CEACAM6 Recombinant Monoclonal Antibody
- 
								中文名稱:CEACAM6 Recombinant Monoclonal Antibody
- 
								貨號:CSB-RA579787A0HU
- 
								規格:¥1320
- 
								圖片:- 
														
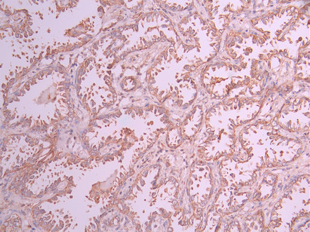
														IHC image of CSB-RA579787A0HU diluted at 1:100 and staining in paraffin-embedded human lung cancer performed on a Leica BondTM system. After dewaxing and hydration, antigen retrieval was mediated by high pressure in a citrate buffer (pH 6.0). Section was blocked with 10% normal goat serum 30min at RT. Then primary antibody (1% BSA) was incubated at 4°C overnight. The primary is detected by a Goat anti-rabbit polymer IgG labeled by HRP and visualized using 0.05% DAB.
 
- 
														
														
- 
								其他:
產品詳情
- 
											Uniprot No.:
- 
											基因名:
- 
											別名:Carcinoembryonic antigen-related cell adhesion molecule 6 (Non-specific crossreacting antigen) (Normal cross-reacting antigen) (CD antigen CD66c), CEACAM6, NCA
- 
											反應種屬:Human
- 
											免疫原:A synthesized peptide from human CEACAM6 protein
- 
											免疫原種屬:Homo sapiens (Human)
- 
											標記方式:Non-conjugated
- 
											克隆類型:Monoclonal
- 
											抗體亞型:Rabbit IgG
- 
											純化方式:Affinity-chromatography
- 
											克隆號:1D12
- 
											濃度:It differs from different batches. Please contact us to confirm it.
- 
											保存緩沖液:Preservative: 0.03% Proclin 300
 Constituents: 50% Glycerol, 0.01M PBS, PH 7.4
- 
											產品提供形式:Liquid
- 
											應用范圍:ELISA, IHC
- 
											推薦稀釋比:Application Recommended Dilution IHC 1:50-1:200 
- 
											Protocols:
- 
											儲存條件:Upon receipt, store at -20°C or -80°C. Avoid repeated freeze.
- 
											貨期:Basically, we can dispatch the products out in 1-3 working days after receiving your orders. Delivery time maybe differs from different purchasing way or location, please kindly consult your local distributors for specific delivery time.
- 
											用途:For Research Use Only. Not for use in diagnostic or therapeutic procedures.
相關產品
靶點詳情
- 
											功能:Cell surface glycoprotein that plays a role in cell adhesion and tumor progression. Intercellular adhesion occurs in a calcium- and fibronectin-independent manner. Mediates homophilic and heterophilic cell adhesion with other carcinoembryonic antigen-related cell adhesion molecules, such as CEACAM5 and CEACAM8. Heterophilic interaction with CEACAM8 occurs in activated neutrophils. Plays a role in neutrophil adhesion to cytokine-activated endothelial cells. Plays a role as an oncogene by promoting tumor progression; positively regulates cell migration, cell adhesion to endothelial cells and cell invasion. Also involved in the metastatic cascade process by inducing gain resistance to anoikis of pancreatic adenocarcinoma and colorectal carcinoma cells.
- 
											基因功能參考文獻:- CEACAM6 promoted oral squamous cell carcinoma cell invasion, migration, cytoskeletal rearrangement, and metastasis via interaction with EGFR and enhancing it activation. PMID: 28892050
- Studies provide evidence that dysregulated overexpression of CEACAM6 plays a role in several of the hallmarks of cancer, including uncontrolled proliferation, anoikis resistance, immune evasion, invasion and metastasis. [review] PMID: 29110374
- Helicobacter pylori HopQ binds the amino-terminal IgV-like domain of human CEACAM1, CEACAM3, CEACAM5 or CEACAM6 proteins, thereby enabling translocation of the major pathogenicity factor CagA into host cells. PMID: 27748756
- Here, the authors identify members of the carcinoembryonic antigen-related cell adhesion molecule (CEACAM) family as receptors of Helicobacter pylori and show that HopQ is the surface-exposed adhesin that specifically binds human CEACAM1, CEACAM3, CEACAM5 and CEACAM6. PMID: 27748768
- CD66c (KOR-SA3544) antigen expression of leukemic blasts in pediatric acute myeloid leukemia with TLS/FUS-ERG fusion transcript PMID: 28766906
- Data suggest that the expression of these TSPAN8, LGALS4, COL1A2 and CEACAM6 in the whole blood may be useful in the detection of colorectal cancer (CRC). PMID: 26993598
- expression is increased in severe asthma and primarily associated with airway epithelial cells and tissue neutrophils PMID: 28275137
- a 7-gene signature was identified which correctly predicted the primary prefibrotic myelofibrosis group with a sensitivity of 100% and a specificity of 89%. The 7 genes included MPO, CEACAM8, CRISP3, MS4A3, CEACAM6, HEMGN, and MMP8 PMID: 27579896
- In enterocytic C2BBe1 cells, Candida albicans caused a transient tyrosine phosphorylation of CEACAM1 and induced higher expression of membrane-bound CEACAM1 and soluble CEACAM6. PMID: 28292985
- Monoclonal Antibody 1B5A5 Against CEACAM6 PMID: 27328063
- western blot analysis results indicated that the 1B5A5 epitope is located within an amino-terminal domain of CEACAM6. These results raised the possibility that our approach could lead to discovery of novel biomarkers for the early stage of cancers in a relatively short period of time. PMID: 27172290
- show the upregulation of the tumor-associated antigens CEACAM5/6 by trans-signaling of the pro-inflammatory cytokine IL-6 PMID: 26673628
- Biliary CEACAM6 can identify patients with extrahepatic cholangiocarcinoma with a high degree of sensitivity and should be investigated further as a potential screening tool. PMID: 26974538
- Data suggest ways in which carcinoembryonic antigen-related cell adhesion molecules CEACAM6 and CEACAM8 regulate the biological functions of one another. PMID: 26483485
- CEACAM6 protein and mRNA were increased ~4-fold in lungs from infants with chronic lung disease as compared with controls. PMID: 26374831
- vaccination with recombinant attenuated Salmonella harboring the CEACAM6 and 4-1BBL gene efficiently increased the number of CD3+CD8+ TIL and NK cells, decreased the number of FOXP3 cells and inhibited the development of DMH-induced colorectal cancer PMID: 25872647
- CEACAM6 increased the levels of phosphorylated AKT, which is involved in the progression of a variety of human tumors. PMID: 25398131
- Data show that carcinoembryonic antigen-related cell adhesion molecule 6 (CEACAM6) and forkhead box P3 (FOXP3) are associated with the malignant degree of pancreatic cancer. PMID: 26271985
- Data indicate that carcinoembryonic antigen-related cell adhesion molecule 6 (CEACAM6) promotes angiogenesis in gastric cancer via focal adhesion kinase FAK signaling. PMID: 25703140
- Results show that pancreatic cancer patients with CEACAM 1, 5 and 6 expression showed a significantly shortened overall survival and elevated serum values are correlated with distant metastasis suggesting a role in epithelial-mesenchymal transition. PMID: 25409014
- CEACAM6 may be a valuable biomarker screening for gastric tumor and novel predictor for patients in advanced stages of gastric cancer PMID: 25299082
- results suggested that CEACAM6 functions as an oncoprotein in gastric cancer and may be an important metastatic biomarker and therapeutic target PMID: 24492534
- CEACAM6 expression was expressed in different molecular subtypes of breast cancer. Among different subtypes, the highest expression was found with HER2 positive cancers. PMID: 24186057
- High carcinoembryonic cell adhesion molecule 6 expression is associated with malignant biliary stenoses. PMID: 23806607
- our findings identified CEACAM6, which is regulated by miR-29a/b/c, as an important positive regulator of EMT in pancreatic cancer PMID: 23857344
- CD66c expression appears useful only as a predictor of the Ph in adult patients (not in pediatric cases). PMID: 24014076
- Data indicate that CD66c is frequently expressed in CRLF2-positive as well as hypodiploid cases. PMID: 24231528
- these findings show that PDEF-CEACAM6 is a highly active oncogenic axis in breast cancer PMID: 23592399
- CEACAM-6 plays an important role in the regulation of CD8+ T-cell responses against multiple myeloma. PMID: 23603913
- CEACAM6 is significantly upregulated in colon cancer tissues and is closely associated with poor prognosis. PMID: 22975528
- The expression of CD66c was significantly higher in colorectal cancer specimens than in normal colon. PMID: 23027178
- CEACAM6 is focally overexpressed in a large fraction of human HNSCCs in situ. over-expression of CEACAM6 increases tumour growth and tumour initiating activity by suppressing PI3K/AKT-dependent apoptosis of HNSCC in a xenotransplant model of HNSCC. PMID: 23021083
- High CEACAM6 expresssion is associated with inflammatory bowel disease. PMID: 21994005
- a novel role for NA in enhancing host cell survival by activating the Src/Akt signaling axis via an interaction with carcinoembryonic antigen-related cell adhesion molecule 6/cluster of differentiation 66c (C6). PMID: 22396546
- The authors show that the expression of CEACAM1 and CEACAM6 potentiate CEACAM3-dependent responses of neutrophils, exposing a cooperative role for this family of proteins during neisserial infection of neutrophils. PMID: 22064717
- CEACAM6 is expressed by alveolar and airway epithelial cells of human lung and is secreted into lung-lining fluid, where fully glycosylated protein binds to surfactant. PMID: 22037359
- Despite its important role in bacterial attachment in ileal CD, no role was detected for CEACAM6 variants in IBD susceptibility or regarding an ileal CD phenotype PMID: 21559399
- The highly elevated gene expression of CEACAM6 and CEACAM8 in primary myelofibrosis can serve as molecular markers of myelofibrotic transformation. PMID: 21470677
- High serum CEACAM6 is associated with gastric cancer. PMID: 21618249
- CEACAM6 and a regulatory element near the 3' end of CEACAM3 are associated with cystic fibrosis disease severity and intrapair discordance PMID: 20047061
- Positivity for both leukemia-associated antigens CD66c and CD25 in combination can predict the presence of BCR/ABL rearrangement in pre-B cell acute lymphoblastic leukemia PMID: 20063526
- Overexpression of CEACAM6 disrupts tissue architecture and blocks colonocyte differentiation PMID: 11896570
- CEACAM6 subdomains involved in intercellular adhesion activity and subdomains involved in inhibition of cell differentation are identified and their respective activities are independently blocked. PMID: 12571231
- CEACAM6 gene silencing reversed the acquired anoikis resistance of tumor cell lines and inhibited in vivo metastatic ability PMID: 14724575
- overexpression among human malignancies, immunological targeting of this tumor antigen may have therapeutic applicability PMID: 15081416
- the results show that recognition of CEA and CEACAM6, but not CEACAM1, is accompanied by tight attachment to bacteria of cell surface microvilli-like extensions PMID: 15130118
- CEACAM6 is an important determinant of pancreatic adenocarcinoma malignant cellular behavior PMID: 15208677
- Levels of CEACAM6 expression can modulate pancreatic adenocarcinoma cellular invasiveness in a c-Src-dependent manner PMID: 15316565
- CD66c is regulated in a manner distinct from other myeloid antigens in childhood lymphoblastic leukemia PMID: 15826304
- Data show that variants of Neisseria gonorrhoeae that bind to human carcinoembryonic antigen-related cell adhesion molecules (CEACAMs) 1 and 6 failed to induce detachment and, instead, promoted enhanced host cell adhesion to the ECM. PMID: 16115956
 顯示更多 收起更多 
- 
											亞細胞定位:Cell membrane; Lipid-anchor, GPI-anchor. Apical cell membrane. Cell surface.
- 
											蛋白家族:Immunoglobulin superfamily, CEA family
- 
											組織特異性:Expressed in neutrophils. Expressed in columnar epithelial and goblet cells of the colon. Expressed in numerous tumor cell lines (at protein level).
- 
											數據庫鏈接:
Most popular with customers
- 
                                            
- 
                                            YWHAB Recombinant Monoclonal Antibody Applications: ELISA, WB, IHC, IF, FC Species Reactivity: Human, Mouse, Rat 
- 
                                            
- 
                                            
- 
                                            
- 
                                            
- 
                                            
- 
                                            
 
  
 














 
         
           
  
          
