SPARCL1 Antibody
-
中文名稱:SPARCL1兔多克隆抗體
-
貨號:CSB-PA268589
-
規格:¥1100
-
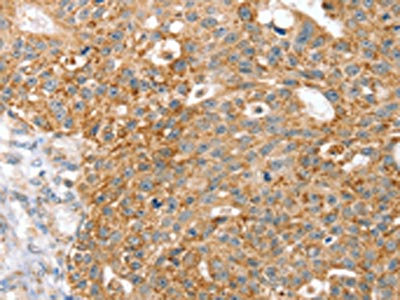
圖片:
-
The image on the left is immunohistochemistry of paraffin-embedded Human liver cancer tissue using CSB-PA268589(SPARCL1 Antibody) at dilution 1/25, on the right is treated with synthetic peptide. (Original magnification: ×200)
-
The image on the left is immunohistochemistry of paraffin-embedded Human breast cancer tissue using CSB-PA268589(SPARCL1 Antibody) at dilution 1/25, on the right is treated with synthetic peptide. (Original magnification: ×200)
-
-
其他:
產品詳情
-
Uniprot No.:
-
基因名:SPARCL1
-
別名:Ecm2 antibody; Extracellular matrix protein 2 antibody; Hevin antibody; High endothelial venule protein antibody; MAST 9 antibody; mast9 antibody; Matrix glycoprotein Sc1 antibody; PIG33 antibody; proliferation inducing protein 33 antibody; RAGS1 antigen antibody; SC1 antibody; SPARC like 1 antibody; SPARC-like protein 1 antibody; Sparcl1 antibody; SPRL1_HUMAN antibody
-
宿主:Rabbit
-
反應種屬:Human
-
免疫原:Synthetic peptide of Human SPARCL1
-
免疫原種屬:Homo sapiens (Human)
-
標記方式:Non-conjugated
-
抗體亞型:IgG
-
純化方式:Antigen affinity purification
-
濃度:It differs from different batches. Please contact us to confirm it.
-
保存緩沖液:-20°C, pH7.4 PBS, 0.05% NaN3, 40% Glycerol
-
產品提供形式:Liquid
-
應用范圍:ELISA,IHC
-
推薦稀釋比:
Application Recommended Dilution ELISA 1:2000-1:5000 IHC 1:25-1:100 -
Protocols:
-
儲存條件:Upon receipt, store at -20°C or -80°C. Avoid repeated freeze.
-
貨期:Basically, we can dispatch the products out in 1-3 working days after receiving your orders. Delivery time maybe differs from different purchasing way or location, please kindly consult your local distributors for specific delivery time.
-
用途:For Research Use Only. Not for use in diagnostic or therapeutic procedures.
相關產品
靶點詳情
-
基因功能參考文獻:
- SC1 levels were independently associated with ischemic stroke severity evaluated by the NIHSS. PMID: 29102542
- The results of this study suggest that the SPARCL1 accelerates Alzheimer's Disease pathogenesis and thus link neuroinflammation with widespread changes in brain structure and function during aging. PMID: 29154276
- The present study demonstrated that the expression of SPARCL1 was downregulated in renal cell carcinoma (RCC) cells and tissues, however, the overexpression of SPARCL1 inhibited RCC cell migration and invasion. PMID: 28944877
- This study demonstrated the SPARCL1-containing neurons in the human brainstem and sensory ganglion. PMID: 27357901
- tumor endothelial cells heterogeneity is regulated by SPARCL1, which promotes the cell quiescence and vessel homeostasis contributing to the favorable prognoses associated with Th1-tumor microenvironments colorectal carcinomas. PMID: 27721236
- SPARCL1 is involved in the tumorigenesis of hilar cholangiocarcinoma and may serve as a novel molecular biomarker for patients' outcome. PMID: 26490986
- Androgen-Regulated SPARCL1 in the Tumor Microenvironment Inhibits Metastatic Progression PMID: 26294211
- SPARCL1 expression did not inhibit tumor cell proliferation in vitro. By contrast, SPARCL1 did suppress tumor cell migration and invasiveness in vitro and tumor metastatic growth in vivo, conferring improved survival in xenograft mouse models PMID: 23916135
- radiotherapy causes an increase in SPARCL1 expression; SPARCL1 may have a role in survival in rectal cancer patients PMID: 24661672
- SPARCL1 functions as a tumor suppressor promoting differentiation possibly via MET, which inhibits the aggressiveness of colorectal cancers PMID: 22891198
- Sparc-like protein 1 expression correlates with glioma grade, suggesting the possible role for this protein in the progression of this malignancy. PMID: 22909274
- SPARCL1 is a potent regulator of cell migration/invasion and its loss is independently associated with prostate cancer recurrence. PMID: 22927397
- Data suggest that the expression of SPARCL1 protein might be a valuable biomarker for early diagnosis in colorectal cancers and further predicting patients' prognosis. PMID: 21887554
- Down-regulated SPARCL1 is associated with gastric cancer. PMID: 22161898
- Data suggest that SPARCL1, Shp2, MSH2, E-cadherin, p53, ADCY-2 and MAPK are potential prognostic markers in colorectal cancer. PMID: 21528083
- Overall, these results suggested that the C-t of hevin contains important determinants for interaction with myocilin. PMID: 16316624
- hevin can modulate the structure of dermal extracellular matrix, specifically by its regulation of decorin levels and collagen fibril assembly PMID: 16844696
- Despite proteomic studies in CSF from MS patients suggested an important role for SPARCL1 in the development of the disease, SPARCL1 gene does not appear to act as susceptibility factor for MS in the population investigated here. PMID: 17825989
- A transgenic mouse model in which SPARCL1 is expressed in radial glia provides a novel in vivo system for evaluating the role of SPARCL1 in brain development and function. PMID: 18381651
顯示更多
收起更多
-
亞細胞定位:Secreted, extracellular space, extracellular matrix.
-
蛋白家族:SPARC family
-
組織特異性:Highly expressed in lymph node, brain, heart, lung, skeletal muscle, ovary, small intestine, and colon, with lower levels in placenta, pancreas, testis, spleen, and thymus, and no expression in kidney, liver, and peripheral blood leukocytes.
-
數據庫鏈接:
Most popular with customers
-
-
YWHAB Recombinant Monoclonal Antibody
Applications: ELISA, WB, IHC, IF, FC
Species Reactivity: Human, Mouse, Rat
-
Phospho-YAP1 (S127) Recombinant Monoclonal Antibody
Applications: ELISA, WB, IHC
Species Reactivity: Human
-
-
-
-
-















