FGFR1
FGFR1,即成纖維細胞生長因子受體1,它是一種膜結合蛋白,由FGFR1基因編碼。FGFR1廣泛存在于多種組織中,是成纖維細胞生長因子(FGF)家族的高親和力受體。其作用機制是FGF與其結合后,FGFR1發生二聚化或寡聚化,激活其內在的酪氨酸激酶活性,進而觸發下游的信號傳導途徑,如RAS/MAPK、PI3K/AKT等。這些信號通路參與調節細胞的增殖、分化、遷移和存活。FGFR1的生物學意義在于其在胚胎發育、組織修復、血管生成和腫瘤發生等過程中的重要作用。FGFR1的異常激活與多種癌癥的發生發展密切相關,因此,FGFR1也是腫瘤治療的潛在靶點。
熱銷產品
Recombinant Human Fibroblast growth factor receptor 1 (FGFR1), partial (CSB-YP008642HU)
驗證數據
 
 
                                                        (Tris-Glycine gel) Discontinuous SDS-PAGE (reduced) with 5% enrichment gel and 15% separation gel.
FGFR1 Recombinant Monoclonal Antibody (CSB-RA008642MA1HU)
驗證數據
 
 
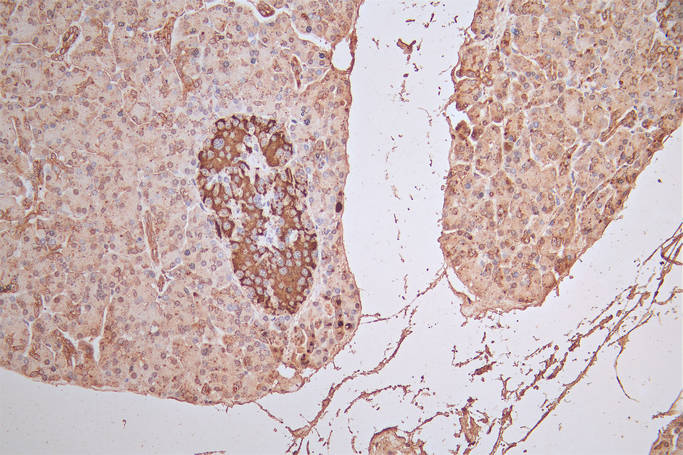
                                                        IHC image of CSB-RA008642MA1HU diluted at 1:100 and staining in paraffin-embedded human pancreatic tissue performed on a Leica BondTM system. After dewaxing and hydration, antigen retrieval was mediated by high pressure in a citrate buffer (pH 6.0). Section was blocked with 10% normal goat serum 30min at RT. Then primary antibody (1% BSA) was incubated at 4°C overnight. The primary is detected by a Goat anti-Rabbit IgG labeled by HRP and visualized using 0.05% DAB.
 
 
                                                        Immunofluorescence staining of Hela cell with CSB-RA008642MA1HU at 1:20, counter-stained with DAPI. The cells were fixed in 4% formaldehyde and blocked in 10% normal Goat Serum. The cells were then incubated with the antibody overnight at 4C. The secondary antibody was FITC-conjugated AffiniPure Goat Anti-Rabbit IgG(H+L).
 
 
                                                        Overlay Peak curve showing MCF7 cells stained with CSB-RA008642MA1HU (red line) at 1:100. The cells were fixed in 4% formaldehyde (15min) and permeated by 0.2% TritonX-100 for 10min. Then 10% normal goat serum to block non-specific protein-protein interactions followed by the antibody (1ug/1*106cells) for 45min at 4℃. The secondary antibody used was FITC-conjugated Goat Anti-Rabbit IgG(H+L) at 1/200 dilution for 35 min at 4°C. Isotype control antibody (green line) was rabbit IgG1 (1μg/1*106cells) used under the same conditions. Acquisition of >10,026 events was performed.
FGFR1 Antibodies
FGFR1 for Homo sapiens (Human)
| 產品貨號 | 產品名稱 | 種屬反應性 | 應用類型 | 
|---|---|---|---|
| CSB-PA178976 | FGFR1 (Ab-721) Antibody | Human,Mouse,Rat | ELISA,WB | 
| CSB-PA097377 | Phospho-FGFR1 (Tyr654) Antibody | Human,Mouse,Rat | ELISA,WB | 
| CSB-PA138978 | Phospho-FGFR1 (Tyr766) Antibody | Human,Mouse,Rat | ELISA,WB | 
| CSB-PA273913 | FGFR1 (Ab-766) Antibody | Human,Mouse,Rat | ELISA,WB,IHC | 
| CSB-PA000662 | Phospho-FGFR1 (Y154) Antibody | Human,Mouse,Rat | WB, IF, ELISA | 
| CSB-PA002537 | FGFR1 Antibody | Human,Mouse,Rat | WB, IF, ELISA | 
| CSB-PA002538 | FGFR1 Antibody | Human,Mouse,Rat | WB, IHC, ELISA | 
| CSB-PA008243 | Phospho-FGFR1 (Y654) Antibody | Human,Mouse,Rat | WB, IF, ELISA | 
| CSB-PA008244 | Phospho-FGFR1 (Y766) Antibody | Human,Mouse,Rat | WB, IHC, ELISA | 
| CSB-PA008245 | FGFR1 Antibody | Human,Mouse,Rat | WB, IF, ELISA | 
| CSB-PA086441 | FGFR1 Antibody | Human,Mouse,Rat | ELISA,IHC | 
| CSB-PA008642LA01HU | FGFR1 Antibody | Human | ELISA, WB, IF | 
| CSB-PA008642LB01HU | FGFR1 Antibody, HRP conjugated | Human | ELISA | 
| CSB-PA008642LC01HU | FGFR1 Antibody, FITC conjugated | Human | |
| CSB-PA008642LD01HU | FGFR1 Antibody, Biotin conjugated | Human | ELISA | 
| CSB-RA008642MA1HU | FGFR1 Recombinant Monoclonal Antibody | Human | ELISA, IHC, IF, FC | 
FGFR1 Proteins
FGFR1 Proteins for Rattus norvegicus (Rat)
| 產品貨號 | 產品名稱 | 來源 | 
|---|---|---|
| CSB-YP008642RA CSB-EP008642RA CSB-BP008642RA CSB-MP008642RA CSB-EP008642RA-B | Recombinant Rat Fibroblast growth factor receptor 1 (Fgfr1), partial | Yeast E.coli Baculovirus Mammalian cell In Vivo Biotinylation in E.coli | 
FGFR1 Proteins for Homo sapiens (Human)
| 產品貨號 | 產品名稱 | 來源 | 
|---|---|---|
| CSB-EP008642HU CSB-BP008642HU CSB-MP008642HU CSB-EP008642HU-B | Recombinant Human Fibroblast growth factor receptor 1 (FGFR1), partial | E.coli Baculovirus Mammalian cell In Vivo Biotinylation in E.coli | 
| CSB-EP008642HUa0 | Recombinant Human Fibroblast growth factor receptor 1 (FGFR1), partial | E.coli | 
| CSB-YP008642HUa4 | Recombinant Human Fibroblast growth factor receptor 1 (FGFR1), partial | Yeast | 
| CSB-EP008642HU1 | Recombinant Human Fibroblast growth factor receptor 1 (FGFR1), partial | E.coli | 
| CSB-YP008642HU | Recombinant Human Fibroblast growth factor receptor 1 (FGFR1), partial | Yeast | 
| CSB-MP008642HUc7 | Recombinant Human Fibroblast growth factor receptor 1 (FGFR1), partial | Mammalian cell | 
FGFR1 Proteins for Gallus gallus (Chicken)
| 產品貨號 | 產品名稱 | 來源 | 
|---|---|---|
| CSB-YP008642CH1 CSB-EP008642CH1 CSB-BP008642CH1 CSB-MP008642CH1 CSB-EP008642CH1-B | Recombinant Chicken Fibroblast growth factor receptor 1 (FGFR1), partial | Yeast E.coli Baculovirus Mammalian cell In Vivo Biotinylation in E.coli | 
| CSB-CF008642CH | Recombinant Chicken Fibroblast growth factor receptor 1 (FGFR1) | in vitro E.coli expression system | 
FGFR1 Proteins for Mus musculus (Mouse)
| 產品貨號 | 產品名稱 | 來源 | 
|---|---|---|
| CSB-YP008642MO CSB-EP008642MO CSB-BP008642MO CSB-MP008642MO CSB-EP008642MO-B | Recombinant Mouse Fibroblast growth factor receptor 1 (Fgfr1), partial | Yeast E.coli Baculovirus Mammalian cell In Vivo Biotinylation in E.coli | 
FGFR1 Proteins for Xenopus laevis (African clawed frog)
| 產品貨號 | 產品名稱 | 來源 | 
|---|---|---|
| CSB-YP008642XBE1 CSB-EP008642XBE1 CSB-BP008642XBE1 CSB-MP008642XBE1 CSB-EP008642XBE1-B | Recombinant Xenopus laevis Fibroblast growth factor receptor 1 (fgfr1), partial | Yeast E.coli Baculovirus Mammalian cell In Vivo Biotinylation in E.coli | 
| CSB-CF008642XBE | Recombinant Xenopus laevis Fibroblast growth factor receptor 1 (fgfr1) | in vitro E.coli expression system | 
FGFR1 Proteins for Pleurodeles waltl (Iberian ribbed newt)
| 產品貨號 | 產品名稱 | 來源 | 
|---|---|---|
| CSB-YP008642EWZ CSB-EP008642EWZ CSB-BP008642EWZ CSB-MP008642EWZ CSB-EP008642EWZ-B | Recombinant Pleurodeles waltl Fibroblast growth factor receptor 1 (FGFR1), partial | Yeast E.coli Baculovirus Mammalian cell In Vivo Biotinylation in E.coli | 
FGFR1 Proteins for Dugesia japonica (Planarian)
| 產品貨號 | 產品名稱 | 來源 | 
|---|---|---|
| CSB-YP008642DMU CSB-EP008642DMU CSB-BP008642DMU CSB-MP008642DMU CSB-EP008642DMU-B | Recombinant Dugesia japonica Fibroblast growth factor receptor 1 (FGFR1), partial | Yeast E.coli Baculovirus Mammalian cell In Vivo Biotinylation in E.coli | 
 
 





 
         
           
  
          
