IL24
IL24,即白細胞介素24,它是一種由T細胞、B細胞、巨噬細胞和樹突狀細胞等多種免疫細胞產生的細胞因子。IL24屬于IL-10細胞因子家族,通過與特異性受體復合體結合,如IL20RA/IL20RB或IL20RB/IL22RA1,激活下游的JAK-STAT信號通路,進而調控免疫反應和細胞增殖。其作用機制包括促進腫瘤細胞凋亡、抑制腫瘤血管生成,以及增強對放化療的敏感性。在生物學意義上,IL24具有抗腫瘤活性,其表達水平與多種腫瘤的低惡性和轉移性相關,是腫瘤治療和免疫調節的潛在靶點。
熱銷產品
IL24 Antibody (CSB-PA613378LA01HU)
驗證數據
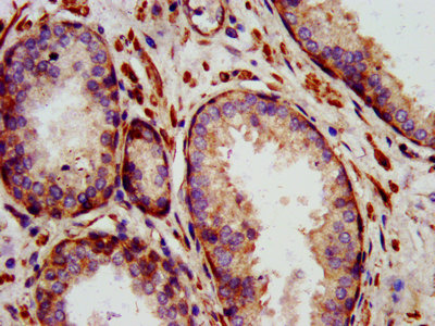
IHC image of CSB-PA613378LA01HU diluted at 1:1400 and staining in paraffin-embedded human prostate cancer performed on a Leica BondTM system. After dewaxing and hydration, antigen retrieval was mediated by high pressure in a citrate buffer (pH 6.0). Section was blocked with 10% normal goat serum 30min at RT. Then primary antibody (1% BSA) was incubated at 4°C overnight. The primary is detected by a biotinylated secondary antibody and visualized using an HRP conjugated SP system.
IHC image of CSB-PA613378LA01HU diluted at 1:1400 and staining in paraffin-embedded human melanoma performed on a Leica BondTM system. After dewaxing and hydration, antigen retrieval was mediated by high pressure in a citrate buffer (pH 6.0). Section was blocked with 10% normal goat serum 30min at RT. Then primary antibody (1% BSA) was incubated at 4°C overnight. The primary is detected by a biotinylated secondary antibody and visualized using an HRP conjugated SP system.
IL24 Antibodies
IL24 for Homo sapiens (Human)
| 產品貨號 | 產品名稱 | 種屬反應性 | 應用類型 |
|---|---|---|---|
| CSB-PA011640GA01HU | IL24 Antibody | Human,Mouse | ELISA,WB |
| CSB-PA005671 | IL24 Antibody | Human | WB, ELISA |
| CSB-PA613378LA01HU | IL24 Antibody | Human | ELISA, IHC |
| CSB-PA613378LB01HU | IL24 Antibody, HRP conjugated | Human | ELISA |
| CSB-PA613378LC01HU | IL24 Antibody, FITC conjugated | Human | |
| CSB-PA613378LD01HU | IL24 Antibody, Biotin conjugated | Human | ELISA |
IL24 Proteins
IL24 Proteins for Homo sapiens (Human)
| 產品貨號 | 產品名稱 | 來源 |
|---|---|---|
| CSB-YP613378HU CSB-EP613378HU CSB-BP613378HU CSB-MP613378HU CSB-EP613378HU-B |
Recombinant Human Interleukin-24 (IL24) | Yeast E.coli Baculovirus Mammalian cell In Vivo Biotinylation in E.coli |
IL24 Proteins for Mus musculus (Mouse)
| 產品貨號 | 產品名稱 | 來源 |
|---|---|---|
| CSB-YP821683MO CSB-EP821683MO CSB-BP821683MO CSB-MP821683MO CSB-EP821683MO-B |
Recombinant Mouse Interleukin-24 (Il24) | Yeast E.coli Baculovirus Mammalian cell In Vivo Biotinylation in E.coli |
IL24 Proteins for Rattus norvegicus (Rat)
| 產品貨號 | 產品名稱 | 來源 |
|---|---|---|
| CSB-YP881300RA CSB-EP881300RA CSB-BP881300RA CSB-MP881300RA CSB-EP881300RA-B |
Recombinant Rat Interleukin-24 (Il24) | Yeast E.coli Baculovirus Mammalian cell In Vivo Biotinylation in E.coli |
IL24 ELISA Kit
IL24 ELISA Kit for Homo sapiens (Human)
| 產品貨號 | 產品名稱 | 樣本類型 | 靈敏度 |
|---|---|---|---|
| CSB-E15840h | Human Interleukin 24(IL-24)ELISA Kit | serum, plasma, tissue homogenates | 0.078 ng/ml |






