TLR7
TLR7,即Toll樣受體7,它是一種位于細胞內體的蛋白質,主要在肺、胎盤和脾等組織中表達。TLR7的作用機制是通過識別病毒的單鏈RNA,激活天然免疫反應,進而促進抗病毒適應性免疫的形成。TLR7對于機體的抗病毒免疫防御至關重要,它能夠迅速啟動免疫應答,抑制病毒復制和擴散。此外,TLR7還參與調節自身免疫反應,對自身免疫性疾病的發生發展具有影響。
熱銷產品
Recombinant Human Toll-like receptor 7 (TLR7), partial (CSB-EP023606HU)
驗證數據
(Tris-Glycine gel) Discontinuous SDS-PAGE (reduced) with 5% enrichment gel and 15% separation gel.
TLR7 Recombinant Monoclonal Antibody (CSB-RA556665A0HU)
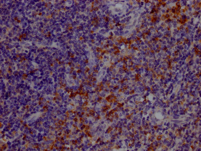
驗證數據
IHC image of CSB-RA556665A0HU diluted at 1:100 and staining in paraffin-embedded human tonsil tissue performed on a Leica BondTM system. After dewaxing and hydration, antigen retrieval was mediated by high pressure in a citrate buffer (pH 6.0). Section was blocked with 10% normal goat serum 30min at RT. Then primary antibody (1% BSA) was incubated at 4℃ overnight. The primary is detected by a Goat anti-rabbit IgG polymer labeled by HRP and visualized using 0.05% DAB.
TLR7 Antibodies
TLR7 for Homo sapiens (Human)
| 產品貨號 | 產品名稱 | 種屬反應性 | 應用類型 |
|---|---|---|---|
| CSB-PA023606GA01HU | TLR7 Antibody | Human,Mouse,Rat | ELISA,WB |
| CSB-PA138308 | TLR7 Antibody | Human,Mouse | ELISA,IHC |
| CSB-PA792911 | TLR7 Antibody | Human,Mouse | ELISA,IHC |
| CSB-PA16789A0Rb | TLR7 Antibody | Human | ELISA, IF |
| CSB-PA16789B0Rb | TLR7 Antibody, HRP conjugated | Human | ELISA |
| CSB-PA16789C0Rb | TLR7 Antibody, FITC conjugated | Human | |
| CSB-PA16789D0Rb | TLR7 Antibody, Biotin conjugated | Human | ELISA |
| CSB-RA556665A0HU | TLR7 Recombinant Monoclonal Antibody | Human | ELISA, IHC |
TLR7 for Mus musculus (Mouse)
| 產品貨號 | 產品名稱 | 種屬反應性 | 應用類型 |
|---|---|---|---|
| CSB-PA023606EC01MO | Tlr7 Antibody, FITC conjugated | Mouse | |
| CSB-PA023606EA01MO | Tlr7 Antibody | Mouse, Human | ELISA, WB |
TLR7 Proteins
TLR7 Proteins for Mus musculus (Mouse)
| 產品貨號 | 產品名稱 | 來源 |
|---|---|---|
| CSB-YP023606MO CSB-BP023606MO CSB-EP023606MO-B |
Recombinant Mouse Toll-like receptor 7 (Tlr7), partial | Yeast Baculovirus In Vivo Biotinylation in E.coli |
| CSB-EP023606MO | Recombinant Mouse Toll-like receptor 7 (Tlr7), partial | E.coli |
| CSB-MP023606MO | Recombinant Mouse Toll-like receptor 7 (Tlr7), partial | Mammalian cell |
| CSB-EP023606MOb1 | Recombinant Mouse Toll-like receptor 7 (Tlr7), partial | E.coli |
TLR7 Proteins for Homo sapiens (Human)
| 產品貨號 | 產品名稱 | 來源 |
|---|---|---|
| CSB-YP023606HU CSB-BP023606HU CSB-MP023606HU CSB-EP023606HU-B |
Recombinant Human Toll-like receptor 7 (TLR7), partial | Yeast Baculovirus Mammalian cell In Vivo Biotinylation in E.coli |
| CSB-EP023606HU | Recombinant Human Toll-like receptor 7 (TLR7), partial | E.coli |






