CFD
補體因子D(Complement factor D,CFD)又稱脂肪細胞特異性分泌因子Adipsin,是一種絲氨酸蛋白酶,屬于補體系統旁路途徑的核心蛋白酶。CFD由脂肪細胞及肝臟合成,在血液中以低濃度持續存在,通過特異性切割補體因子B激活補體級聯反應,形成C3轉化酶放大炎癥信號。CFD異常表達與年齡相關性黃斑變性密切相關,其功能與經典途徑中的C1類似,在C3轉化酶的激活中發揮著關鍵作用。目前針對CFD的單克隆抗體藥物APL-2已完成二期臨床試驗,通過抑制補體旁路途徑顯著降低地理性黃斑變性患者的炎癥反應。此外,阿斯利康的CFD抑制劑Danicopan已獲FDA批準上市,用于C5抗體聯合治療陣發性夜間血紅蛋白尿的血管外溶血,展現出良好的臨床效果。隨著對CFD功能及病理機制研究的深入,未來有望開發出更多針對CFD的靶向藥物,為相關疾病的治療提供新的策略。
熱銷產品
Recombinant Human Complement factor D(CFD) (Active) (CSB-MP005271HU)
驗證數據
(Tris-Glycine gel) Discontinuous SDS-PAGE (reduced) with 5% enrichment gel and 15% separation gel.
Activity
Measured by its binding ability in a functional ELISA. Immobilized Human CFD at 2 μg/ml can bind Anti-CFD recombinant antibody (CSB-RA005271MA1HU). The EC50 is 31.86-39.21 ng/mL.
CFD Antibody (CSB-PA005271ESR2HU)
驗證數據
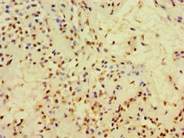
Immunohistochemistry of paraffin-embedded human breast cancer using CSB-PA005271ESR2HU at dilution of 1:100
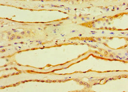
Immunohistochemistry of paraffin-embedded human kidney tissue using CSB-PA005271ESR2HU at dilution of 1:100
Human Adipsin ELISA Kit (CSB-E14369h)
驗證數據
貨號:CSB-E14369h
規格:96T/48T
靈敏度:0.078 ng/mL
檢測范圍:0.312 ng/mL-20 ng/mL
These standard curves are provided for demonstration only. A standard curve should be generated for each set of samples assayed.
CFD Antibodies
CFD for Homo sapiens (Human)
| 產品貨號 | 產品名稱 | 種屬反應性 | 應用類型 |
|---|---|---|---|
| CSB-PA005271ESR2HU | CFD Antibody | Human | ELISA, IHC |
CFD Proteins
CFD Proteins for Rattus norvegicus (Rat)
| 產品貨號 | 產品名稱 | 來源 |
|---|---|---|
| CSB-YP005271RA | Recombinant Rat Complement factor D (Cfd) | Yeast |
| CSB-EP005271RA | Recombinant Rat Complement factor D (Cfd) | E.coli |
| CSB-BP005271RA CSB-EP005271RA-B |
Recombinant Rat Complement factor D (Cfd) | Baculovirus In Vivo Biotinylation in E.coli |
| CSB-MP005271RA | Recombinant Rat Complement factor D (Cfd) | Mammalian cell |
| CSB-MP005271RAd9 | Recombinant Rat Complement factor D (Cfd) | Mammalian cell |
CFD Proteins for Sus scrofa (Pig)
| 產品貨號 | 產品名稱 | 來源 |
|---|---|---|
| CSB-YP005271PI CSB-EP005271PI CSB-BP005271PI CSB-MP005271PI CSB-EP005271PI-B |
Recombinant Pig Complement factor D (CFD) | Yeast E.coli Baculovirus Mammalian cell In Vivo Biotinylation in E.coli |
CFD Proteins for Homo sapiens (Human)
| 產品貨號 | 產品名稱 | 來源 |
|---|---|---|
| CSB-YP005271HU CSB-EP005271HU CSB-BP005271HU CSB-EP005271HU-B |
Recombinant Human Complement factor D (CFD) | Yeast E.coli Baculovirus In Vivo Biotinylation in E.coli |
| CSB-MP005271HU | Recombinant Human Complement factor D(CFD) (Active) | Mammalian cell |
CFD Proteins for Mus musculus (Mouse)
| 產品貨號 | 產品名稱 | 來源 |
|---|---|---|
| CSB-YP005271MO CSB-EP005271MO CSB-BP005271MO CSB-MP005271MO CSB-EP005271MO-B |
Recombinant Mouse Complement factor D (Cfd) | Yeast E.coli Baculovirus Mammalian cell In Vivo Biotinylation in E.coli |
CFD Proteins for Bos taurus (Bovine)
| 產品貨號 | 產品名稱 | 來源 |
|---|---|---|
| CSB-YP660982BO CSB-EP660982BO CSB-BP660982BO CSB-MP660982BO CSB-EP660982BO-B |
Recombinant Bovine Complement factor D (CFD) | Yeast E.coli Baculovirus Mammalian cell In Vivo Biotinylation in E.coli |
CFD ELISA Kit
CFD ELISA Kit for Homo sapiens (Human)
| 產品貨號 | 產品名稱 | 樣本類型 | 靈敏度 |
|---|---|---|---|
| CSB-E14369h | Human Adipsin ELISA Kit | serum, plasma, tissue homogenates | 0.078 ng/mL |






