-
中文名稱:GAPDH鼠單克隆抗體
-
貨號:CSB-MA000071M1m
-
規格:¥400
-
圖片:
-
Western Blot
Positive WB detected in: U87 whole cell lysate, PC-3 whole cell lysate, 293 whole cell lysate, U251 whole cell lysate, A549 whole cell lysate, A375 whole cell lysate, MG-63 whole cell lysate, SH-SY5Y whole cell lysate,
All lanes GAPDH antibody at 1:5000
Secondary
Goat polyclonal to mouse IgG at 1/50000 dilution
Predicted band size: 36 KDa
Observed band size: 36 KDa
Exposure time: 10s -
Western Blot
Positive WB detected in: SP2/0 whole cell lysate, NIH/3T3 whole cell lysate, Raw264.7 whole cell lysate, Mouse Heart tissue, Mouse lung tissue,Mouse kidney tissue
All lanes GAPDH antibody at 1:5000
Secondary
Goat polyclonal to mouse IgG at 1/50000 dilution
Predicted band size: 36 KDa
Observed band size: 36 KDa
Exposure time: 10s -
Western Blot
Positive WB detected in: Rabbit heart tissue, Rabbit kidney tissue, Rabbit muscle tissue
All lanes GAPDH antibody at 1:5000
Secondary
Goat polyclonal to mouse IgG at 1/50000 dilution
Predicted band size: 36 KDa
Observed band size: 36 KDa
Exposure time: 10s -
Western Blot
Positive WB detected in: Hela whole cell lysate at 10μg, 5μg, 2.5μg, 1.25μg, 0.625μg All lanes:GAPDH antibody at 1:5000
Secondary
Goat polyclonal to mouse IgG at 1/50000 dilution
Predicted band size: 36 KDa
Observed band size: 36 KDa
Exposure time: 10s -
Western Blot
Positive WB detected in: 15μg hela whole cell lysate GAPDH antibody at 1:10000, 1:20000, 1:40000, 1:80000
Secondary
Goat polyclonal to mouse IgG at 1/50000 dilution
Predicted band size: 36 KDa
Observed band size: 36 KDa
Exposure time: 10s -
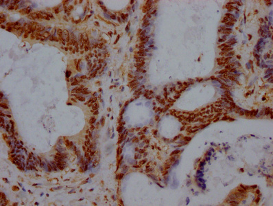
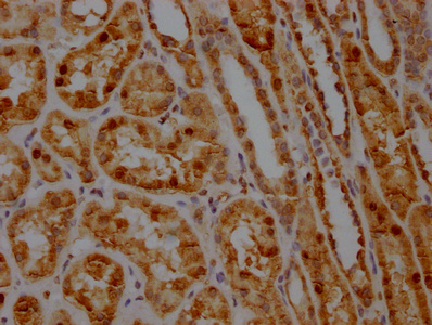
IHC image of CSB-MA000071M1m diluted at 1:500 and staining in paraffin-embedded human colon cancer performed on a Leica BondTM system. After dewaxing and hydration, antigen retrieval was mediated by high pressure in a citrate buffer (pH 6.0). Section was blocked with 10% normal goat serum 30min at RT. Then primary antibody (1% BSA) was incubated at 4°C overnight. The primary is detected by a Goat anti-rabbit polymer IgG labeled by HRP and visualized using 0.05% DAB.
-
IHC image of CSB-MA000071M1m diluted at 1:500 and staining in paraffin-embedded human breast cancer performed on a Leica BondTM system. After dewaxing and hydration, antigen retrieval was mediated by high pressure in a citrate buffer (pH 6.0). Section was blocked with 10% normal goat serum 30min at RT. Then primary antibody (1% BSA) was incubated at 4°C overnight. The primary is detected by a Goat anti-rabbit polymer IgG labeled by HRP and visualized using 0.05% DAB.
-
IHC image of CSB-MA000071M1m diluted at 1:500 and staining in paraffin-embedded human kidney tissue performed on a Leica BondTM system. After dewaxing and hydration, antigen retrieval was mediated by high pressure in a citrate buffer (pH 6.0). Section was blocked with 10% normal goat serum 30min at RT. Then primary antibody (1% BSA) was incubated at 4°C overnight. The primary is detected by a Goat anti-rabbit polymer IgG labeled by HRP and visualized using 0.05% DAB.
-
Immunofluorescence staining of Hela cells with(CSB-MA000071M1m)at 1:50, counter-stained with DAPI. The cells were fixed in 4% formaldehyde, permeabilized using 0.2% Triton X-100 and blocked in 10% normal Goat Serum. The cells were then incubated with the antibody overnight at 4°C. Nuclear DNA was labeled in blue with DAPI. The secondary antibody was FITC-conjugated AffiniPure Goat Anti-Mouse IgG (H+L).
-
Immunofluorescence staining of HepG2 cells with (CSB-MA000071M1m)at 1:50, counter-stained with DAPI. The cells were fixed in 4% formaldehyde, permeabilized using 0.2% Triton X-100 and blocked in 10% normal Goat Serum. The cells were then incubated with the antibody overnight at 4°C. Nuclear DNA was labeled in blue with DAPI. The secondary antibody was FITC-conjugated AffiniPure Goat Anti-Mouse IgG (H+L).
-
Immunoprecipitating GAPDH in Hela whole cell lysate
Lane 1: Mouse control IgG instead of CSB-MA000071M1m in Hela whole cell lysate. Lane 2: CSB-MA000071M1m (5µl) + Hela whole cell lysate (500µg)
Lane 3: Hela whole cell lysate (10µg)
For western blotting, the blot was detected with CSB-MA000071M1m at 1:5000, and a HRP-conjugated Protein G antibody was used as the secondary antibody at 1:2000
-
-
其他:
產品詳情
-
產品描述:CUSABIO貨號:CSB-MA000071M1m GAPDH單克隆抗體是針對甘油醛-3-磷酸脫氫酶(GAPDH)研發的高特異性科研試劑,該靶蛋白不僅是糖酵解關鍵酶,更在細胞能量代謝、氧化應激調控及DNA修復等過程中發揮重要作用,近年來其在細胞周期調控與凋亡通路中的非經典功能備受關注。本抗體經親和純化制備,可特異性識別人、小鼠、兔等多種物種的GAPDH蛋白,在Western Blot實驗中能清晰檢測約37kDa的目標條帶,適用于免疫印跡(WB)定量分析、免疫組化(IHC)組織定位、免疫熒光(IF)亞細胞觀察、免疫沉淀(IP)互作蛋白研究以及ELISA檢測系統構建。實驗驗證顯示該抗體在哺乳動物細胞裂解液、組織勻漿液等多種樣本體系中均表現出優異的批次穩定性與重復性,特別適用于基因表達調控研究、代謝通路分析、疾病模型驗證等基礎科研領域,為腫瘤生物學、神經退行性疾病、糖尿病等相關研究提供可靠的實驗工具。該GAPDH抗體作為內參對照試劑,可與目標蛋白同步檢測實現數據標準化,有效提升實驗結果的科學性與可比性。
-
產品名稱:Mouse anti-Homo sapiens (Human) GAPDH Monoclonal Antibody antibody
-
Uniprot No.:
-
基因名:
-
別名:GAPDH; G3PD; GAPD; MGC88685
-
宿主:Mouse
-
反應種屬:Human, Mouse, Rabbit
-
免疫原:Recombinant Human GAPDH protein (2-335AA)
-
免疫原種屬:Homo sapiens (Human)
-
標記方式:Non-conjugated
-
克隆類型:Monoclonal Antibody
-
抗體亞型:IgG1
-
純化方式:>95%, Protein G purified
-
克隆號:10B4E3
-
濃度:It differs from different batches. Please contact us to confirm it.
-
保存緩沖液:Preservative: 0.03% Proclin 300
Constituents: 50% Glycerol, 0.01M PBS, PH 7.4 -
產品提供形式:Liquid
-
應用范圍:ELISA, WB, IHC, IP, IF
-
推薦稀釋比:
Application Recommended Dilution WB 1:5000-1:80000 IHC 1:200-1:500 IF 1:50-1:100 IP 2µl-8µl -
Protocols:
-
儲存條件:Upon receipt, store at -20°C or -80°C. Avoid repeated freeze.
-
貨期:Basically, we can dispatch the products out in 1-3 working days after receiving your orders. Delivery time maybe differs from different purchasing way or location, please kindly consult your local distributors for specific delivery time.
-
用途:For Research Use Only. Not for use in diagnostic or therapeutic procedures.
引用文獻
- Activated Protein C Suppresses Cardiomyocyte Senescence in Diabetic Cardiomyopathy via PAR1/PAR3-P85-CaMKIIδ Axis Y Zhang, L Dai, M Wang, X Zhong, X Liu, K Zhang,Diabetes,2025
- Tamibarotene promotes differentiation of neuroblastoma SH-SY5Y cells into neurons, which is associated with activation of the PI3K/AKT signaling pathway J Zhang, W XiangWei, F Zhang, H Yi, W Yan, X Li,BMC neuroscience,2025
- Proto-oncogene DEK binds to pre-mRNAs and regulates the alternative splicing of Hippo signaling genes in HeLa cells D Liu, W Sun, J Han, C Wang, D Chen, Y Wu,Molecular Genetics and Genomics,2025
- Dysregulation of STS in keratinocytes promotes calcium signaling and differentiation TU Kwon, YJ Kwon, H Park, Y Kang, YJ Chun,Scientific Reports,2025
- Steroid sulfatase suppresses keratinization by inducing proteasomal degradation of E-cadherin via Hakai regulation TU Kwon, YJ Kwon, H Park, H Lee, JH Kwak,Biochimica et Biophysica Acta-Molecular Cell Research,2025
- Dysregulation of STS in keratinocytes promotes calcium signaling and hyperkeratinization: Insights into the mechanisms underlying X-linked ichthyosis TU Kwon, YJ Kwon, H Park, Y Kang, YJ Chun,scientific reports,2024
- The pivotal role of osteopontin in UV-induced skin inflammation in a mouse model H Kim, CY Shin, CH Park, DH Lee, SH Lee,Open Biology,2024
- Integrated multi-level omics profiling of disulfidptosis identifis SPAG4 as an innovative immunotherapeutic target in glioblastoma S Chen, M Zeng, T Chen, H Ding, JH Lin, F Ye,Frontiers in Immunology,2024
- Effect of mitochondrial translocator protein TSPO on LPS-induced cardiac dysfunction X Li, X Chen, F Yang, T Shu, L Jiang, B He,Journal of Advanced Research,2024
- β2-Adrenergic Biased Agonist Inhibits the Development of Th17 and the Response of Memory Th17 Cells in an NF-κB-Dependent Manner. M Hajiaghayi, F Gholizadeh, E Han, S Little, N Rahbari,bioRxiv,2024
- Modulatory Effects of M3 Muscarinic Acetylcholine Receptor on Inflammatory Profiles of Human Memory T Helper Cells F Gholizadeh, M Hajiaghayi, JS Choi, SR Little,bioRxiv,2024
- Identifying lncRNAs and mRNAs related to survival of NSCLC based on bioinformatic analysis and machine learning W Yue,Aging,2024
- Buffalo colostrum peptide mitigates Parkinson's disease pathophysiology through Cullin-3 inhibition A Ashok,Bioorganic chemistry,2024
- Alisol A inhibits the circ_0001831/miR‐346/LIN28B pathway to ameliorate high glucose‐induced injury of human renal mesangial cells C Yue,Nephrology,2023
- Circ_RPPH1 regulates glioma cell malignancy by binding to miR-627-5p/miR-663a to induce SDC1 expression W Chen,Metabolic brain disease,2023
- Long-chain acyl-CoA synthetase regulates systemic lipid homeostasis via glycosylation-dependent lipoprotein production SI Seol,/,2024
- Role of ROS/JAK2/STAT3 signaling pathway in di-n-butyl phthalate-induced testosterone synthesis inhibition and antagonism of lycopene Q Wang,Food and chemical toxicology,2023
- Lipidome Atlas of the Developing Heart Uncovers Dynamic Membrane Lipid Attributes Underlying Cardiac Structural and Metabolic Maturation H Miao,Research,2022
相關產品
靶點詳情
-
功能:Has both glyceraldehyde-3-phosphate dehydrogenase and nitrosylase activities, thereby playing a role in glycolysis and nuclear functions, respectively. Glyceraldehyde-3-phosphate dehydrogenase is a key enzyme in glycolysis that catalyzes the first step of the pathway by converting D-glyceraldehyde 3-phosphate (G3P) into 3-phospho-D-glyceroyl phosphate. Modulates the organization and assembly of the cytoskeleton. Facilitates the CHP1-dependent microtubule and membrane associations through its ability to stimulate the binding of CHP1 to microtubules. Component of the GAIT (gamma interferon-activated inhibitor of translation) complex which mediates interferon-gamma-induced transcript-selective translation inhibition in inflammation processes. Upon interferon-gamma treatment assembles into the GAIT complex which binds to stem loop-containing GAIT elements in the 3'-UTR of diverse inflammatory mRNAs (such as ceruplasmin) and suppresses their translation. Also plays a role in innate immunity by promoting TNF-induced NF-kappa-B activation and type I interferon production, via interaction with TRAF2 and TRAF3, respectively. Participates in nuclear events including transcription, RNA transport, DNA replication and apoptosis. Nuclear functions are probably due to the nitrosylase activity that mediates cysteine S-nitrosylation of nuclear target proteins such as SIRT1, HDAC2 and PRKDC.
-
基因功能參考文獻:
- This suggests that RX624 might be useful as a drug against polyglutamine pathologies, and that is could be administered exogenously without affecting target cell physiology. This protective effect was validated by the similar effect of an anti-GAPDH specific antibody. PMID: 28450110
- GAPDH can interact with proteins participating in DNA repair, such as APE1, PARP1, HMGB1, and HMGB2. In this review, the functions of GAPDH associated with DNA repair are discussed in detail. PMID: 28601074
- Nitric oxide-induced GAPDH aggregation specifically induces mitochondrial dysfunction via permeability transition pore opening, leading to cell death. PMID: 28167533
- GAPDH may act as a chaperone in heme transfer to downstream areas PMID: 28315300
- NAD(+) inhibited both GAPDH aggregation and co-aggregation with GOSPEL, a hitherto undescribed effect of the coenzyme against the consequences of oxidative stress. PMID: 27282776
- Monoclonal Antibodies DSHB-hGAPDH-2G7 and DSHB-hGAPDH-4B7 Against Human Glyceraldehyde-3-Phosphate Dehydrogenase. PMID: 27556912
- the present study suggests that GAPDH plays an important role in cancer metastasis by affecting EMT through regulation of Sp1-mediated SNAIL expression. PMID: 27878251
- Knockdown of LAMP2A, a CMA-related protein, and TSG101, an mA-related protein, significantly but only partially decreased the punctate accumulation of GAPDH-HT in AD293 cells and primary cultured rat cortical neurons. PMID: 27377049
- In conclusion, the data show that two GAPDH binders could be therapeutically relevant in the treatment of injuries stemming from hard oxidative stress. PMID: 26748070
- transient silencing of GAPDH reduces intracellular ROS and facilitates increased autophagy, thereby reducing acute hypoxia and reoxygenation injury as well as the resulting apoptosis and necrosis. PMID: 26279122
- This review will summarize our current understanding of GAPDH-mediated regulation of RNA function PMID: 26564736
- analysis of PSCA level in the peripheral blood of PC patients who underwent radical prostatectomy shows it is related to a GADPH reference level (PSCA/GAPDH ratio) PMID: 26527100
- In 60 % of patients with type 2 diabetes, a reversible inhibition of GAPDH is observed. PMID: 25189828
- The results of this study led us to conclude that in cancer cells constantly exposed to conditions of oxidative stress, the protective power of Hsp70 should be abolished by specific inhibitors of Hsp70 expression. PMID: 26713364
- GAPDH and protoporphyrinogen oxidase were shown to have higher expression in faster growing cell lines and primary tumors. Pharmacologic inhibition of GAPDH or PPOX reduced the growth of colon cancer cells in vitro PMID: 25944804
- The levels of GAPDH protein were significantly up-regulated in lung squamous cell carcinoma tissues and elevated GAPDH expression is associated with the proliferation and invasion of lung and esophageal squamous cell carcinomas. PMID: 25944651
- Genetic variants in GAPDH confer susceptibility to sporadic Parkinson's disease in a Chinese Han population. PMID: 26258539
- Data revealed that GAPDH is a phosphorylation substrate for AMPK and its interaction with Sirt1 in the nucleus. The phosphorylation and the nuclear translocation of GAPDH mediate rapid Sirt1 activation and autophagy initiation under glucose deprivation. PMID: 26626483
- findings demonstrate that dissociation of the GAPDH/Siah1 pro-apoptotic complex can block high glucose-induced pericyte apoptosis, widely considered a hallmark feature of diabetic retinopathy PMID: 26438826
- Extracellular GAPDH, or its N-terminal domain, inhibited gastric cancer cell growth. GAPDH bound to E-cadherin and downregulated the mTOR-p70S6 kinase pathway. PMID: 25785838
- suggests that GAPDH aggregates accelerate Abeta amyloidogenesis, subsequently leading to mitochondrial dysfunction and neuronal cell death in the pathogenesis of AD PMID: 26359500
- The level of GAPDH-AP DNA adduct formation depends on oxidation of the protein SH-groups; disulfide bond reduction in GAPDH leads to the loss of its ability to form the adducts with AP DNA PMID: 26203648
- The activity of GAPDS was significantly positively correlated with sperm motility and negatively with the incidence of infertility. PMID: 26255202
- The N terminus of nuclear GAPDH binds with PARP-1, and this complex promotes PARP-1 overactivation both in vitro and in vivo. PMID: 25882840
- deregulated GAPDH expression promotes NF-kappaB-dependent induction of HIF-1alpha and has a key role in lymphoma vascularization and aggressiveness PMID: 25394713
- analysis of how flux through GAPDH is a limiting step in aerobic glycolysis PMID: 25009227
- astrocytic production of D-serine is modulated by glycolytic activity via interactions between GAPDH and SRR. PMID: 25870284
- Dimer and tetramer interface residues in adenine-uridine rich elements are important for GAPDH-RNA binding. PMID: 25451934
- Siah1 is a substrate of ASK1 for activation of the GAPDH-Siah1 oxidative stress signaling cascade. PMID: 25391652
- GAPDH expression is deregulated during melanoma progression. PMID: 25550585
- Oxidation of an exposed methionine instigates the aggregation of glyceraldehyde-3-phosphate dehydrogenase. PMID: 25086035
- MZF-1 binds to and positively regulates the GAPDH promoter, indicating a role for GAPDH in calcitriol-mediated signaling. PMID: 25065746
- The protein encoded by this gene contains a peptide that displays antimicrobial activity against E. coli, P. aeruginosa, and C. albicans. PMID: 22832495
- GAPDH gene over expression in resected tumor samples is an adverse prognostic factor in non small cell lung cancer. PMID: 23988223
- This review describes the structure and localization of GAPDH in cells as well as the latest discoveries on the multifunctional properties of the enzyme. PMID: 24018444
- TG2-dependent GAPDH deamidation was suggested to participate in actin cytoskeletal remodeling. PMID: 24375405
- acetylation of GAPDH (K254) is reversibly regulated by the acetyltransferase PCAF and the deacetylase HDAC5. PMID: 24362262
- GAPDH binds to active Akt, leading to Bcl-xL increase and escape from caspase-independent cell death. PMID: 23645209
- GAPDH is a moonlighting protein that functions as a glycolytic enzyme as well as a uracil DNA glycosylase. PMID: 20727968
- Results indicate that CIB1 is uniquely positioned to regulate PI3K/AKT and MEK/ERK signaling and that simultaneous disruption of these pathways synergistically induces a nuclear GAPDH-dependent cell death. PMID: 22964641
- The data presented demonstrate that up-regulation of GAPDH positively associated genes is proportional to the malignant stage of various tumors and is associated with an unfavourable prognosis. PMID: 23620736
- In a yeast two-hybrid screen of a heart cDNA library with Mst1 as bait, glyceraldehyde-3-phosphate dehydrogenase (GAPDH) was identified as an Mst1-interacting protein. PMID: 23527007
- interaction between prolyl oligopeptidase and glyceraldehyde-3-phosphate dehydrogenase is required for cytosine arabinoside-induced glyceraldehyde-3-phosphate dehydrogenase nuclear translocation and cell death PMID: 23348613
- NleB, a bacterial glycosyltransferase, targets GAPDH function to inhibit NF-kappaB activation. PMID: 23332158
- GAPDH binds to alkylated, single-stranded, double-stranded and telomeric sequences in a drug-dependent and DNA sequence/structure-dependent manner. PMID: 23409959
- GAPDH negatively regulates HIV-1 infection and provide insights into a novel function of GAPDH in the HIV-1 life cycle and a new host defense mechanism against HIV-1 infection. PMID: 23237566
- The strength, selectivity, reversibility, and redox sensitivity of heme binding to GAPDH are consistent with it performing heme sensing or heme chaperone-like functions in cells. PMID: 22957700
- The ability of C1q to sense both human and bacterial GAPDHs sheds new insights on the role of this important defense collagen molecule in modulating the immune response. PMID: 23086952
- SIRT1 functions to retain GAPDH in the cytosol, protecting the enzyme from nuclear translocation via interaction with these two proteins. PMID: 22789853
- The present mini review summarizes recent findings relating to the extraglycolytic functions of GAPDH and highlights the significant role this enzyme plays in regulating both cell survival and apoptotic death--{REVIEW} PMID: 21895736
顯示更多
收起更多
-
亞細胞定位:Cytoplasm, cytosol. Nucleus. Cytoplasm, perinuclear region. Membrane. Cytoplasm, cytoskeleton.
-
蛋白家族:Glyceraldehyde-3-phosphate dehydrogenase family
-
數據庫鏈接:
Most popular with customers
-
-
YWHAB Recombinant Monoclonal Antibody
Applications: ELISA, WB, IHC, IF, FC
Species Reactivity: Human, Mouse, Rat
-
Phospho-YAP1 (S127) Recombinant Monoclonal Antibody
Applications: ELISA, WB, IHC
Species Reactivity: Human
-
-
-
-
-















