Phospho-EIF4E (Ser209) Antibody
- 
								中文名稱:磷酸化-EIF4E (Ser209)兔多克隆抗體
- 
								貨號:CSB-PA935753
- 
								規格:¥2454
- 
								圖片:- 
														
														Western blot analysis of extracts from SK-BR-3 cells, untreated or insulin and EGF treated, and pretreated with U0126 cells, using eIF4E (Phospho-Ser209) Antibody.
- 
														
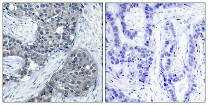
														Immunohistochemical analysis of paraffin-embedded human breast carcinoma tissue using eIF4E(Phospho-Ser209) Antibody(left) or the same antibody preincubated with blocking peptide(right).
- 
														
														Immunofluorescence staining of methanol-fixed MCF cells using eIF4E(Phospho-Ser209) Antibody.
 
- 
														
														
- 
								其他:
產品詳情
- 
											產品名稱:Rabbit anti-Homo sapiens (Human) EIF4E Polyclonal antibody
- 
											Uniprot No.:
- 
											基因名:
- 
											宿主:Rabbit
- 
											反應種屬:Human,Mouse,Rat
- 
											免疫原:Peptide sequence around phosphorylation site of serine 209 (S-G-S(p)-T-T) derived from Human eIF4E.
- 
											免疫原種屬:Homo sapiens (Human)
- 
											克隆類型:Polyclonal
- 
											純化方式:Antibodies were produced by immunizing rabbits with synthetic phosphopeptide and KLH conjugates. Antibodies were purified by affinity-chromatography using epitope-specific phosphopeptide. Non-phospho specific antibodies were removed by chromatogramphy usi
- 
											濃度:It differs from different batches. Please contact us to confirm it.
- 
											產品提供形式:Liquid
- 
											應用范圍:ELISA,WB,IHC,IF
- 
											推薦稀釋比:Application Recommended Dilution WB 1:500-1:1000 IHC 1:50-1:100 IF 1:100-1:200 
- 
											Protocols:
- 
											儲存條件:Upon receipt, store at -20°C or -80°C. Avoid repeated freeze.
- 
											貨期:Basically, we can dispatch the products out in 1-3 working days after receiving your orders. Delivery time maybe differs from different purchasing way or location, please kindly consult your local distributors for specific delivery time.
- 
											用途:For Research Use Only. Not for use in diagnostic or therapeutic procedures.
相關產品
靶點詳情
- 
											功能:Recognizes and binds the 7-methylguanosine-containing mRNA cap during an early step in the initiation of protein synthesis and facilitates ribosome binding by inducing the unwinding of the mRNAs secondary structures. In addition to its role in translation initiation, also acts as a regulator of translation and stability in the cytoplasm. Component of the CYFIP1-EIF4E-FMR1 complex which binds to the mRNA cap and mediates translational repression: in the complex, EIF4E mediates the binding to the mRNA cap. Component of a multiprotein complex that sequesters and represses translation of proneurogenic factors during neurogenesis. In P-bodies, component of a complex that mediates the storage of translationally inactive mRNAs in the cytoplasm and prevents their degradation. May play an important role in spermatogenesis through translational regulation of stage-specific mRNAs during germ cell development.
- 
											基因功能參考文獻:- Mechanisms of translation initiation control via the eIF4E hub are pertinent to deregulated lymphoblastic activity. [review] PMID: 29527921
- High EIF4F expression is associated with malignant glioma. PMID: 30066885
- Our study...suggests that methylation of cg11037477 and expression of EIF4E may act as prognostic markers in gastric cancer PMID: 29342273
- Lack of regulation of the interaction between the eIF4E/eIF4G subunits of the translation initiation factor complex eIF4F is a hallmark of cancer. The inhibitor 4EGI-1 binds to eIF4E, thereby preventing association with eIF4G through an allosteric mechanism. Binding of 4EGI-1 perturbs native correlated motions and increases correlated fluctuations in part of the eIF4G binding site. PMID: 27162083
- The findings suggest that AEG-1 promotes gastric cancer metastasis through upregulation of eIF4E-mediated MMP-9 and Twist. PMID: 28661037
- The authors show that the eukaryotic translation initiation factor eIF4E, an oncoprotein, drives hyaluronan biosynthesis. eIF4E stimulates production of enzymes that synthesize the building blocks of hyaluronan, UDP-Glucuronic acid and UDP-N-Acetyl-Glucosamine, as well as hyaluronic acid synthase which forms the disaccharide chain. PMID: 29111978
- The present study indicated that miR-15a downregulation was associated with cell proliferation and invasion by directly targeting eIF4E during RCC progression. PMID: 28849086
- High expressions of eIF-4E are associated with advanced stage and poor prognosis. PMID: 28242042
- Our results indicate that AURKA plays an important role in the activation of EIF4E and cap-dependent translation. Targeting the AURKA-EIF4E-c-MYC axis using alisertib is a novel therapeutic strategy that can be applicable for everolimus-resistant tumors and/or subgroups of cancers that show overexpression of AURKA and activation of EIF4E and c-MYC PMID: 28073841
- Treatment with 240 mg/l matrine reduced the protein expression levels of PCNA and eIF4E. Matrine also reduced the migration ability of A549 cells and inhibited their proliferation, which may be associated with the overexpression of p53 and p21, and the reduction of PCNA and eIF4E expression levels. PMID: 28447756
- eIF4E and MMP9 expression in endometrial cancer specimens suggests their potential up-regulation during carcinogenesis. PMID: 29254314
- eIF4E promoted cholangiocarcinoma cell metastasis by up-regulating the expression of VEGF-C, MMP-2 and suppressing E-cadherin expression. PMID: 27907907
- Translational initiation pathway inhibition could be of clinical utility in male breast cancer patients overexpressing eIF4E and eIF5. With mTOR inhibitors that target this pathway now in the clinic, these biomarkers may represent new targets for therapeutic intervention, although further independent validation is required PMID: 27986751
- Data show association of eIF4E expression with chemotherapeutic response in esophageal squamous cell carcinoma (ESCC), and suggest that therapeutically targeting eIF4E may be a viable means of improving chemotherapy response in ESCC. PMID: 27588477
- We performed bioinformatics analyses of ESTs and the 3'UTRs of the main transcript splice variants of the translational initiation factor eIF4E1 and its family members, eIF4E2 and eIF4E3. We propose to elucidate the minor splice variants of eIF4E2 and eIF4E3 in great detail because they might produce proteins with modified features that fulfill different cellular roles from their major counterparts. PMID: 28942592
- EIF4E associated signaling pathways are associated with lymphangiogenesis and lymph node metastases of hypopharyngeal cancer. PMID: 29374693
- The authors show that LARP1 directly binds the cap and adjacent 5'TOP motif of TOP mRNAs, effectively impeding access of eIF4E to the cap and preventing eIF4F assembly. Thus, LARP1 is a specialized TOP mRNA cap-binding protein that controls ribosome biogenesis. PMID: 28379136
- Mitogen-activated protein kinase interacting protein kinases (Mnks) control translation by phosphorylation of eIF4E, whereas the mTOR kinase phosphorylates/de-activates the eIF4E inhibitor, 4E-BP1, to release translational repression. PMID: 27094611
- Elevated levels of p-Mnk1, p-eIF4E and p-p70S6K proteins are associated with tumor recurrence and poor prognosis in astrocytomas. Overexpression of p-eIF4E and co-expression of p-Mnk1, p-eIF4E and p-p70S6K proteins could be used as novel independent poor prognostic biomarkers for patients with astrocytomas. PMID: 27900644
- PRMT1 inhibition prevents gastric cancer progression by downregulating eIF4E and targeting type II PRMT5. PMID: 28987382
- MNK-1 controls chemokine secretion and proliferation in human airway smooth muscle cells. PMID: 27418099
- Data indicate that combinations of androgen receptor (AR) and mechanistic target of rapamycin (mTOR) inhibitors were effective in suppressing tumor growth including bicalutamide increased eukaryotic initiation factor 4E (eIF4E) phosphorylation. PMID: 28745319
- cell signaling pathways are activated in DIAs; peIF4E is an independent prognostic factor and a promising therapeutic target. PMID: 27440383
- Study identified and established the presence of an evolutionarily conserved water-bridge structural module which is an integral component of the recognition of the 5' mRNA cap by eIF4E during the process of translation initiation. PMID: 27916520
- Here, the authors identify the domains responsible for the eIF4E/human rhinovirus 2 2A(pro) interaction using molecular modelling and describe mutations that impair this interaction and delay in vitro cleavage of eIF4G isoforms. PMID: 28843814
- Results suggest that IGF2BP3 promotes eIF4E-mediated translational activation through the reduction of EIF4E-BP2 via mRNA degradation, leading to enhanced cell proliferation. PMID: 26522719
- There were significantly higher expressions of p-eIF4E and p-4EBP-1 proteins in the cases with lymph node metastasis than in those without lymph node metastasis. PMID: 28395726
- Our studies provide the first biochemical framework for the eIF4E-dependent mRNA export pathway. PMID: 28325843
- Human endogenous eIF4E1 and eIF4E2 behave under stresses similarly as their GFP-tagged counterparts. PMID: 27578149
- High EIF4E expression is associated with malignant peripheral nerve sheath tumors and vestibular schwannomas. PMID: 26951381
- The structures of eIF4E-eIF4G complexes reveal an extended interface to regulate translation initiation. PMID: 27773676
- 4E-BP1 has tumor suppressor activity by inhibiting eIF4E and, thus, blocking mRNA translation and proliferation. This is corroborated by elevated levels of phosphorylated and hence inactive 4E-BP1, which are detected in various cancers PMID: 26829052
- The studies suggest that MNK-eiF4E axis controls the translation of specific mRNAs in cancer metastasis and neuronal synaptic plasticity by a novel mechanism involving the regulation of the translational repressor, CYFIP1. (Review) PMID: 27527252
- Alternative eIF4F complexes taking part in protein biosynthesis have been described. (Review) PMID: 27283511
- Data show that galeterone (gal) and VNPT55 inhibit migration and invasion of prostate cancer cells, possibly by down-regulating protein expression via antagonizing the Mnk1/2-eIF4E axis. PMID: 27618366
- Findings suggest that miR-455-3p functions as a tumor suppressor by directly targeting eIF4E in prostate carcinogenesis. PMID: 28350134
- Data show that targeting translation initiation (TI) factors eIF4E/eIF4GI reduces migration and epithelial-to-mesenchymal transition (EMT), both essential for metastasis, thereby underscoring the potential of TI targeting in non-small cell lung cancer (NSCLC) therapy. PMID: 27501049
- p4E-BP1 may identify male breast cancers potentially suitable for therapies directed at the upstream kinase, mTOR PMID: 27280636
- eIF4E and mTOR depletion significantly enhances the anti-proliferative and pro-apoptotic effects of paclitaxel, demonstrating the critical role of eIF4E in oral tongue squamous cell carcinoma cell response to paclitaxel PMID: 27932243
- data suggest a physiological role for MNK1a-Ser(353) phosphorylation in regulation of the MNK1a kinase, which correlates with increased eIF4E phosphorylation in vitro and in vivo. PMID: 27413184
- eIF4E may play an important role in the development and metastasis of hypopharyngeal carcinoma; its expression may be helpful in establishing the diagnosis, stage and prognosis of this tumour type. PMID: 24840750
- First study showing the induction of miR-141/EIF4E expression in an acquired model of docetaxel chemoresistant patients with non-small cell lung cancer. PMID: 27840955
- miR503 may increase sensitivity to therapies at least partially through targeting EIF4E suppression of Hepatocellular carcinoma proliferation. PMID: 27840964
- suggests that selective inhibition of translation of YB-1 mRNA, and probably some other mRNAs as well, by mTOR kinase inhibitors is not mediated by the action of the 4E-binding protein upon functions of the 4F-group translation initiation factors PMID: 26931209
- eIF4E protein might result in the malignant progression of hepatocellular carcinoma, and its overexpression may be a powerful prognostic biomarker. PMID: 27601163
- HSP27 was found to be regulator of translation initiation and STAT3 level. Therefore, it suggests that HSP27 is a key protein during placental development and trophoblast cell differentiation. PMID: 27714564
- Cercosporamide acts as a Mnk inhibitor to block eIF4E phosphorylation and selectively suppresses angiogenesis, growth and survival of human hepatocellular. PMID: 27662474
- Our studies also suggest that nuclear entry is important for the prooncogenic activity of eIF4E, at least in this context. These findings position nuclear trafficking of eIF4E as a critical step in its regulation and position the importin 8-eIF4E complex as a novel therapeutic target. PMID: 27114554
- Two distinct cap-dependent protein synthesis machineries select mRNAs for translation: the normoxic eIF4F and the hypoxic eIF4Fhigh. PMID: 26854219
- This study demonstrates that the activation of eIF4E gene is an essential component of the malignant phenotype in ovarian cancer PMID: 26498997
 顯示更多 收起更多 
- 
											相關疾病:Autism 19 (AUTS19)
- 
											亞細胞定位:Cytoplasm, P-body. Cytoplasm. Cytoplasm, Stress granule. Nucleus.
- 
											蛋白家族:Eukaryotic initiation factor 4E family
- 
											數據庫鏈接:
Most popular with customers
- 
                                            
- 
                                            YWHAB Recombinant Monoclonal Antibody Applications: ELISA, WB, IHC, IF, FC Species Reactivity: Human, Mouse, Rat 
- 
                                            Phospho-YAP1 (S127) Recombinant Monoclonal Antibody Applications: ELISA, WB, IHC Species Reactivity: Human 
- 
                                            
- 
                                            
- 
                                            
- 
                                            
- 
                                            
 
  
  
  
 














 
         
           
  
          
