ALPL
ALPL(組織非特異性堿性磷酸酶,TNSALP)是一種廣泛存在于人體多種組織中的膜結合糖蛋白,具有多種生理功能。它是一種同源二聚體酶,由不同基因位點編碼,每個催化位點包含兩個鋅離子和一個鎂離子。ALPL在骨骼礦化過程中起到關鍵作用,通過水解有機磷酸酯和去除無機焦磷酸(PPi)來促進正常骨骼的形成和維護。此外,它還參與胚胎發育、細胞生長、細胞凋亡和細胞遷移等細胞事件的調節。盡管具體的信號通路未明確提及,但ALPL的功能表明它可能參與骨骼礦化、細胞信號傳導和細胞凋亡等信號通路。ALPL的異常表達或功能失調與多種疾病相關,如遺傳性低磷酸酯酶癥、某些類型的癌癥以及骨骼和牙齒的疾病,使其成為醫學研究中的關鍵靶點。
熱銷產品
ALPL Antibody (CSB-PA11999A0Rb)
驗證數據
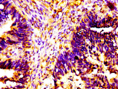
IHC image of CSB-PA11999A0Rb diluted at 1:100 and staining in paraffin-embedded human ovarian cancer performed on a Leica BondTM system. After dewaxing and hydration, antigen retrieval was mediated by high pressure in a citrate buffer (pH 6.0). Section was blocked with 10% normal goat serum 30min at RT. Then primary antibody (1% BSA) was incubated at 4°C overnight. The primary is detected by a biotinylated secondary antibody and visualized using an HRP conjugated SP system.
ALPL Antibodies
ALPL for Homo sapiens (Human)
| 產品貨號 | 產品名稱 | 種屬反應性 | 應用類型 |
|---|---|---|---|
| CSB-PA001631GA01HU | ALPL Antibody | Human,Mouse,Rat | ELISA,WB,IHC |
| CSB-PA11999A0Rb | ALPL Antibody | Human | ELISA, IHC |
| CSB-PA11999D0Rb | ALPL Antibody, Biotin conjugated | Human | ELISA |
| CSB-PA177961 | ALPL Antibody | Human | ELISA,WB |
| CSB-PA001631ESR2HU | ALPL Antibody | Human | ELISA, IHC |
| CSB-PA006129 | ALPL Antibody | Human,Rat | WB, ELISA |
| CSB-PA008482 | ALPL Antibody | Human,Mouse,Rat | WB, ELISA |
| CSB-PA034215 | ALPL Antibody | Human,Mouse,Rat | ELISA,IHC |
| CSB-PA228295 | ALPL Antibody | Human,Mouse,Rat | ELISA,IHC |
ALPL ELISA Kit
ALPL ELISA Kit for Homo sapiens (Human)
| 產品貨號 | 產品名稱 | 樣本類型 | 靈敏度 |
|---|---|---|---|
| CSB-E09033h | Human bone alkaline phosphatase,BALP ELISA Kit | serum, plasma, tissue homogenates | 7.8 ng/ml. |






