TGFBR2
TGFBR2,即轉化生長因子β受體2,別名TGFβR-II、TGFβRII。它是一種跨膜蛋白,由TGFBR2基因編碼,主要在細胞表面發揮作用。TGFBR2的作用機制涉及與轉化生長因子β(TGF-β)家族配體結合,激活其內在的絲氨酸/蘇氨酸激酶活性,進而磷酸化并激活Smad蛋白,這些Smad蛋白隨后轉移到細胞核,調控下游基因的表達。TGFBR2在細胞增殖、分化、遷移和凋亡等過程中發揮關鍵作用,影響組織發育、免疫調節、纖維化和腫瘤發展等生物學過程。
熱銷產品
Recombinant Human TGF-beta receptor type-2 (TGFBR2), partial (CSB-EP023452HU1)
驗證數據
 
 
                                                        (Tris-Glycine gel) Discontinuous SDS-PAGE (reduced) with 5% enrichment gel and 15% separation gel.
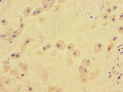
TGFBR2 Antibody (CSB-PA023452LA01HU)
驗證數據
 
 
                                                        Immunohistochemistry of paraffin-embedded human brain tissue using CSB-PA023452LA01HU at dilution of 1:100
 
 
                                                        Immunohistochemistry of paraffin-embedded human placenta tissue using CSB-PA023452LA01HU at dilution of 1:100
 
 
                                                        Immunofluorescent analysis of MCF-7 cells using CSB-PA023452LA01HU at dilution of 1:100 and Alexa Fluor 488-congugated AffiniPure Goat Anti-Rabbit IgG(H+L)
TGFBR2 Antibodies
TGFBR2 for Homo sapiens (Human)
| 產品貨號 | 產品名稱 | 種屬反應性 | 應用類型 | 
|---|---|---|---|
| CSB-PA120767 | TGFBR2 Antibody | Human,Mouse,Rat | ELISA,WB | 
| CSB-PA911102 | Phospho-TGFBR2 (Ser225/250) Antibody | Human,Mouse,Rat | ELISA,IHC | 
| CSB-PA782688 | TGFBR2 Antibody | Human,Mouse,Rat | ELISA,WB | 
| CSB-PA004277 | TGFBR2 Antibody | Human,Mouse | WB, IHC, ELISA | 
| CSB-PA004278 | TGFBR2 Antibody | Human,Mouse,Rat | WB, IHC, ELISA | 
| CSB-PA050249 | Phospho-TGFBR2 (S225) Antibody | Human,Mouse | IHC, ELISA | 
| CSB-PA023452LA01HU | TGFBR2 Antibody | Human | ELISA, IHC, IF | 
| CSB-PA023452LB01HU | TGFBR2 Antibody, HRP conjugated | Human | ELISA | 
| CSB-PA023452LC01HU | TGFBR2 Antibody, FITC conjugated | Human | |
| CSB-PA023452LD01HU | TGFBR2 Antibody, Biotin conjugated | Human | ELISA | 
TGFBR2 Proteins
TGFBR2 Proteins for Rattus norvegicus (Rat)
| 產品貨號 | 產品名稱 | 來源 | 
|---|---|---|
| CSB-YP023452RA1 CSB-MP023452RA1 CSB-EP023452RA1-B | Recombinant Rat TGF-beta receptor type-2 (Tgfbr2), partial | Yeast Mammalian cell In Vivo Biotinylation in E.coli | 
| CSB-CF023452RA | Recombinant Rat TGF-beta receptor type-2 (Tgfbr2) | in vitro E.coli expression system | 
| CSB-EP023452RA1 | Recombinant Rat TGF-beta receptor type-2 (Tgfbr2), partial | E.coli | 
| CSB-BP023452RA1 | Recombinant Rat TGF-beta receptor type-2 (Tgfbr2), partial | Baculovirus | 
TGFBR2 Proteins for Sus scrofa (Pig)
| 產品貨號 | 產品名稱 | 來源 | 
|---|---|---|
| CSB-YP023452PI1 CSB-EP023452PI1 CSB-BP023452PI1 CSB-MP023452PI1 CSB-EP023452PI1-B | Recombinant Pig TGF-beta receptor type-2 (TGFBR2), partial | Yeast E.coli Baculovirus Mammalian cell In Vivo Biotinylation in E.coli | 
| CSB-CF023452PI | Recombinant Pig TGF-beta receptor type-2 (TGFBR2) | in vitro E.coli expression system | 
TGFBR2 Proteins for Mus musculus (Mouse)
| 產品貨號 | 產品名稱 | 來源 | 
|---|---|---|
| CSB-YP720297MO CSB-EP720297MO CSB-BP720297MO CSB-MP720297MO CSB-EP720297MO-B | Recombinant Mouse TGF-beta receptor type-2 (Tgfbr2), partial | Yeast E.coli Baculovirus Mammalian cell In Vivo Biotinylation in E.coli | 
TGFBR2 Proteins for Gallus gallus (Chicken)
| 產品貨號 | 產品名稱 | 來源 | 
|---|---|---|
| CSB-YP849542CH CSB-EP849542CH CSB-BP849542CH CSB-MP849542CH CSB-EP849542CH-B | Recombinant Chicken TGF-beta receptor type-2 (TGFBR2), partial | Yeast E.coli Baculovirus Mammalian cell In Vivo Biotinylation in E.coli | 
TGFBR2 Proteins for Homo sapiens (Human)
| 產品貨號 | 產品名稱 | 來源 | 
|---|---|---|
| CSB-CF023452HU | Recombinant Human TGF-beta receptor type-2 (TGFBR2) | in vitro E.coli expression system | 
| CSB-EP023452HU1 | Recombinant Human TGF-beta receptor type-2 (TGFBR2), partial | E.coli | 
| CSB-MP023452HU2 | Recombinant Human TGF-beta receptor type-2 (TGFBR2), partial | Mammalian cell | 
TGFBR2 ELISA Kit
TGFBR2 ELISA Kit for Homo sapiens (Human)
| 產品貨號 | 產品名稱 | 樣本類型 | 靈敏度 | 
|---|---|---|---|
| CSB-E13669h | Human transforming growth factor β receptor 2 (TGF-βR2) ELISA kit | serum, plasma, tissue homogenates | 3.9 pg/mL | 
 
 





 
         
           
  
          
