ECH1
ECH1,全稱為烯酰輔酶A水合酶1,是一種在脂肪酸β-氧化途徑中起關鍵作用的酶。它能夠將特定的二烯酰輔酶A異構化為另一種形式,從而在代謝過程中起到平衡作用。ECH1的活性對于維持輔酶A連接中間體的結構重排至關重要,對細胞代謝具有重要作用。在疾病研究中,ECH1與腫瘤轉移有關,尤其是在卵巢癌的轉移過程中,其表達水平與腫瘤細胞的轉移能力相關。目前,針對ECH1的研究主要集中在開發抑制其活性的藥物,以用于治療腫瘤等疾病。
熱銷產品
驗證數據
 
 
                                                        (Tris-Glycine gel) Discontinuous SDS-PAGE (reduced) with 5% enrichment gel and 15% separation gel.
ECH1 Antibody (CSB-PA621643LA01HU)
驗證數據
 
 
                                                        Western Blot
Positive WB detected in: HepG2 whole cell lysate, A549 whole cell lysate, Hela whole cell lysate
All lanes: ECH1 antibody at 2.5μg/ml
Secondary
Goat polyclonal to rabbit IgG at 1/50000 dilution
Predicted band size: 36 kDa
Observed band size: 36 kDa
 
 
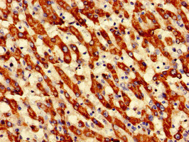
                                                        Immunohistochemistry of paraffin-embedded human liver cancer using CSB-PA621643LA01HU at dilution of 1:100
 
 
                                                        Immunofluorescent analysis of HepG2 cells using CSB-PA621643LA01HU at dilution of 1:100 and Alexa Fluor 488-congugated AffiniPure Goat Anti-Rabbit IgG(H+L)
ECH1 Antibodies
ECH1 for Homo sapiens (Human)
| 產品貨號 | 產品名稱 | 種屬反應性 | 應用類型 | 
|---|---|---|---|
| CSB-PA007378GA01HU | ECH1 Antibody | Human,Mouse,Rat | ELISA,WB,IHC | 
| CSB-PA621643LA01HU | ECH1 Antibody | Human | ELISA, WB, IHC, IF | 
| CSB-PA621643LB01HU | ECH1 Antibody, HRP conjugated | Human | ELISA | 
ECH1 Proteins
ECH1 Proteins for Homo sapiens (Human)
| 產品貨號 | 產品名稱 | 來源 | 
|---|---|---|
| CSB-YP621643HU CSB-BP621643HU CSB-MP621643HU CSB-EP621643HU-B | Recombinant Human Delta (3,5)-Delta (2,4)-dienoyl-CoA isomerase, mitochondrial (ECH1) | Yeast Baculovirus Mammalian cell In Vivo Biotinylation in E.coli | 
| CSB-EP621643HU | Recombinant Human Delta (3,5)-Delta (2,4)-dienoyl-CoA isomerase, mitochondrial (ECH1) | E.coli | 
 
 





 
         
           
  
          
