SAMD4A Antibody
- 
								中文名稱:SAMD4A兔多克隆抗體
- 
								貨號:CSB-PA206663
- 
								規格:¥1100
- 
								圖片:- 
														
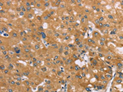
														The image on the left is immunohistochemistry of paraffin-embedded Human liver cancer tissue using CSB-PA206663(SAMD4A Antibody) at dilution 1/35, on the right is treated with synthetic peptide. (Original magnification: ×200)
- 
														
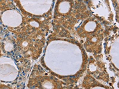
														The image on the left is immunohistochemistry of paraffin-embedded Human thyroid cancer tissue using CSB-PA206663(SAMD4A Antibody) at dilution 1/35, on the right is treated with synthetic peptide. (Original magnification: ×200)
 
- 
														
														
- 
								其他:
產品詳情
- 
											Uniprot No.:
- 
											基因名:SAMD4A
- 
											別名:SAMD4A antibody; KIAA1053 antibody; SAMD4 antibody; SMAUG1 antibody; Protein Smaug homolog 1 antibody; Smaug 1 antibody; hSmaug1 antibody; Sterile alpha motif domain-containing protein 4A antibody; SAM domain-containing protein 4A antibody
- 
											宿主:Rabbit
- 
											反應種屬:Human
- 
											免疫原:Synthetic peptide of Human SAMD4A
- 
											免疫原種屬:Homo sapiens (Human)
- 
											標記方式:Non-conjugated
- 
											抗體亞型:IgG
- 
											純化方式:Antigen affinity purification
- 
											濃度:It differs from different batches. Please contact us to confirm it.
- 
											保存緩沖液:-20°C, pH7.4 PBS, 0.05% NaN3, 40% Glycerol
- 
											產品提供形式:Liquid
- 
											應用范圍:ELISA,IHC
- 
											推薦稀釋比:Application Recommended Dilution ELISA 1:1000-1:2000 IHC 1:25-1:100 
- 
											Protocols:
- 
											儲存條件:Upon receipt, store at -20°C or -80°C. Avoid repeated freeze.
- 
											貨期:Basically, we can dispatch the products out in 1-3 working days after receiving your orders. Delivery time maybe differs from different purchasing way or location, please kindly consult your local distributors for specific delivery time.
- 
											用途:For Research Use Only. Not for use in diagnostic or therapeutic procedures.
相關產品
靶點詳情
- 
											功能:Acts as a translational repressor of SRE-containing messengers.
- 
											基因功能參考文獻:- The Smaug1 is expressed during synaptogenesis, and Smaug1 knockdown affected the number and size of synapses, and also provoked an impaired response to repetitive depolarizing stimuli, as indicated by a reduced induction of Arc/Arg3.1. PMID: 22201125
- Smaug 1 has a role in RNA granule formation and translation regulation in neurons PMID: 16221671
 
- 
											亞細胞定位:Cytoplasm. Cell projection, dendrite. Cell junction, synapse, synaptosome.
- 
											蛋白家族:SMAUG family
- 
											數據庫鏈接:
Most popular with customers
- 
                                            
- 
                                            YWHAB Recombinant Monoclonal Antibody Applications: ELISA, WB, IHC, IF, FC Species Reactivity: Human, Mouse, Rat 
- 
                                            
- 
                                            
- 
                                            
- 
                                            
- 
                                            
- 
                                            
 
  
  
 














 
         
           
  
          
