AK4 Recombinant Monoclonal Antibody
- 
								中文名稱:AK4 Recombinant Monoclonal Antibody
- 
								貨號:CSB-RA981900A0HU
- 
								規格:¥1320
- 
								圖片:- 
														
														Western Blot
 Positive WB detected in: Hela whole cell lysate(30μg), Jurkat whole cell lysate(30μg), HEK293 whole cell lysate(30μg), COLO205 whole cell lysate(30μg), 786-O whole cell lysate(30μg), Mouse liver tissue lysate(30μg)
 All lanes:Adenylate kinase 4 antibody at 1:1000
 Secondary
 Goat polyclonal to rabbit IgG at 1/40000 dilution
 Predicted band size: 25 kDa
 Observed band size: 26 kDa
 Exposure time:2min
- 
														
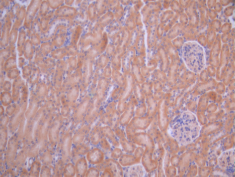
														IHC image of CSB-RA981900A0HU diluted at 1:100 and staining in paraffin-embedded mouse kidney tissue performed on a Leica BondTM system. After dewaxing and hydration, antigen retrieval was mediated by high pressure in a citrate buffer (pH 6.0). Section was blocked with 10% normal goat serum 30min at RT. Then primary antibody (1% BSA) was incubated at 4°C overnight. The primary is detected by a Goat anti-rabbit polymer IgG labeled by HRP and visualized using 0.05% DAB.
- 
														
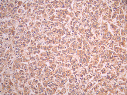
														IHC image of CSB-RA981900A0HU diluted at 1:100 and staining in paraffin-embedded human breast cancer performed on a Leica BondTM system. After dewaxing and hydration, antigen retrieval was mediated by high pressure in a citrate buffer (pH 6.0). Section was blocked with 10% normal goat serum 30min at RT. Then primary antibody (1% BSA) was incubated at 4°C overnight. The primary is detected by a Goat anti-rabbit polymer IgG labeled by HRP and visualized using 0.05% DAB.
- 
														
														Immunofluorescence staining of HepG2 cell with CSB-RA981900A0HU at 1:50 , counter-stained with DAPI. The cells were fixed in 4% formaldehyde, permeabilized using 0.2% Triton X-100 and blocked in 10% normal Goat Serum. The cells were then incubated with the antibody overnight at 4°C. The secondary antibody was Alexa Fluor 488-congugated AffiniPure Goat Anti-Rabbit IgG(H+L).
- 
														
														Overlay Peak curve showing 786-O cells stained with CSB-RA981900A0HU (red line) at 1:100. The cells were fixed in 4% formaldehyde and permeated by 0.2% TritonX-100 for?10min. Then 10% normal goat serum to block non-specific protein-protein interactions followed by the antibody (1ug/1*106cells) for 45min at 4℃. The secondary antibody used was FITC-conjugated goat anti-rabbit IgG (H+L) at 1/200 dilution for 35min at 4℃.Control antibody (green line) was Rabbit IgG (1ug/1*106cells) used under the same conditions. Acquisition of >10, 000 events was performed.
 
- 
														
														
- 
								其他:
產品詳情
- 
											Uniprot No.:
- 
											基因名:AK4
- 
											別名:AK 4;Adenylate kinase 3-like;GTP:AMP phosphotransferase AK4
- 
											反應種屬:Human, Mouse
- 
											免疫原:A synthesized peptide from human AK4 protein
- 
											免疫原種屬:Homo sapiens (Human)
- 
											標記方式:Non-conjugated
- 
											克隆類型:Monoclonal
- 
											抗體亞型:Rabbit IgG
- 
											純化方式:Affinity-chromatography
- 
											克隆號:3A9
- 
											濃度:It differs from different batches. Please contact us to confirm it.
- 
											保存緩沖液:Rabbit IgG in 10mM phosphate buffered saline , pH 7.4, 150mM sodium chloride, 0.05% BSA, 0.02% sodium azide and 50% glycerol.
- 
											產品提供形式:Liquid
- 
											應用范圍:ELISA, WB, IHC, IF, FC
- 
											推薦稀釋比:Application Recommended Dilution WB 1:500-1:5000 IHC 1:50-1:200 IF 1:50-1:200 FC 1:50-1:200 
- 
											Protocols:
- 
											儲存條件:Upon receipt, store at -20°C or -80°C. Avoid repeated freeze.
- 
											貨期:Basically, we can dispatch the products out in 1-3 working days after receiving your orders. Delivery time maybe differs from different purchasing way or location, please kindly consult your local distributors for specific delivery time.
- 
											用途:For Research Use Only. Not for use in diagnostic or therapeutic procedures.
相關產品
靶點詳情
- 
											功能:Involved in maintaining the homeostasis of cellular nucleotides by catalyzing the interconversion of nucleoside phosphates. Efficiently phosphorylates AMP and dAMP using ATP as phosphate donor, but phosphorylates only AMP when using GTP as phosphate donor. Also displays broad nucleoside diphosphate kinase activity. Plays a role in controlling cellular ATP levels by regulating phosphorylation and activation of the energy sensor protein kinase AMPK. Plays a protective role in the cellular response to oxidative stress.
- 
											基因功能參考文獻:- Results found that AK4 was involved in hypoxia tolerance, resistance to anti-tumor drug, and the regulation of mitochondrial activity. PMID: 26980435
- a stress-protective function of AK4 PMID: 23474458
- Data indicate that patients with high adenylate kinase-4 (AK4) and low transcription factor ATF3 expression showed unfavorable outcomes compared with patients with low AK4 and high ATF3 expression. PMID: 23002211
- The AK4 cDNA was expressed in Escherichia coli and the substrate specificity and kinetic properties of the recombinant protein were characterized. PMID: 19766732
- To investigate the role of hinge IV, crystal structure of human adenylate kinase 4 (AK4) L171P mutant was determined. PMID: 19073142
 顯示更多 收起更多 
- 
											亞細胞定位:Mitochondrion matrix.
- 
											蛋白家族:Adenylate kinase family, AK3 subfamily
- 
											組織特異性:Highly expressed in kidney, moderately expressed in heart and liver and weakly expressed in brain.
- 
											數據庫鏈接:
Most popular with customers
- 
                                            
- 
                                            YWHAB Recombinant Monoclonal Antibody Applications: ELISA, WB, IHC, IF, FC Species Reactivity: Human, Mouse, Rat 
- 
                                            Phospho-YAP1 (S127) Recombinant Monoclonal Antibody Applications: ELISA, WB, IHC Species Reactivity: Human 
- 
                                            
- 
                                            
- 
                                            
- 
                                            
- 
                                            
 
  
  
  
  
  
 














 
         
           
  
          
