NMT2
NMT2,作為另一種N-肉豆蔻酰轉移酶,同樣在細胞的生命活動中扮演著不可或缺的角色。關于其結構,NMT2具有與NMT1相似的三維結構,這使得它能夠執行類似的生物功能,即催化蛋白質的N-肉豆蔻酰化修飾。NMT2主要負責催化特定的蛋白質進行N-末端豆蔻酰化,這是一種重要的脂質修飾過程,能夠影響信號蛋白的功能和定位。這種修飾在細胞信號轉導、蛋白質定位以及與其他分子的相互作用中起到關鍵作用。與NMT1類似,NMT2的異常表達或功能失調也可能與疾病的發生和發展密切相關。NMT2通過其催化活性,影響信號蛋白的豆蔻酰化狀態,進而調控信號通路的激活或抑制。這些信號通路涉及細胞的增殖、分化、凋亡等多個關鍵過程。NMT2還可能與其他分子和蛋白質相互作用,形成復雜的調控網絡。這些相互作用可能涉及多種信號通路的交叉對話,從而實現對細胞功能的精細調控。
熱銷產品
驗證數據
Immunoprecipitating NMT2 in HepG2 whole cell lysate
Lane 1: Rabbit control IgG instead of (1μg) instead of CSB-PA015901DSR1HU in HepG2 whole cell lysate. For western blotting, a HRP-conjugated anti-rabbit IgG, specific to the non-reduced form of IgG was used as the Secondary antibody (1/50000)
Lane 2: CSB-PA015901DSR1HU (4μg) + HepG2 whole cell lysate (500μg)
Lane 3: HepG2 whole cell lysate (20μg)
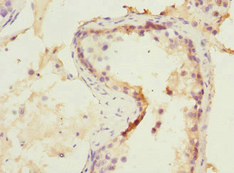
Immunohistochemistry of paraffin-embedded human testis tissue using CSB-PA015901DSR1HU at dilution of 1:100
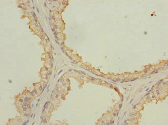
Immunohistochemistry of paraffin-embedded human prostate cancer using CSB-PA015901DSR1HU at dilution of 1:100
NMT2 Antibodies
NMT2 for Homo sapiens (Human)
| 產品貨號 | 產品名稱 | 種屬反應性 | 應用類型 |
|---|---|---|---|
| CSB-PA213831 | NMT2 Antibody | Human,Mouse | ELISA,IHC |
| CSB-PA158660 | NMT2 Antibody | Human,Mouse | ELISA,WB,IHC |
| CSB-PA015901DSR1HU | NMT2 Antibody | Human | ELISA, IHC, IP |
| CSB-PA015901DSR2HU | NMT2 Antibody | Human | ELISA, WB, IHC, IP |
NMT2 Proteins
NMT2 Proteins for Homo sapiens (Human)
| 產品貨號 | 產品名稱 | 來源 |
|---|---|---|
| CSB-YP015901HU CSB-BP015901HU CSB-MP015901HU CSB-EP015901HU-B |
Recombinant Human Glycylpeptide N-tetradecanoyltransferase 2 (NMT2) | Yeast Baculovirus Mammalian cell In Vivo Biotinylation in E.coli |






