F10 Recombinant Monoclonal Antibody
-
中文名稱:F10重組抗體
-
貨號:CSB-RA599469A0HU
-
規格:¥1320
-
圖片:
-
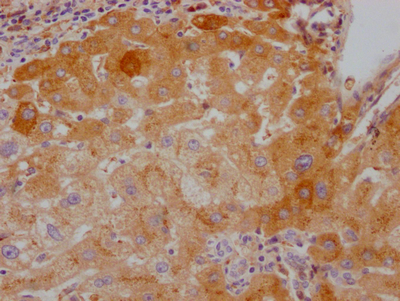
IHC image of CSB-RA599469A0HU diluted at 1:100 and staining in paraffin-embedded human liver cancer performed on a Leica BondTM system. After dewaxing and hydration, antigen retrieval was mediated by high pressure in a citrate buffer (pH 6.0). Section was blocked with 10% normal goat serum 30min at RT. Then primary antibody (1% BSA) was incubated at 4℃ overnight. The primary is detected by a Goat anti-rabbit IgG polymer labeled by HRP and visualized using 0.05% DAB.
-
-
其他:
產品詳情
-
產品描述:F10 Recombinant Monoclonal Antibody(CSB-RA599469A0HU)是針對凝血因子X(F10)開發的高特異性抗體,適用于酶聯免疫吸附實驗(ELISA)和免疫組織化學(IHC)檢測。F10是凝血級聯反應中的關鍵絲氨酸蛋白酶前體,通過激活凝血酶原在止血過程中發揮核心作用,其異常表達與血栓性疾病及遺傳性凝血功能障礙密切相關。本抗體經嚴格的抗原表位篩選,在ELISA實驗中展現出優異的線性檢測范圍和低交叉反應性,可精準識別天然及重組F10蛋白。在IHC應用中,該抗體在1:50-1:200稀釋范圍內能有效標記多種組織樣本中F10的定位分布,尤其適用于石蠟包埋組織的抗原可視化研究。其重組單克隆特性確保了批次間的高度一致性,為凝血機制研究、出血性疾病模型分析以及抗凝藥物靶點驗證等科研領域提供可靠工具。該產品已通過多物種交叉驗證,兼容常規實驗體系,是探索F10蛋白功能及其病理關聯性的理想選擇。
-
Uniprot No.:
-
基因名:
-
別名:Coagulation factor X (EC 3.4.21.6) (Stuart factor) (Stuart-Prower factor) [Cleaved into: Factor X light chain, Factor X heavy chain, Activated factor Xa heavy chain], F10
-
反應種屬:Human
-
免疫原:A synthesized peptide derived from human Factor X
-
免疫原種屬:Homo sapiens (Human)
-
標記方式:Non-conjugated
-
克隆類型:Monoclonal
-
抗體亞型:Rabbit IgG
-
純化方式:Affinity-chromatography
-
克隆號:3F2
-
濃度:It differs from different batches. Please contact us to confirm it.
-
保存緩沖液:Rabbit IgG in 10mM phosphate buffered saline , pH 7.4, 150mM sodium chloride, 0.05% BSA, 0.02% sodium azide and 50% glycerol.
-
產品提供形式:Liquid
-
應用范圍:ELISA, IHC
-
推薦稀釋比:
Application Recommended Dilution IHC 1:50-1:200 -
Protocols:
-
儲存條件:Upon receipt, store at -20°C or -80°C. Avoid repeated freeze.
-
貨期:Basically, we can dispatch the products out in 1-3 working days after receiving your orders. Delivery time maybe differs from different purchasing way or location, please kindly consult your local distributors for specific delivery time.
-
用途:For Research Use Only. Not for use in diagnostic or therapeutic procedures.
相關產品
靶點詳情
-
功能:Factor Xa is a vitamin K-dependent glycoprotein that converts prothrombin to thrombin in the presence of factor Va, calcium and phospholipid during blood clotting.
-
基因功能參考文獻:
- An antidote could promptly neutralize the anticoagulant effects of both FXa inhibitors. Our results suggest that drugs and aptamers with shared targets can be combined to exert more specific and potent effects than either agent alone PMID: 29863725
- model predicts that small vesicles promote activation of FX by the extrinsic tenase significantly better than large vesicles PMID: 28935233
- miR-24 was overexpressed in major trauma-induced coagulopathy (TIC) patients. The negative correlation of miR-24 with FX suggested the possibility that miR-24 might inhibit the synthesis of FX during TIC. PMID: 28694557
- zymogen-like factor Xa variants are conformationally dynamic and ligands such as its cofactor, factor Va, stabilize the molecule rescuing procoagulant activity. At the site of vascular injury, the variants in the presence of factor Va serve as effective prohemostatic agents. PMID: 28692575
- Data suggest oxidized lipid vesicles with phosphatidylserine/polyunsaturated fatty acids promote inactivation of ZPI-PZ complex or free ZPI; binding of PZ-complexed or free ZPI to oxidized vesicles mediates inactivation of ZPI (an inhibitor of FXa); blocking heparin- (anticoagulant-)binding site on ZPI interferes with binding to lipid or PZ. (ZPI = protein Z-dependent protease inhibitor; PZ = protein Z; FXa = factor Xa) PMID: 28717005
- PTX2 was identified PTX2 as a novel partner for FX, and both proteins cooperated to prevent their SR-AI-mediated uptake by macrophages. PMID: 28213380
- annexin A2 contributes to lung injury and fibrotic disease by mediating the fibrogenic actions of FXa. PMID: 28283478
- A family with factor X deficiency from Argentina displayed a compound heterozygous proband having the combination of a new mutation with an already known one, and homozygous children. PMID: 27031279
- analysis of how physiological concentrations of Tissue factor pathway inhibitor inhibit FXa PMID: 26607136
- According to our study, compounds 1a, 1g and 1s displayed evident FXa inhibitory activity and excellent selectivity over thrombin in in vitro inhibition activities studies. PMID: 27089317
- This study was conducted to assess the spectrum of factor X gene mutation in Iranian patients with congenital factor X deficiency (FXD). Most molecular studies found a diversity in factor X disease causing mutations in Iranian patients. Like other parts of the world, the majority of mutations in Iranian patients were missense mutations, but splice-site mutations were relatively common. [review] PMID: 26891460
- The Ala275Val substitution is a pathogenic mutation that causes the inherited FX deficiency. PMID: 26708756
- homozygous mutation g.27881G>A(p.Val298Met) of the F10 gene has been identified, which probably accounts for the low FX concentrations in this pedigree PMID: 27264807
- FX carboxyl-terminal region downstream of residue K467 is not essential for secretion and provides a modest contribution to pro-coagulant properties. PMID: 26083275
- In our medical center, rivaroxaban concentrations could be assessed by a rapid chromogenic method. PMID: 26058941
- FXa may inhibit lipopolysaccharide-mediated expression of sPLA2-IIA by suppression of cytosolic phospholipase A2 and extracellular signal-regulated kinase 1/2. PMID: 25399323
- Several members of a family had a c.112 G>C mutation in exon 2 of the F10 gene. Although in-silico analysis predicts this is a benign mutation, this family suggests that the amino acid substitution affects the properties of the factor X protein. PMID: 25803519
- Various acylcarnitines inhibited factor Xa-initiated clotting. PMID: 26175037
- Asymmetric processing of mutant factor X Arg386Cys reveals differences between intrinsic and extrinsic pathway activation. PMID: 26012870
- The model of human prothrombinase presented here provides a powerful resource for contextualizing previous data and for designing future experiments PMID: 25153592
- Factor Xa plasma levels were higher in shift work nurses compared to daytime working nurses. PMID: 25743687
- Asp-185 deletion in FX predisposes FX deficient patient to mild bleeding phenotype. The catalytic activity of the recombinant mutant protease is severely impaired. PMID: 25179519
- Factor Xa has a role in inhibiting HMGB1-induced septic responses in human umbilical vein endothelial cells and in mice PMID: 25007770
- procoagulant, tissue factor-bearing microparticles in bronchoalveolar lavage of interstitial lung disease patients PMID: 24777000
- Letter/Case Report: demonstrate the clinical utility of monitoring rivaroxaban levels through measurements of anti-Xa activity. PMID: 25688138
- The results suggest that the mutation FX-M402T may cause a secretion defect and a molecular abnormality in FX. PMID: 25064371
- Prothrombin is proteolytically converted by factor Xa to the active protease thrombin in a reaction that is accelerated >3,000-fold by cofactor Va. PMID: 24821807
- High FXa expression is associated with vascular inflammation in sickle cell disease. PMID: 24449213
- factor Xa induces an inflammatory signalling by activation of protease-activated receptors in human atrial tissue PMID: 24041930
- Protein Z/protein Z-dependent protease inhibitor and Fxa expression in human gastric cancer cells indicate that these proteins may play a role in anticoagulant events at the tumor tissue. PMID: 24158387
- The structure of factor Xa is regulated by factor Va and phosphatidylserine. PMID: 24467409
- deficiency is associated with bleeding due to poor recognition of the mutant substrate by Factor IXa PMID: 23677006
- In carotid artery plaque, expression of SPHK1 was observed at smooth muscle cell-rich sites and was co-localized with intraplaque FX/FXa content. PMID: 23658376
- Seven missense mutations were identified in the F10 of the four probands with FX deficiency, six of which (Ser425Pro, Ala-29Pro, Phe324Leu, Ala235Thr, Cys111Arg and Met362Thr) were novel and associated with type I FX deficiency. PMID: 23664564
- Anti-FXa antithrombin assay is recommended as a first-line test to detect type II heparin-binding site antithrombin deficiency. PMID: 24124146
- A novel function for AT, which accelerates the modulation of FXa into the fibrinolytic form. PMID: 23416531
- Despite their delay in reaching therapeutic anti-FXa levels on unfractionated heparin treatment, infants monitored with the adult-based anti-FXa range have a high thrombus resolution rate, no thrombus progression, but a relatively high bleeding rate. PMID: 22244010
- We report two novel causative mutations of the Factor 10 gene in a Chinese proband with severe Factor X deficiency and mild clinical symptoms. PMID: 22931370
- The Kunitz 1 and Kunitz 3 domains of tissue factor pathway inhibitor are required for efficient inhibition of factor Xa PMID: 22627666
- results suggest that FX binds to the surface of human species C adenovirus and becomes a pathogen-associated molecular pattern that, upon viral entry into the cell, triggers activation of innate immunity PMID: 23019612
- Three unrealted Palestinian patients were found to be homozygous for c302delG, a new frameshift mutation in the F10 gene causing a stop codon at amino acid 73. PMID: 22008904
- srxA and prxA (2-Cys peroxiredoxin) genes are induced in response to oxidative stress. PMID: 21651559
- patients with hypomethylated F10 promoter in tumors had shorter median overall survival PMID: 22160665
- RXA plasma levels can be quantified accurately and precisely by a chromogenic anti-FXa assay on different coagulometers in different laboratories. PMID: 21840043
- localization of PZ/ZPI and FX in colon cancer cells indicates that PZ/ZPI may contribute to anticoagulant events at the tumor site. PMID: 22424030
- Alboserpin emerges as an atypical serpin that targets FXa and displays unique phospholipid specificity. PMID: 21673107
- The regulatory action of FXa on PAR-2 was concentration-dependent and mimicked by a PAR-2-selective activating peptide. PMID: 21871560
- Differential effects of murine and human factor X on adenovirus transduction via cell-surface heparan sulfate. PMID: 21596747
- Determination of rivaroxaban by different factor Xa specific chromogenic substrate assays: reduction of interassay variability. PMID: 21811937
- Six FXIa catalytic domain residues (Glu(98), Tyr(143), Ile(151), Arg(3704), Lys(192), and Tyr(5901)) were subjected to mutational analysis to investigate interactions between FXIa and a synthetic substrate, the substrate factor IX, and inhibitor PN2KPI. PMID: 21778227
顯示更多
收起更多
-
相關疾?。?/div>Factor X deficiency (FA10D)亞細胞定位:Secreted.蛋白家族:Peptidase S1 family組織特異性:Plasma; synthesized in the liver.數據庫鏈接:
Most popular with customers
-
-
YWHAB Recombinant Monoclonal Antibody
Applications: ELISA, WB, IHC, IF, FC
Species Reactivity: Human, Mouse, Rat
-
Phospho-YAP1 (S127) Recombinant Monoclonal Antibody
Applications: ELISA, WB, IHC
Species Reactivity: Human
-
-
-
-
-















