CD99
CD99,也稱為MIC2,是一種在人類中由CD99基因編碼的細胞表面糖蛋白,具有跨膜結構,包括信號肽、胞外區、跨膜區和胞質區。CD99在多種生物學過程中發揮作用,包括細胞黏附、細胞遷移、細胞死亡、免疫過程以及與炎癥、腫瘤和癌癥相關的其他關鍵過程。它在T細胞的激活和分化、樹突細胞的分化中起作用,并可能參與調節TCR和共刺激分子的信號傳遞。CD99還可能參與細胞黏附和遷移的信號通路,以及通過IGF-1R/RAS/Rac1信號通路誘導Ewing sarcoma細胞死亡的過程。 CD99在不同類型的癌癥中的功能不同,有時作為腫瘤抑制因子,有時則具有致癌作用。它在某些癌癥中表達上調,如Ewing sarcoma,而在其他情況下,如漿細胞腫瘤中表達下調。因此,CD99已成為某些癌癥類型治療的潛在靶點,尤其是在Ewing sarcoma和T細胞急性淋巴細胞性白血病中。靶向CD99或其相互作用的信號通路為開發新的癌癥治療策略提供了新的思路,尤其在癌癥免疫療法領域顯示出其重要性。
熱銷產品
CD99 Recombinant Monoclonal Antibody (CSB-RA004973A0HU)
驗證數據
Western Blot
Positive WB detected in Jurkat whole cell lysate
All lanes CD99 antibody at 0.8μg/ml
Secondary
Goat polyclonal to rabbit IgG at 1/50000 dilution
Predicted band size: 28 KDa
Observed band size: 28 KDa
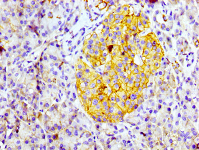
IHC image of CSB-RA004973A0HU diluted at 1:100 and staining in paraffin-embedded human pancreatic tissue performed on a Leica BondTM system. After dewaxing and hydration, antigen retrieval was mediated by high pressure in a citrate buffer (pH 6.0). Section was blocked with 10% normal goat serum 30min at RT. Then primary antibody (1% BSA) was incubated at 4℃ overnight. The primary is detected by a biotinylated secondary antibody and visualized using an HRP conjugated SP system.
Overlay histogram showing Jurkat cells stained with CSB-RA004973A0HU (red line) at 1:50. The cells were fixed with 70% Ethylalcohol (18h) and then permeabilized with 0.3% Triton X-100 for 2 min.The cells were then incubated in 1x PBS /10% normal goat serum to block non-specific protein-protein interactions followed by primary antibody for 1 h at 4℃.The secondary antibody used was FITC goat anti-rabbit IgG (H+L) at 1/200 dilution for 1 h at 4℃. Control antibody (green line) was used under the same conditions. Acquisition of >10,000 events was performed.
CD99 Antibodies
CD99 for Homo sapiens (Human)
| 產品貨號 | 產品名稱 | 種屬反應性 | 應用類型 |
|---|---|---|---|
| CSB-PA004973KA01HU | CD99 Antibody | Human | ELISA,WB,IHC |
| CSB-PA010191 | CD99 Antibody | Human | IF, ELISA |
| CSB-PA004973GA01HU | CD99 Antibody | Human | ELISA,WB,IHC |
| CSB-RA004973A0HU | CD99 Recombinant Monoclonal Antibody | Human | ELISA, WB, IHC, FC |
| CSB-MA153712 | CD99 Monoclonal Antibody | Human | ELISA, IHC |
CD99 Proteins
CD99 Proteins for Homo sapiens (Human)
| 產品貨號 | 產品名稱 | 來源 |
|---|---|---|
| CSB-YP004973HU1 CSB-EP004973HU1 CSB-BP004973HU1 CSB-MP004973HU1 CSB-EP004973HU1-B |
Recombinant Human CD99 antigen (CD99), partial | Yeast E.coli Baculovirus Mammalian cell In Vivo Biotinylation in E.coli |
| CSB-CF004973HU | Recombinant Human CD99 antigen (CD99) | in vitro E.coli expression system |
CD99 Proteins for Mus musculus (Mouse)
| 產品貨號 | 產品名稱 | 來源 |
|---|---|---|
| CSB-YP855325MO CSB-EP855325MO CSB-BP855325MO CSB-MP855325MO CSB-EP855325MO-B |
Recombinant Mouse CD99 antigen (Cd99), partial | Yeast E.coli Baculovirus Mammalian cell In Vivo Biotinylation in E.coli |






