關產品
靶點詳情
- 
											功能:May function in a protective capacity by promoting the clearance of bacteria in the oral cavity and aiding in mastication, speech, and swallowing. Binds P.aeruginosa pili.
- 
											相關疾病:Asthma (ASTHMA)
- 
											亞細胞定位:Secreted.
- 
											組織特異性:Expressed in salivary gland tissues and only in those that contain mucous acinar cells (e.g. sublingual and submandibular glands) and not in salivary glands containing only serous acinar cells (e.g. parotid gland).
- 
											數據庫鏈接:
Most popular with customers
- 
                                            
- 
                                            YWHAB Recombinant Monoclonal Antibody Applications: ELISA, WB, IHC, IF, FC Species Reactivity: Human, Mouse, Rat 
- 
                                            Phospho-YAP1 (S127) Recombinant Monoclonal Antibody Applications: ELISA, WB, IHC Species Reactivity: Human 
- 
                                            
- 
                                            
- 
                                            
- 
                                            
- 
                                            
 
  
  
 














 
         
           
  
          
