免疫戰場的 “偵察兵”:解密 NCR3 靶點
日期:2025-06-09 17:28:48
當前全球腫瘤免疫治療市場預計2025年超2000億美元,NCR3作為NK細胞激活“開關”,成為藥企必爭之地。跨國藥企如羅氏、默沙東依托PROTAC技術探索調控,國內藥企如藥明康德、三生國健加速重組蛋白研發,NCR3靶點正從實驗室邁向產業化,掀起研發熱潮。
1. NCR3的結構特征
自然細胞毒性觸發受體3(Natural Cytotoxicity Triggering Receptor 3,NCR3),又被稱為NKp30,其編碼基因位于人類主要組織相容性復合體(MHC)Ⅲ類區域 [1]。NCR3屬于免疫球蛋白超家族(IgSF)的Ⅰ型跨膜受體,由190個氨基酸組成,分子量約為30kDa。從結構組成來看,NCR3包含一個138個氨基酸長度的胞外免疫球蛋白樣結構域,該結構域由兩個反平行的β-折疊通過二硫鍵相連,其中含有兩個潛在的N-連接糖基化位點,這對于配體結合至關重要 [2]。NCR3中間部分為19個氨基酸長度的跨膜結構域,此結構域含有一個帶正電的精氨酸殘基,能夠與免疫受體酪氨酸激活基序(ITAM)銜接分子 CD3ζ和FcεRIγ跨膜結構域中的帶負電天冬氨酸殘基相互作用,這也是其他自然殺傷(NK)細胞活化受體的常見特征。NCR3還具有一個33個氨基酸長度的胞質尾區,該區域缺乏典型的ITAM共有序列。
2. NCR3的作用機制
2.1 激活NK細胞殺傷活性
NCR3主要表達于成熟NK細胞的細胞膜表面,作為NK細胞的一種活化受體發揮關鍵作用。當NCR3與腫瘤細胞或病毒感染細胞分泌或表達的多種非MHC配體結合時,例如硫酸乙酰肝素糖胺聚糖(HS GAGs)和B7-H6等 [2] ,會觸發一系列細胞內信號轉導事件:NCR3與配體結合后,通過跨膜結構域與CD3ζ和FcεRIγ等ITAM銜接分子相互作用,招募并激活脾酪氨酸激酶(Syk)和ζ鏈相關蛋白激酶70(Zap70)。被激活的Syk和Zap70會磷酸化跨膜銜接分子,如T細胞活化連接蛋白(LAT)和非T細胞活化連接蛋白(NTAL),進而激活磷脂酰肌醇-3激酶(PI3K)和磷脂酶C(PLC)等下游信號分子。這些信號轉導最終引發鈣離子內流,導致細胞骨架重排、細胞毒性顆粒釋放以及細胞因子分泌,促使NK細胞對靶細胞發揮殺傷作用,直接裂解腫瘤細胞或被病毒感染的細胞 [3]。
2.2 調節細胞因子分泌​
除了直接介導細胞殺傷,NCR3的活化還能調節NK細胞的細胞因子分泌功能。在NCR3與配體結合并激活下游信號通路后,NK細胞會分泌多種細胞因子,如干擾素-γ(IFN-γ)和腫瘤壞死因子-α(TNF-α)等 [4]。IFN-γ具有廣泛的免疫調節作用,能夠增強巨噬細胞的吞噬活性和抗原呈遞能力,促進Th1細胞分化,同時還能抑制病毒復制和腫瘤細胞生長 [5]。TNF-α則可以誘導腫瘤細胞凋亡,調節免疫細胞的活性和炎癥反應。NCR3通過調節這些細胞因子的分泌,在機體的免疫防御和免疫監視過程中發揮著重要的調節作用。
2.3 影響免疫細胞間相互作用​​
NCR3的功能不僅僅局限于NK細胞自身的活化和殺傷,還在免疫細胞間的相互作用中扮演重要角色。例如,NCR3與Bcl-2相關抗凋亡基因6(BAG-6,也稱為 BAT3)結合后,不僅能夠促進NK細胞對未獲得成熟表型的髓系樹突狀細胞(DC)的殺傷作用,還能誘導NK細胞釋放 TNF-α和IFN-γ,這些細胞因子可以進一步促進DC的成熟。這種免疫細胞間的相互調節有助于構建一個更加有效的免疫應答網絡,增強機體對病原體和腫瘤細胞的免疫防御能力。
3. NCR3與相關疾病研究
3.1 NCR3與腫瘤
3.1.1 腫瘤免疫逃逸與NCR3
腫瘤細胞常常會發展出多種機制來逃避機體的免疫監視,其中就包括對NK細胞功能的抑制。部分腫瘤細胞能夠表達一些配體,與NK細胞表面的抑制性受體結合,抑制NK細胞的活性。然而,NCR3在腫瘤免疫中具有獨特的作用。研究發現,腫瘤細胞表達的B7-H6作為NCR3的配體,在眾多實體瘤中呈現高表達,如在結直腸癌(CRC)中的陽性率可達98%,胃癌(GC)中的陽性率為77%,胰腺導管腺癌(PDAC)中的陽性率為63% [2]。腫瘤細胞通過表達B7-H6與NK細胞表面的NCR3結合,理論上可以激活NK細胞對腫瘤細胞的殺傷作用。但在實際腫瘤微環境中,腫瘤細胞可能通過多種方式干擾NCR3介導的免疫激活,導致免疫逃逸。例如,腫瘤微環境中的免疫抑制因子可能抑制NK細胞表面NCR3的表達或功能,使得NK細胞無法有效識別和殺傷腫瘤細胞。
3.1.2 NCR3作為腫瘤治療靶點的潛力
鑒于NCR3在腫瘤免疫中的重要作用,其成為腫瘤免疫治療的一個潛在靶點。通過增強NCR3介導的NK細胞活性,有望打破腫瘤的免疫逃逸,提高機體對腫瘤細胞的免疫殺傷能力。目前,針對NCR3的治療策略主要包括使用單克隆抗體來增強NCR3與配體的結合活性,或者通過基因治療等手段上調NK細胞表面NCR3的表達。在一些臨床前研究中,已經觀察到通過靶向NCR3能夠增強NK細胞的抗腫瘤活性,抑制腫瘤生長并延長動物模型的生存期 [6]。未來,以NCR3為靶點的腫瘤免疫治療藥物有望為腫瘤患者帶來新的治療選擇。
3.2 NCR3與感染性疾病
3.2.1 病毒感染與NCR3
NCR3在機體抵御病毒感染的過程中發揮著重要作用。例如,在痘苗病毒感染時,靶細胞對NK細胞裂解的敏感性會顯著增加,研究表明這種對靶細胞變化的識別依賴于自然細胞毒性受體NKp30(即 NCR3)、NKp44和NKp46 [4]。人類巨細胞病毒的主要被膜蛋白pp65能夠通過與NCR3相互作用,抑制NK細胞的細胞毒性,這也從反面說明了NCR3在抗病毒免疫中的關鍵地位 [7]。在慢性丙型肝炎患者中,與健康人和乙型肝炎病毒感染受試者相比,表達NKp46和NKp30的NK細胞比例顯著降低,提示NCR3表達的改變可能與病毒感染的慢性化進程相關 [8]。​
3.2.2 NCR3在抗感染免疫中的作用機制
當病毒感染細胞后,感染細胞會表達一些異常的分子或改變自身的分子表達模式,這些變化可以被NCR3識別。NCR3與感染細胞表面相應配體結合后,激活NK細胞的殺傷活性,促使NK細胞裂解被病毒感染的細胞,從而阻止病毒在體內的復制和傳播。NCR3的活化還能促進NK細胞分泌細胞因子,如IFN-γ等,這些細胞因子可以進一步調節機體的免疫反應,增強其他免疫細胞對病毒感染細胞的清除能力。通過深入研究NCR3在抗感染免疫中的作用機制,有助于開發針對病毒感染性疾病的新的免疫治療策略。
3.3 NCR3與自身免疫性疾病
在自身免疫性疾病,如類風濕關節炎和多發性硬化癥中,免疫系統會錯誤地攻擊自身健康組織,導致炎癥和組織損傷。研究發現,NK細胞在這些自身免疫性疾病的發病機制中扮演著重要角色,而NCR3作為NK細胞的活化受體,其功能狀態可能影響疾病的進程。理論上,抑制NCR3的活性可能會降低NK細胞的功能,從而減輕免疫系統對自身組織的攻擊,緩解炎癥癥狀并阻止疾病進展。相關研究表明,通過調節NCR3的活性,可以在一定程度上調節NK細胞在自身免疫性疾病中的功能,為這類疾病的治療提供了新的思路 [9]。然而,目前對于NCR3在自身免疫性疾病中的具體作用機制仍有待進一步深入研究,以確定其作為治療靶點的可行性和安全性。
4. 藥物研究進展
目前,以NCR3為靶點的藥物研發聚焦于腫瘤免疫治療與感染性疾病調控兩大前沿領域,部分小分子及生物制劑已進入臨床驗證階段。靶向NCR3的激動型抗體(如NCR3-Agonist-01)與過繼性T細胞療法聯用可顯著增強NK細胞及T細胞對實體瘤的殺傷活性,尤其在黑色素瘤、非小細胞肺癌等難治性腫瘤中展現出持久應答潛力;而拮抗型NCR3抗體(如NCR3-Antag-02)在膿毒癥及慢性病毒感染模型中,通過抑制過度激活的免疫細胞釋放促炎因子,有效降低了組織損傷風險。當前研究重點聚焦于優化抗體Fc段工程化改造以平衡療效與安全性,并探索NCR3激動劑與PD-1/L1抑制劑、CAR-T細胞療法的協同機制。此外,基于NCR3信號通路的雙特異性抗體及細胞因子融合蛋白亦處于早期開發階段,未來有望為免疫逃逸型腫瘤及免疫風暴相關疾病提供新型治療策略。
| 藥物 | 藥物類型 | 在研適應癥 | 在研機構 | 最高研發階段 |
| NCR-300 | 自然殺傷細胞療法 | 急性髓性白血病 | 復發性骨髓增生異常綜合征 | 難治性骨髓增生異常綜合征 | 骨髓增生異常綜合征 | 造血干細胞移植 | 安徽中盛溯源生物科技有限公司 | 臨床1/2期 |
| BI-765049 | 雙特異性T細胞結合器 | 結腸癌 | 胰腺導管腺癌 | 直腸癌 | 胃癌 | 頭頸部腫瘤 | 肝癌 | 非小細胞肺癌 | 胰腺癌 | 晚期惡性實體瘤 | 轉移性結直腸癌 | Boehringer Ingelheim GmbH | Boehringer Ingelheim International GmbH | 臨床1期 |
| IAN-0982 | 雙特異性NK細胞接合器 | 實體瘤 | 盛禾(中國)生物制藥有限公司 | 藥物發現/臨床前 |
| CTX-8573 | 三特異性NK細胞結合器 | 多發性骨髓瘤 | Compass Therapeutics, Inc. | 藥物發現/臨床前 |
| CTX-4419 | 雙特異性抗體 | 多發性骨髓瘤 | Compass Therapeutics LLC | Compass Therapeutics, Cambridge, MA, USA | 藥物發現/臨床前 |
5. NCR3相關產品
NCR3作為NK細胞表面重要的活化受體,其獨特的結構賦予了它在免疫調節中的關鍵作用。通過深入了解NCR3的結構、作用機制以及與相關疾病的關聯,為開發針對腫瘤、感染性疾病和自身免疫性疾病等多種疾病的新型治療策略提供了堅實的理論基礎。華美生物提供NCR3相關高質量蛋白和抗體,為廣大科研工作者研究助力。
● NCR3蛋白
(Tris-Glycine gel) Discontinuous SDS-PAGE (reduced) with 5% enrichment gel and 15% separation gel.
Activity: Measured by its binding ability in a functional ELISA. Immobilized Human NCR3 at 5 μg/ml can bind human NCR3LG1(CSB-MP737873HU-B). The EC50 is 111.3-303.1 ng/mL.
(Tris-Glycine gel) Discontinuous SDS-PAGE (reduced) with 5% enrichment gel and 15% separation gel.
Activity: Measured by its binding ability in a functional ELISA. Immobilized Macaca fascicularis NCR3 at 2 μg/ml on an Nickel Coated plate can bind Macaca fascicularis NCR3LG1(CSB-MP4942MOVd9). The EC50 is 7.429 to 11.19 ng/mL.
● NCR3抗體
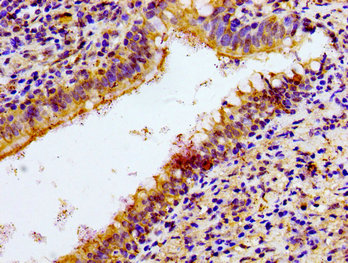
NCR3 Antibody; CSB-PA015551LA01HU
Immunohistochemistry of paraffin-embedded human lung cancer using CSB-PA015551LA01HU at dilution of 1:100
Immunofluorescence staining of HepG2 cells with CSB-PA015551LA01HU at 1:100, counter-stained with DAPI. The cells were fixed in 4% formaldehyde, permeabilized using 0.2% Triton X-100 and blocked in 10% normal Goat Serum. The cells were then incubated with the antibody overnight at 4°C. The secondary antibody was Alexa Fluor 488-congugated AffiniPure Goat Anti-Rabbit IgG(H+L).
參考文獻:
[1] Moretta A, Bottino C, Vitale M, et al. Activating receptors and coreceptors involved in human natural killer cell-mediated cytolysis[J]. Annual review of immunology, 2001, 19(1): 197-223.
[2]Brandt C S, Baratin M, Yi E C, et al. The B7 family member B7-H6 is a tumor cell ligand for the activating natural killer cell receptor NKp30 in humans[J]. Journal of Experimental Medicine, 2009, 206(7): 1495-1503
[3] von Strandmann E P, Simhadri V R, von Tresckow B, et al. Human leukocyte antigen-B-associated transcript 3 is released from tumor cells and engages the NKp30 receptor on natural killer cells[J]. Immunity, 2007, 27(6): 965-974.
[4] Sivori S, Vitale M, Morelli L, et al. p46, a novel natural killer cell–specific surface molecule that mediates cell activation[J]. The Journal of experimental medicine, 1997, 186(7): 1129-1136.
[5] Koch J, Steinle A, Watzl C, et al. Activating natural cytotoxicity receptors of natural killer cells in cancer and infection[J]. Trends in immunology, 2013, 34(4): 182-191.
[6] Fend L, Rusakiewicz S, Adam J, et al. Prognostic impact of the expression of NCR1 and NCR3 NK cell receptors and PD-L1 on advanced non-small cell lung cancer[J]. Oncoimmunology, 2017, 6(1): e1163456.
[7] Arnon T I, Achdout H, Levi O, et al. Inhibition of the NKp30 activating receptor by pp65 of human cytomegalovirus[J]. Nature immunology, 2005, 6(5): 515-523.
[8] Li H J, Yang N, Mu X, et al. Reduction of natural killer cells is associated with poor outcomes in patients with hepatitis B virus-related acute-on-chronic liver failure[J]. Hepatology International, 2022, 16(6): 1398-1411.
[9] Gao B. Identification of feature autophagy-related genes and DNA methylation profiles in systemic lupus erythematosus patients[J]. Medical science monitor: international medical journal of experimental and clinical research, 2021, 27: e933425-1.






