TGFB2
TGFB2,全稱為轉化生長因子β2,是一種在細胞遷移、增殖和分化中起關鍵作用的蛋白。它屬于TGF-β超家族,與TGF-β受體結合,調節細胞生長和免疫反應。TGFB2在多種生理過程中發揮重要作用,包括胚胎發育和免疫耐受。該蛋白與多種疾病相關,如癌癥和纖維化,因此,針對TGFB2的藥物研發成為研究熱點。目前,已有多種針對TGFB2的藥物處于研發階段,旨在治療相關疾病。
熱銷產品
Recombinant Human Transforming growth factor beta-2 (TGFB2), partial (CSB-EP023448HU1)
驗證數據
(Tris-Glycine gel) Discontinuous SDS-PAGE (reduced) with 5% enrichment gel and 15% separation gel.
Based on the SEQUEST from database of E.coli host and target protein, the LC-MS/MS Analysis result of CSB-EP023448HU1 could indicate that this peptide derived from E.coli-expressed Homo sapiens (Human) TGFB2.
Based on the SEQUEST from database of E.coli host and target protein, the LC-MS/MS Analysis result of CSB-EP023448HU1 could indicate that this peptide derived from E.coli-expressed Homo sapiens (Human) TGFB2.
TGFB2 Antibody (CSB-PA07319A0Rb)
驗證數據
Western blot
All lanes: TGFB2 antibody at 3µg/ml
Lane 1: Mouse heart tissue
Lane 2: Mouse skeletal muscle tissue
Secondary
Goat polyclonal to rabbit IgG at 1/10000 dilution
Predicted band size: 48, 51 kDa
Observed band size: 48 kDa
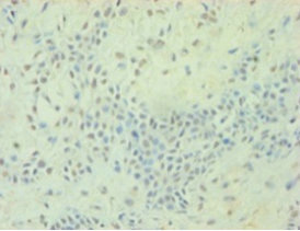
Immunohistochemistry of paraffin-embedded human breast cancer using CSB-PA07319A0Rb at dilution of 1:100
TGFB2 Antibodies
TGFB2 for Homo sapiens (Human)
| 產品貨號 | 產品名稱 | 種屬反應性 | 應用類型 |
|---|---|---|---|
| CSB-PA07315B0Rb | TGFB2 Antibody, HRP conjugated | Human | ELISA |
| CSB-PA07315D0Rb | TGFB2 Antibody, Biotin conjugated | Human | ELISA |
| CSB-PA023448GA01HU | TGFB2 Antibody | Human,Mouse,Rat | ELISA,WB |
| CSB-PA07315A0Rb | TGFB2 Antibody | Human | ELISA, IHC |
| CSB-PA07319A0Rb | TGFB2 Antibody | Human, Mouse | ELISA, WB, IHC |
| CSB-PA07319D0Rb | TGFB2 Antibody, Biotin conjugated | Human | ELISA |
| CSB-PA004282 | TGFB2 Antibody | Human,Mouse,Rat | WB, IHC, ELISA |
| CSB-PA274133 | TGFB2 Antibody | Human,Mouse,Rat | ELISA,IHC |
| CSB-PA056705 | TGFB2 Antibody | Human,Mouse,Rat | ELISA,IHC |
TGFB2 Proteins
TGFB2 Proteins for Bos taurus (Bovine)
| 產品貨號 | 產品名稱 | 來源 |
|---|---|---|
| CSB-BP023448BO CSB-MP023448BO CSB-EP023448BO-B |
Recombinant Bovine Transforming growth factor beta-2 proprotein (TGFB2), partial | Baculovirus Mammalian cell In Vivo Biotinylation in E.coli |
TGFB2 Proteins for Gallus gallus (Chicken)
| 產品貨號 | 產品名稱 | 來源 |
|---|---|---|
| CSB-YP023448CH CSB-EP023448CH CSB-BP023448CH CSB-MP023448CH CSB-EP023448CH-B |
Recombinant Chicken Transforming growth factor beta-2 (TGFB2) | Yeast E.coli Baculovirus Mammalian cell In Vivo Biotinylation in E.coli |
TGFB2 Proteins for Mus musculus (Mouse)
| 產品貨號 | 產品名稱 | 來源 |
|---|---|---|
| CSB-YP023448MO CSB-EP023448MO CSB-BP023448MO CSB-MP023448MO CSB-EP023448MO-B |
Recombinant Mouse Transforming growth factor beta-2 (Tgfb2) | Yeast E.coli Baculovirus Mammalian cell In Vivo Biotinylation in E.coli |
TGFB2 Proteins for Homo sapiens (Human)
| 產品貨號 | 產品名稱 | 來源 |
|---|---|---|
| CSB-YP023448HU CSB-EP023448HU CSB-BP023448HU CSB-MP023448HU CSB-EP023448HU-B |
Recombinant Human Transforming growth factor beta-2 (TGFB2) | Yeast E.coli Baculovirus Mammalian cell In Vivo Biotinylation in E.coli |
| CSB-EP023448HU1 | Recombinant Human Transforming growth factor beta-2 (TGFB2), partial | E.coli |
| CSB-AP003961HU | Recombinant Human Transforming growth factor beta-2 proprotein (TGFB2), partial (Active) | Mammalian cell |
| CSB-MP023448HU-WD | Recombinant Human Transforming growth factor beta-2 proprotein (TGFB2),Partial (Active) | Mammalian cell |
TGFB2 Proteins for Sus scrofa (Pig)
| 產品貨號 | 產品名稱 | 來源 |
|---|---|---|
| CSB-YP023448PI CSB-EP023448PI CSB-BP023448PI CSB-MP023448PI CSB-EP023448PI-B |
Recombinant Pig Transforming growth factor beta-2 proprotein (TGFB2), partial | Yeast E.coli Baculovirus Mammalian cell In Vivo Biotinylation in E.coli |
TGFB2 Proteins for Xenopus laevis (African clawed frog)
| 產品貨號 | 產品名稱 | 來源 |
|---|---|---|
| CSB-YP023448XBE CSB-EP023448XBE CSB-BP023448XBE CSB-MP023448XBE CSB-EP023448XBE-B |
Recombinant Xenopus laevis Transforming growth factor beta-2 (tgfb2) | Yeast E.coli Baculovirus Mammalian cell In Vivo Biotinylation in E.coli |
TGFB2 Proteins for Chlorocebus aethiops (Green monkey) (Cercopithecus aethiops)
| 產品貨號 | 產品名稱 | 來源 |
|---|---|---|
| CSB-YP023448DSU CSB-EP023448DSU CSB-BP023448DSU CSB-MP023448DSU CSB-EP023448DSU-B |
Recombinant Chlorocebus aethiops Transforming growth factor beta-2 (TGFB2) | Yeast E.coli Baculovirus Mammalian cell In Vivo Biotinylation in E.coli |
TGFB2 Proteins for Mustela putorius furo (European domestic ferret) (Mustela furo)
| 產品貨號 | 產品名稱 | 來源 |
|---|---|---|
| CSB-YP653638MOH CSB-EP653638MOH CSB-BP653638MOH CSB-MP653638MOH CSB-EP653638MOH-B |
Recombinant Mustela putorius furo Transforming growth factor beta-2 (TGFB2) | Yeast E.coli Baculovirus Mammalian cell In Vivo Biotinylation in E.coli |
TGFB2 ELISA Kit
TGFB2 ELISA Kit for Bos taurus (Bovine)
| 產品貨號 | 產品名稱 | 樣本類型 | 靈敏度 |
|---|---|---|---|
| CSB-E14209B | Bovine transforming growth factors β2,TGFβ2 ELISA Kit | serum, plasma, tissue homogenates | 6.25 ng/mL |
TGFB2 ELISA Kit for Homo sapiens (Human)
| 產品貨號 | 產品名稱 | 樣本類型 | 靈敏度 |
|---|---|---|---|
| CSB-E09783h | Human transforming growth factors β2,TGFβ2 ELISA Kit | serum, plasma. | 7.81 pg/ml. |
TGFB2 ELISA Kit for Mus musculus (Mouse)
| 產品貨號 | 產品名稱 | 樣本類型 | 靈敏度 |
|---|---|---|---|
| CSB-E09785m | Mouse transforming growth factorβ2,TGFβ2 ELISA Kit | serum, plasma, tissue homogenates | 0.39 pg/mL |
TGFB2 ELISA Kit for Rattus norvegicus (Rat)
| 產品貨號 | 產品名稱 | 樣本類型 | 靈敏度 |
|---|---|---|---|
| CSB-E12111r | Rat Transforming Growth factor β2,TGF-β2 ELISA kit | serum, plasma, tissue homogenates | 3.9 pg/mL |






