MYOD1 Antibody
- 
								中文名稱:MYOD1兔多克隆抗體
- 
								貨號:CSB-PA106379
- 
								規格:¥1100
- 
								圖片:- 
														
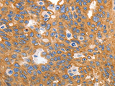
														The image on the left is immunohistochemistry of paraffin-embedded Human ovarian cancer tissue using CSB-PA106379(MYOD1 Antibody) at dilution 1/120, on the right is treated with synthetic peptide. (Original magnification: ×200)
- 
														
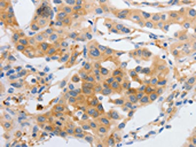
														The image on the left is immunohistochemistry of paraffin-embedded Human lung cancer tissue using CSB-PA106379(MYOD1 Antibody) at dilution 1/120, on the right is treated with synthetic peptide. (Original magnification: ×200)
 
- 
														
														
- 
								其他:
產品詳情
- 
											Uniprot No.:
- 
											基因名:MYOD1
- 
											別名:bHLHc1 antibody; Class C basic helix-loop-helix protein 1 antibody; MYF 3 antibody; Myf-3 antibody; MYF3 antibody; Myoblast determination protein 1 antibody; Myod 1 antibody; MYOD antibody; MYOD1 antibody; MYOD1_HUMAN antibody; Myogenic differentiation 1 antibody; Myogenic factor 3 antibody; Myogenic factor MYF 3 antibody; Myogenin D1 antibody; PUM antibody
- 
											宿主:Rabbit
- 
											反應種屬:Human,Mouse,Rat
- 
											免疫原:Synthetic peptide of Human MYOD1
- 
											免疫原種屬:Homo sapiens (Human)
- 
											標記方式:Non-conjugated
- 
											抗體亞型:IgG
- 
											純化方式:Antigen affinity purification
- 
											濃度:It differs from different batches. Please contact us to confirm it.
- 
											保存緩沖液:-20°C, pH7.4 PBS, 0.05% NaN3, 40% Glycerol
- 
											產品提供形式:Liquid
- 
											應用范圍:ELISA,IHC
- 
											推薦稀釋比:Application Recommended Dilution ELISA 1:2000-1:10000 IHC 1:100-1:300 
- 
											Protocols:
- 
											儲存條件:Upon receipt, store at -20°C or -80°C. Avoid repeated freeze.
- 
											貨期:Basically, we can dispatch the products out in 1-3 working days after receiving your orders. Delivery time maybe differs from different purchasing way or location, please kindly consult your local distributors for specific delivery time.
- 
											用途:For Research Use Only. Not for use in diagnostic or therapeutic procedures.
相關產品
靶點詳情
- 
											功能:Acts as a transcriptional activator that promotes transcription of muscle-specific target genes and plays a role in muscle differentiation. Together with MYF5 and MYOG, co-occupies muscle-specific gene promoter core region during myogenesis. Induces fibroblasts to differentiate into myoblasts. Interacts with and is inhibited by the twist protein. This interaction probably involves the basic domains of both proteins.
- 
											基因功能參考文獻:- We address this paradox using basic helix-loop-helix (bHLH) transcription factors ASCL1, ASCL2, and MYOD1, crucial mediators of lineage specification..Although the ASCL factors and MYOD1 have some distinct DNA motif preference, it is not sufficient to explain the extent of the differential binding. All three factors can bind inaccessible chromatin and induce changes in chromatin accessibility and H3K27ac PMID: 29500235
- ACL regulates the net amount of acetyl groups available, leading to alterations in acetylation of H3(K9/14) and H3(K27) at the MYOD locus, thus increasing MYOD expression. PMID: 29241530
- we found that MYOD transcription factor can upregulate miR-223 expression by binding to an E-box region of the gga-miR-223 gene promoter during avian myoblast differentiation. IGF2 and ZEB1 are two target genes of miR-223 PMID: 28981085
- A high extent more than 25% of BRAF(V600E) alleles may be associated with disease outcome in PTC patients. PMID: 27688110
- we present the first report of MYOD1 (L122R) mutation in the largest cohort of 49 rhabdomyosarcomas reported so far, that are associated with a relatively aggressive clinical course PMID: 27562493
- Cell transdifferentiation of primary skin fibroblasts by forced expression of myogenic transcription factor MyoD was performed by quantitative analyses of gene expression and chromatin accessibility profiles. PMID: 28977539
- Analysis of the chromatin status of Cdkn1c promoter and KvDMR1 in unresponsive compared to responsive cell types showed that their differential responsiveness to the MyoD-dependent induction of the gene does not involve just their methylation status but, rather, the differential H3 lysine 9 dimethylation at KvDMR1. PMID: 27611768
- Data show that MeCP2 promotes gastric cancer (GC) cell proliferation via FOXF1-mediated Wnt5a/beta-Catenin signaling pathway, and suppresses GC cell apoptosis through MYOD1-mediated Caspase-3 signaling pathway. PMID: 28131747
- Our results on Pax7 and MyoD protein expression suggest that proliferation and differentiation of skeletal muscle stem cells are affected in ALS patients, and the myogenic processes cannot overcome the denervation-induced wasting. PMID: 27195289
- The molecular pathogenesis of radiotherapy-induced muscle fibrosis involves the TGF-beta1 pathway and its repression of MyoD expression. Our results suggest a correlation between traditional swallow therapy /neuromuscular electrical stimulation combined therapy and the restoration of TGF-beta1/MyoD homeostasis in cervical muscles. PMID: 27144672
- Unmethylated MYOD1 gene is associated with chemoradiation resistance in Invasive Cervical Carcinoma. PMID: 26344356
- We provide the first description of a human phenotype that appears to result from MYOD1 mutation. The presentation with Lethal fetal akinesia deformation sequence is consistent with a large body of data demonstrating that in the mouse, MyoD is a major controller of precursor cell commitment to the myogenic differentiation programme PMID: 26733463
- these results suggest that sarcoma metastasis can be partially controlled through Pax7/MyoD-dependent activation of miR-182 and provide insight into the role that myogenic transcription factors have in sarcoma progression PMID: 26234681
- The mechanism of bakuchiol-induced myogenesis is described. PMID: 26902638
- These observations demonstrated the first time that Wnt3a can directly activate MyoD expression through targeting cis-elements in the DE and the L fragment. PMID: 25651906
- Studies indicate that MyoD occupies multiple promoters that induce the transcription of genes vital for establishing the myogenic fate and is also implicated as a mediator of many chromatin modifying enzymes for their recruitment to myogenic enhancers. PMID: 24905980
- MUNC is not a classic cis-acting enhancer RNA (e-RNA) acting exclusively by stimulating the neighboring MyoD gene PMID: 25403490
- MyoD acts to promote SC proliferation and transition of cells into differentiation, while myogenin is known to drive terminal differentiation PMID: 25108351
- A recurring point mutation in MYOD1 is found in 10% of embryonal rhabdomyosarcomas with distinct clinical features and poor prognosis. PMID: 25002625
- Spindle cell and sclerosing rhabdomyosarcoma show recurrent MYOD1 mutations, in keeping with a single pathologic entity, regardless of age at presentation. PMID: 24824843
- MyoD was required for the induction of FGF21 gene transcription by mitochondrial dysfunction. PMID: 25055037
- analysis of a mutation in MYOD1 that may have a role in progression of embryonal rhabdomyosarcoma and may be associated with mutations altering PI3K-AKT pathway components PMID: 24793135
- MYOD1 homozygous mutations are frequent, recurrent and pathognomonic events in adult-type spindle cell Rhabdomyosarcoma PMID: 24272621
- Although expression of MyoD in a proliferating tumor is insufficient to prevent tumor progression, its expression in the cerebellum hinders medulloblastoma genesis. PMID: 24092238
- Direct reprogramming of fibroblasts to myocytes via bacterial injection of MyoD protein. PMID: 23438194
- MYOD1-transduced amnion-derived cells are capable of the dystrophin expression necessary for myogenic differentiation. PMID: 22727434
- CRABP2 promotes myoblast differentiation and is modulated by the transcription factors MyoD and Sp1 in C2C12 cells. PMID: 23383201
- SREBP-1 regulate muscle protein synthesis through the downregulation of the expression of MYOD1, MYOG and MEF2C factors. PMID: 23226416
- Using both primary human muscle cells and RD rhabdomyosarcoma cells, the study shows that MyoD binds in a similar genome-wide pattern in both tumor and normal cells but binds poorly at a subset of myogenic genes that fail to activate in the tumor cells. PMID: 23230269
- Promoter gene hypermethylation of the MYOD-1 gene increases significantly with age in normal individuals and thus may offer potential as a putative biomarker for colorectal cancer. PMID: 22591756
- Human squamous cell carcinomas and malignant melanomas contain significantly more Myo/Nog cells than basal cell carcinomas. PMID: 22621191
- results suggest that MyoD and TIP120B potentiate each other at gene expression and post-translation levels, respectively, which may promote myogenesis cooperatively PMID: 22613845
- the involvement of HUWE1 in the ubiquitination and proteasomal degradation of MyoD was described. PMID: 22277673
- BAF60c-MyoD complex directs recruitment of SWI/SNF to muscle loci in response to differentiation cues. PMID: 22068056
- Data demonstrate radical acceleration of iPSC creation with a fusion gene between Oct4 and the powerful transactivation domain (TAD) of MyoD. PMID: 21732495
- Using MYOD1, study shows that an nucleosome-depleted region at the minimal enhancer region allows reprogramming to be initiated, which occurs in response to signals such as the forced expression of Myod1 in fibroblasts. PMID: 22153073
- The myofibroblasts demonstrate the capacity for de-differentiation and proliferation by modulation of endogenous levels of MyoD. PMID: 21440539
- MyoD can play an active role in Alveolar rhabdomyosarcoma (ARMS)by augmenting Pax7-FKHR function. PMID: 21321994
- Increases in MYOD indicate that 1 week of conventional resistance exercise may increase myogenic activity, including satellite cell proliferation and differentiation, respectively, in younger men. PMID: 21326383
- Mef2d, Six4, and p38alpha MAPK function coordinately as regulators of a master regulator to mediate expression of MyoD target genes. PMID: 20716948
- Knockdown of MyoD and PEA3 attenuated MDR1 expression and increased the sensitivity of multidrug resistant cancer cells to cytotoxic drugs that were transported by P-gp in SGC7901/VCR cells. PMID: 20980337
- Transgenic Pax7 and MyoD are not essential for myogenic differentiation and participation of bone marrow-derived myogenic progenitors in muscle regeneration. PMID: 20333749
- calpain 3 participates in the establishment of the pool of reserve cells by decreasing the transcriptional activity of the key myogenic regulator MyoD via proteolysis independently of the ubiquitin-proteasome degradation pathway. PMID: 20139084
- MYOD1 hypermethylation plays an important role in colorectal cancer and may be a novel prognostic factor. PMID: 14767572
- MyoD modulates the rate of Id1 degradation and suggest a dynamic interplay of these factors PMID: 15163661
- Hypermethylation of MYOD1 is statistically significantly associated with poor disease outcome in cervical cancer. PMID: 15251938
- degradation is modulated by E12 and E47 PMID: 16007194
- This review highlights studies of molecular mechanisms by which the muscle-specific myogenic basic helix-loop-helix protein MyoD interacts with other regulatory factors to coordinate gene expression in a controlled and ordered manner. PMID: 16099183
- The expression of MyoD1 was more sensitive but less specific in patients with rhabdomyosarcoma. PMID: 16435141
- The results establish that cdk9/cyclin T2a-mediated coactivation of MyoD depends on serine 37 phosphorylation. PMID: 16841087
 顯示更多 收起更多 
- 
											亞細胞定位:Nucleus.
- 
											數據庫鏈接:
Most popular with customers
- 
                                            YWHAB Recombinant Monoclonal Antibody Applications: ELISA, WB, IHC, IF, FC Species Reactivity: Human, Mouse, Rat 
- 
                                            Phospho-YAP1 (S127) Recombinant Monoclonal Antibody Applications: ELISA, WB, IHC Species Reactivity: Human 
- 
                                            
- 
                                            
- 
                                            
- 
                                            
- 
                                            
- 
                                            
 
  
  
 














 
         
           
  
          
