AREG
AREG(Amphiregulin),全稱雙向調節素,也被稱為雙調蛋白或表皮生長因子受體配體,是表皮生長因子家族的重要成員。AREG通過與細胞表面的EGFR蛋白結合,激活下游信號網絡,參與調控細胞增殖、分化及組織修復過程。研究發現,AREG在多種惡性腫瘤中異常活躍,例如結直腸癌、非小細胞肺癌和三陰性乳腺癌,其過表達會加速腫瘤生長、轉移及化療耐藥。AREG蛋白在哮喘、特應性皮炎等慢性炎癥疾病中可增強免疫細胞活性,并與特發性肺纖維化的異常成纖維細胞活化密切相關。目前針對AREG相關通路的治療藥物以EGFR靶向藥為主,如西妥昔單抗、帕尼單抗等已用于臨床,但直接抑制AREGF的藥物研發仍處于早期階段。近年來,聯合靶向AREG與免疫檢查點的療法在動物模型中顯示出協同抗腫瘤效果,為克服EGFR抑制劑耐藥提供了新方向。
熱銷產品
AREG Antibody (CSB-PA11339A0Rb)
驗證數據
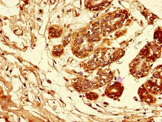
Immunohistochemistry of paraffin-embedded human breast cancer using CSB-PA11339A0Rb at dilution of 1:100
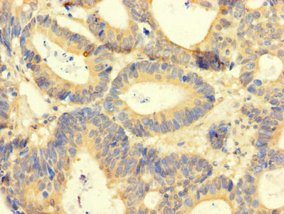
Immunohistochemistry of paraffin-embedded human colon cancer using CSB-PA11339A0Rb at dilution of 1:100
Immunofluorescent analysis of Hela cells using CSB-PA11339A0Rb at dilution of 1:100 and Alexa Fluor 488-congugated AffiniPure Goat Anti-Rabbit IgG(H+L)
AREG Antibodies
AREG for Homo sapiens (Human)
| 產品貨號 | 產品名稱 | 種屬反應性 | 應用類型 |
|---|---|---|---|
| CSB-PA001986GA01HU | AREG Antibody | Human | ELISA,WB,IHC,IF |
| CSB-PA006314 | AREG Antibody | Human | WB, ELISA |
| CSB-PA441346 | AREG Antibody | Human | ELISA,WB |
| CSB-PA694774 | AREG Antibody | Human | ELISA,WB |
| CSB-PA11339A0Rb | AREG Antibody | Human | ELISA, IHC, IF |
| CSB-PA11339B0Rb | AREG Antibody, HRP conjugated | Human | ELISA |
| CSB-PA11339C0Rb | AREG Antibody, FITC conjugated | Human | |
| CSB-PA11339D0Rb | AREG Antibody, Biotin conjugated | Human | ELISA |
AREG Proteins
AREG Proteins for Homo sapiens (Human)
| 產品貨號 | 產品名稱 | 來源 |
|---|---|---|
| CSB-YP001986HU1 CSB-EP001986HU1 CSB-BP001986HU1 CSB-MP001986HU1 CSB-EP001986HU1-B |
Recombinant Human Amphiregulin (AREG), partial | Yeast E.coli Baculovirus Mammalian cell In Vivo Biotinylation in E.coli |
| CSB-AP002641HU | Recombinant Human Amphiregulin protein (AREG), partial (Active) | E.Coli |
| CSB-CF001986HU | Recombinant Human Amphiregulin (AREG) | in vitro E.coli expression system |
AREG Proteins for Mus musculus (Mouse)
| 產品貨號 | 產品名稱 | 來源 |
|---|---|---|
| CSB-YP001986MO1 CSB-EP001986MO1 CSB-BP001986MO1 CSB-MP001986MO1 CSB-EP001986MO1-B |
Recombinant Mouse Amphiregulin (Areg), partial | Yeast E.coli Baculovirus Mammalian cell In Vivo Biotinylation in E.coli |
| CSB-CF001986MO | Recombinant Mouse Amphiregulin (Areg) | in vitro E.coli expression system |
AREG Proteins for Rattus norvegicus (Rat)
| 產品貨號 | 產品名稱 | 來源 |
|---|---|---|
| CSB-YP001986RA1 CSB-EP001986RA1 CSB-BP001986RA1 CSB-MP001986RA1 CSB-EP001986RA1-B |
Recombinant Rat Amphiregulin (Areg), partial | Yeast E.coli Baculovirus Mammalian cell In Vivo Biotinylation in E.coli |
| CSB-CF001986RA | Recombinant Rat Amphiregulin (Areg) | in vitro E.coli expression system |
AREG ELISA Kit
AREG ELISA Kit for Homo sapiens (Human)
| 產品貨號 | 產品名稱 | 樣本類型 | 靈敏度 |
|---|---|---|---|
| CSB-E04496h | Human keratinocyte autocrine factor/Amphiregulin,KAF/AR ELISA Kit | serum, plasma | 1.1 pg/mL |
AREG ELISA Kit for Rattus norvegicus (Rat)
| 產品貨號 | 產品名稱 | 樣本類型 | 靈敏度 |
|---|---|---|---|
| CSB-E07299r | Rat keratinocyte autocrine factor/Amphiregulin,KAF/AR ELISA Kit | serum, plasma, tissue homogenates | 0.31 pg/mL |






