NPHS1
NPHS1,別稱CNF、NPHN,是腎小球濾過屏障結構中的關鍵蛋白,位于足細胞裂孔隔膜。該蛋白在維持腎小球濾過功能中起著至關重要的作用,其缺陷與芬蘭型先天性腎病綜合癥相關,導致蛋白質大量泄漏至尿液中,引發蛋白尿。NPHS1蛋白的表達和功能異常,不僅影響腎小球的正常過濾功能,還可能對心血管系統的發展造成影響。目前,針對NPHS1相關疾病的藥物研發主要集中在抗-Nephrin抗體,這類抗體在動物模型中顯示出誘導蛋白尿和腎病綜合征的潛力。然而,在人體內的應用仍需謹慎評估,因為抗-Nephrin抗體可能成為腎移植后復發的發病機制之一。此外,對Nephrin蛋白不同表位和抗體的相互作用機制研究,以及開發針對抗-Nephrin抗體陽性患者的特異性藥物,是未來研究的重點方向。
熱銷產品
Recombinant Human Nephrin (NPHS1), partial (CSB-EP015988HU)
驗證數據
 
 
                                                        (Tris-Glycine gel) Discontinuous SDS-PAGE (reduced) with 5% enrichment gel and 15% separation gel.
NPHS1 Antibody (CSB-PA015988LA01HU)
驗證數據
 
 
                                                        WPositive WB detected in: JK whole cell lysate30μg), U251 whole cell lysate(30μg), MCF7 whole cell lysate(30μg), 293T whole cell lysate(30μg)
 All lanes: NPHS1 antibody at 1:1000
 Secondary
 Goat polyclonal to rabbit IgG at 1/50000 dilution
 Predicted band size: 135,131 kDa
 Observed band size: 135 kDa
 Exposure time:120s
 
 
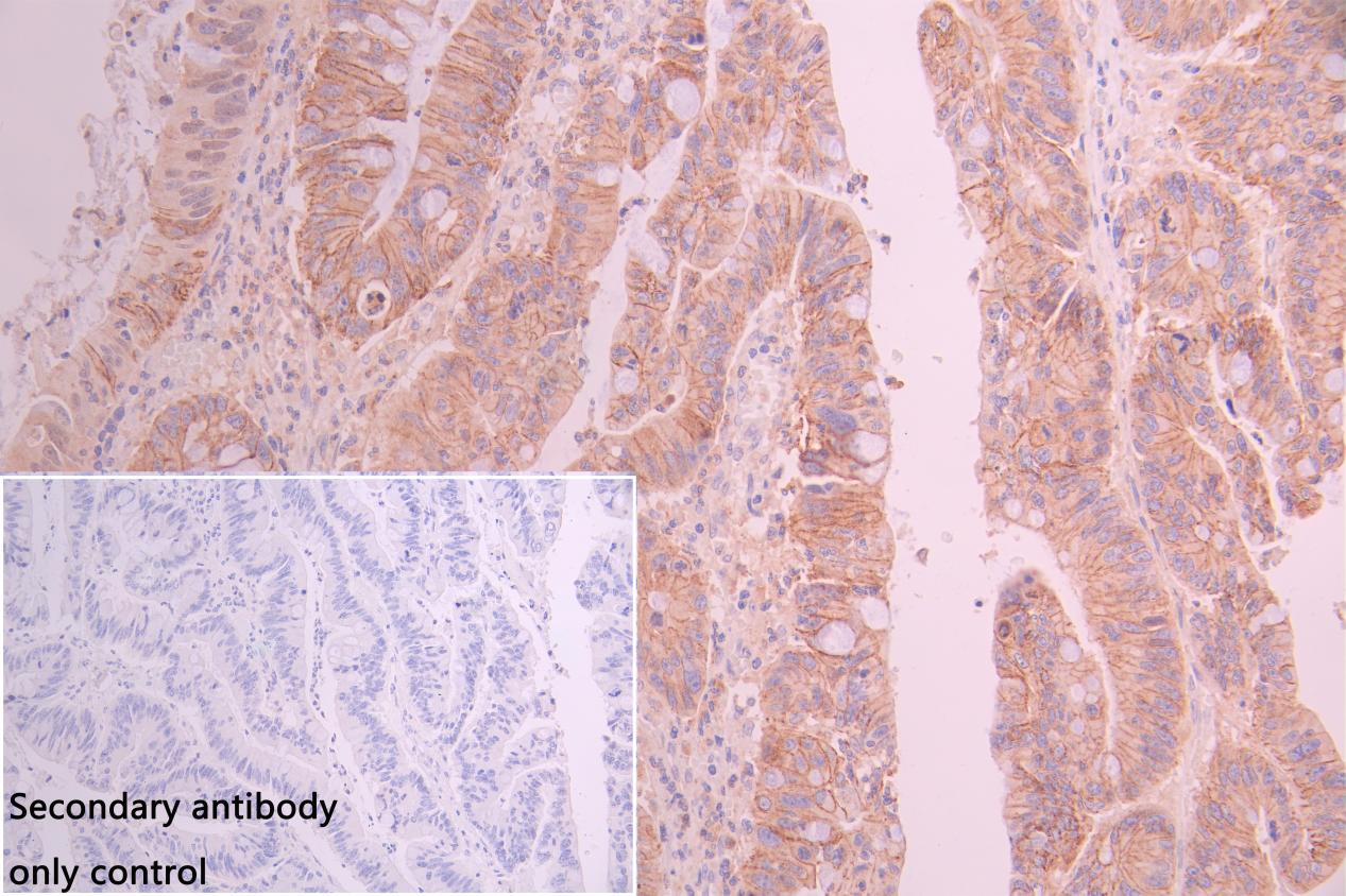
                                                        IHC image of CSB-PA015988LA01HU diluted at 1:100 and staining in paraffin-embedded human colorectal cancer performed on a Leica BondTM system. After dewaxing and hydration, antigen retrieval was mediated by high pressure in a citrate buffer (pH 6.0). Section was blocked with 10% normal goat serum 30min at RT. Then primary antibody (1% BSA) was incubated at 4°C overnight. The primary is detected by a Goat anti-rabbit polymer IgG labeled by HRP and visualized using 0.05% DAB. Secondary antibody only control: uses 1% BSA instead of primary antibody
 
 
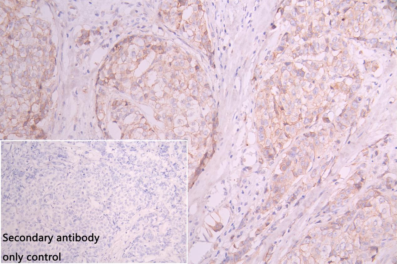
                                                        IHC image of CSB-PA015988LA01HU diluted at 1:100 and staining in paraffin-embedded human breast cancer performed on a Leica BondTM system. After dewaxing and hydration, antigen retrieval was mediated by high pressure in a citrate buffer (pH 6.0). Section was blocked with 10% normal goat serum 30min at RT. Then primary antibody (1% BSA) was incubated at 4°C overnight. The primary is detected by a Goat anti-rabbit polymer IgG labeled by HRP and visualized using 0.05% DAB. Secondary antibody only control: uses 1% BSA instead of primary antibody
Human Nephrin ELISA Kit (CSB-E09886h)
驗證數據
 
 貨號:CSB-E09886h
規格:96T/48T
靈敏度:0.39 ng/ml
檢測范圍:1.56 ng/ml-100ng/ml
These standard curves are provided for demonstration only. A standard curve should be generated for each set of samples assayed.
NPHS1 Antibodies
NPHS1 for Homo sapiens (Human)
| 產品貨號 | 產品名稱 | 種屬反應性 | 應用類型 | 
|---|---|---|---|
| CSB-PA015988LA01HU | NPHS1 Antibody | Human | ELISA, WB, IHC | 
| CSB-PA015988LB01HU | NPHS1 Antibody, HRP conjugated | Human | ELISA | 
| CSB-PA015988LD01HU | NPHS1 Antibody, Biotin conjugated | Human | ELISA | 
| CSB-PA020148 | NPHS1 Antibody | Human,Mouse,Rat | IHC, ELISA | 
| CSB-PA909441 | NPHS1 Antibody | Human,Mouse,Rat | ELISA,WB,IHC | 
| CSB-PA967591 | NPHS1 Antibody | Human,Mouse,Rat | ELISA,WB,IHC | 
NPHS1 Proteins
NPHS1 Proteins for Homo sapiens (Human)
| 產品貨號 | 產品名稱 | 來源 | 
|---|---|---|
| CSB-EP015988HU | Recombinant Human Nephrin (NPHS1), partial | E.coli | 
NPHS1 Proteins for Homo sapiens (Human)
| 產品貨號 | 產品名稱 | 來源 | 
|---|---|---|
| CSB-MP015988HU | Recombinant Human Nephrin (NPHS1), partial | Mammalian cell | 
NPHS1 ELISA Kit
NPHS1 ELISA Kit for Homo sapiens (Human)
| 產品貨號 | 產品名稱 | 樣本類型 | 靈敏度 | 
|---|---|---|---|
| CSB-E09886h | Human Nephrin ELISA Kit | serum, plasma, tissue homogenates | 0.39 ng/ml | 
 
 





 
         
           
  
          
